chucha Опубликовано 19 января, 2016 Поделиться Опубликовано 19 января, 2016 Доброго всем времени суток. Как и у многих боязнь всего, что связано с зубами сделала свое дело.Посоветуйте с чего начать, от чего точно избавиться, за что еще побороться. Заранее спасибо. Ссылка на комментарий
IvanK Опубликовано 20 января, 2016 Поделиться Опубликовано 20 января, 2016 Пользуйтесь http://radikal.ru/ссылка 2 после загрузки,смотреть гораздо удобнее http://s017.radikal.ru/i409/1601/db/03c6fc05be5f.jpg Ссылка на комментарий
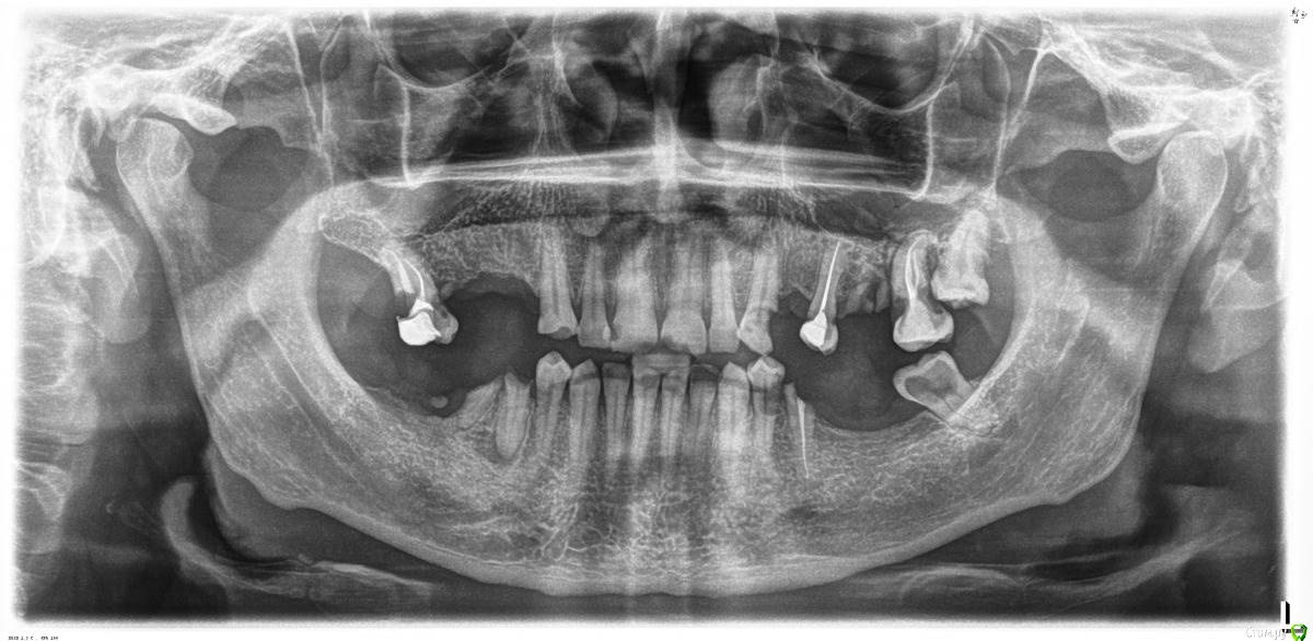
IvanK Опубликовано 20 января, 2016 Поделиться Опубликовано 20 января, 2016 Удалять 17, 25?, 26, 27,28, 38, 35?, 45, 46Лечить: ... почти всеСоветую начать с консультации ортопеда Ссылка на комментарий
Рекомендуемые сообщения
Для публикации сообщений создайте учётную запись или авторизуйтесь
Вы должны быть пользователем, чтобы оставить комментарий
Создать аккаунт
Зарегистрируйте новый аккаунт в нашем сообществе. Это очень просто!
Регистрация нового пользователяВойти
Уже есть аккаунт? Войти в систему.
Войти