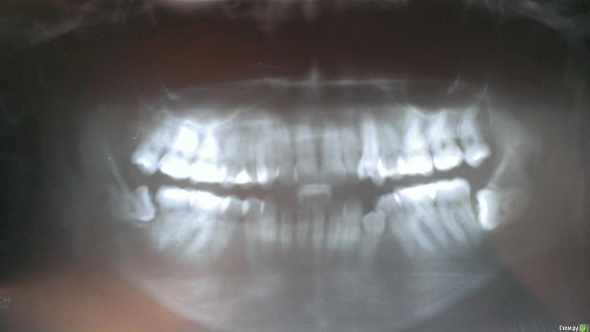
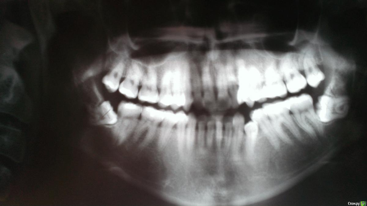
milhki Опубликовано 18 января, 2016 Поделиться Опубликовано 18 января, 2016 (изменено) Здравствуйте, уважаемые врачи! У меня к вам вопрос: как в моем случае лучше удалять нижние восьмерки с использованием пьезо или нет? Под общим наркозом или местным? Вопрос цены не стоит, главное, чтобы все прошло удачно и как можно менее травматично как физически, так и морально))) Летом 2015 начал беспокоить сустав справа, рот сильно широко и долго держать не могу. Насколько сложное удаление и на что надо обратить внимание? Спасибо! Снимки 2015 и 2009 года. Что с семеркой справа? Ее тоже надо будет удалять или полечить возможно, пока она меня никак не беспокоит, но врачи на нее указывали. Снимки худшего качества - лето 2015 года Снимок более темный - 2009 год Изменено 18 января, 2016 пользователем milhki Ссылка на комментарий
red_butler Опубликовано 18 января, 2016 Поделиться Опубликовано 18 января, 2016 Нужно искать врача для которого удаление таких зубов рутина, лучше удалять под седацией, в этом случае можно убрать все за раз. Ссылка на комментарий
IvanK Опубликовано 18 января, 2016 Поделиться Опубликовано 18 января, 2016 Ищите Врача Ссылка на комментарий
Alejandro Опубликовано 19 января, 2016 Поделиться Опубликовано 19 января, 2016 Обе восьмёрки на выход. Без пьезо можно удалить. 1 Ссылка на комментарий
milhki Опубликовано 20 января, 2016 Автор Поделиться Опубликовано 20 января, 2016 Спасибо всем врачам за ответы! Ссылка на комментарий
Рекомендуемые сообщения
Для публикации сообщений создайте учётную запись или авторизуйтесь
Вы должны быть пользователем, чтобы оставить комментарий
Создать аккаунт
Зарегистрируйте новый аккаунт в нашем сообществе. Это очень просто!
Регистрация нового пользователяВойти
Уже есть аккаунт? Войти в систему.
Войти