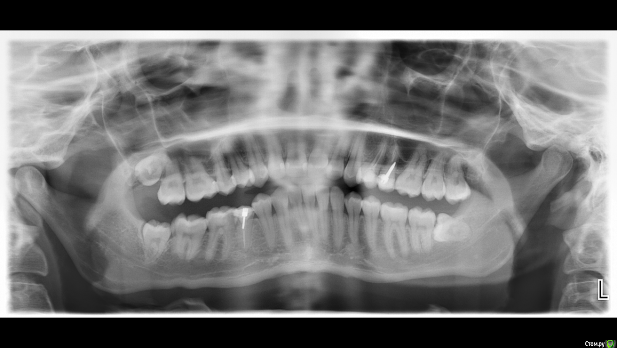
Alnetta Опубликовано 16 января, 2016 Поделиться Опубликовано 16 января, 2016 Здравствуйте! Скажите, пожалуйста, можно ли спасти зуб, который находится сверху 4й сзади справа (на снимке)? Кстати, как он называется?)Если, уже не спасти, и придется удалять, каким способом посоветуете вставить новый зуб? Не хотелось бы, чтобы соседние зубы пострадали.Через какое время после удаления можно новый вставлять? Так же интересует, последний снизу зуб справа (на снимке), он меня никак не беспокоит и никогда не беспокоил, нужно ли его удалять? Я девушка, мне 24. Заранее спасибо за ответы. Ссылка на комментарий
red_butler Опубликовано 16 января, 2016 Поделиться Опубликовано 16 января, 2016 Вы не ошиблись? Может на верху слева? Левая сторона на снимке отмечена литерой L Ссылка на комментарий
Korel Опубликовано 16 января, 2016 Поделиться Опубликовано 16 января, 2016 можно ли спасти зуб, который находится сверху 4й сзади справа (на снимке)? Какой?) http://s014.radikal.ru/i329/1601/fe/c8da6cb8a766.jpg 18 и 38 удалять (Называются моляры)) состояние 25 и 45 (премоляры) по этому снимку фифти-фифти, надо делать прицельные. Ссылка на комментарий
DmitrySH Опубликовано 16 января, 2016 Поделиться Опубликовано 16 января, 2016 Да, сложно сказать по снимку, и как сказали выше - судьба зуба 25 - 50/50Потеря премоляров бывает очень кстати, если требуется ортодонтическое лечение. Ссылка на комментарий
Alnetta Опубликовано 16 января, 2016 Автор Поделиться Опубликовано 16 января, 2016 18 и 38 удалять (Называются моляры)) обязательно? они меня вообще никак не беспокоят и не беспокоили никогда ) надо делать прицельные. что это? Ссылка на комментарий
Alnetta Опубликовано 16 января, 2016 Автор Поделиться Опубликовано 16 января, 2016 Вы не ошиблись? Может на верху слева? Левая сторона на снимке отмечена литерой L Ниже Korel правильно указал Ссылка на комментарий
Korel Опубликовано 16 января, 2016 Поделиться Опубликовано 16 января, 2016 обязательно? они меня вообще никак не беспокоят и не беспокоили никогда ) В Вашем юном возрасте - крайне желательно. Ссылка на комментарий
Korel Опубликовано 16 января, 2016 Поделиться Опубликовано 16 января, 2016 Korel сказал(а) 16 Янв 2016 - 23:46: надо делать прицельные. что это? Прицельные снимки одного зуба. Ссылка на комментарий
Alnetta Опубликовано 16 января, 2016 Автор Поделиться Опубликовано 16 января, 2016 Да, сложно сказать по снимку, и как сказали выше - судьба зуба 25 - 50/50 Потеря премоляров бывает очень кстати, если требуется ортодонтическое лечение. что ж делать-то Ссылка на комментарий
Korel Опубликовано 16 января, 2016 Поделиться Опубликовано 16 января, 2016 что ж делать-то Дык вроде всё объяснили Ссылка на комментарий
Alnetta Опубликовано 16 января, 2016 Автор Поделиться Опубликовано 16 января, 2016 В Вашем юном возрасте - крайне желательно.чем грозит не удаление? Ссылка на комментарий
Korel Опубликовано 16 января, 2016 Поделиться Опубликовано 16 января, 2016 чем грозит не удаление? ЛюдЯм старше 99 я бы наоборот рекомендовал бы эти зубы сохранить. Ссылка на комментарий
Alnetta Опубликовано 16 января, 2016 Автор Поделиться Опубликовано 16 января, 2016 Прицельные снимки одного зуба.хорошо, сделаю 1 Ссылка на комментарий
St. Опубликовано 16 января, 2016 Поделиться Опубликовано 16 января, 2016 чем грозит не удаление? Испортятся соседние зубы. Потому что в пространство между ними будет попадать и оставаться там еда, и вычищатьть её оттуда не получится. Ссылка на комментарий
Alnetta Опубликовано 16 января, 2016 Автор Поделиться Опубликовано 16 января, 2016 Испортятся соседние зубы. Потому что в пространство между ними будет попадать и оставаться там еда, и вычищатьть её оттуда не получится. спасибо, как наберусь смелости, пойдуа можно еще вопрос? почему они такие? с чем это связано? Ссылка на комментарий
Korel Опубликовано 16 января, 2016 Поделиться Опубликовано 16 января, 2016 Если рассмотреть со статистической точки зрения и территориальной концентрации анализа Ваш вопрос то в связи с диалектикой и нормативной этикой последний и будет являться для стабилизации ответа. Ссылка на комментарий
St. Опубликовано 17 января, 2016 Поделиться Опубликовано 17 января, 2016 а можно еще вопрос? почему они такие? с чем это связано? К Korel и добавить-то нечего А по теме - места им не хватает вот и растут как попало. Не расстраивайтесь, такая ситуация у большинства. Ссылка на комментарий
Рекомендуемые сообщения
Для публикации сообщений создайте учётную запись или авторизуйтесь
Вы должны быть пользователем, чтобы оставить комментарий
Создать аккаунт
Зарегистрируйте новый аккаунт в нашем сообществе. Это очень просто!
Регистрация нового пользователяВойти
Уже есть аккаунт? Войти в систему.
Войти