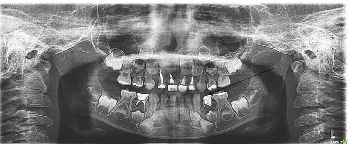
ki_wi Опубликовано 16 января, 2016 Поделиться Опубликовано 16 января, 2016 пришли с ребенком (4,5 года) на лечение зубов к стоматологу. сделали снимок (прилагаю его). посмотрев его, стоматолог говорит, что нижний зуб (я его отметила на снимке черной стрелкой), надо удалять. только я толком и не поняла почему. буду признательна за объяснения и действительно ли его надо удалять. Ссылка на комментарий
Джима Опубликовано 16 января, 2016 Поделиться Опубликовано 16 января, 2016 Лучше бы прицельный снимок сделали, но скорее всего, что врач прав.Лечили под наркозом года два назад? Ссылка на комментарий
ki_wi Опубликовано 17 января, 2016 Автор Поделиться Опубликовано 17 января, 2016 (изменено) Лучше бы прицельный снимок сделали, но скорее всего, что врач прав.Лечили под наркозом года два назад?да, севоран 2 года назад. и прошло все отлично. врач замечательная! как Вы так точно предположили?) снимок, что выше, посоветовала сделать другая врач, которая ставила пломбу в зуб, который теперь надо вырывать (наша на тот момент была в отпуске). Изменено 17 января, 2016 пользователем ki_wi Ссылка на комментарий
Джима Опубликовано 17 января, 2016 Поделиться Опубликовано 17 января, 2016 Э-э-э... А давайте я промолчу Постарайтесь попасть всё-таки к первому вашему врачу и сделать прицел, там лучше будет видно. По-видимому, зубу всё-таки конец, это бывает, когда пульпит лечат в очень раннем возрасте. Это не повод для расстройства, но вам придётся делать распорочку между двумя соседними зубами, чтоб не потерять место для постоянного зуба. 1 Ссылка на комментарий
ki_wi Опубликовано 17 января, 2016 Автор Поделиться Опубликовано 17 января, 2016 спасибо! вот были на днях у первой. она так и сказала - удалять. и про распорку тоже сказала. как он будет кушать, там ведь, наверное, будет еда застревать? там еще у нас один проблемный - верхний передний, периодически свищи вылазят. говорит, тоже желательно удалить... Ссылка на комментарий
Джима Опубликовано 18 января, 2016 Поделиться Опубликовано 18 января, 2016 раз надо - значит надо. а за распорку не переживайте, если нормально сделают - привыкнет быстро, мешать не будет. Скажите, что это для зуба колечко, украшение такое. Ссылка на комментарий
Рекомендуемые сообщения
Для публикации сообщений создайте учётную запись или авторизуйтесь
Вы должны быть пользователем, чтобы оставить комментарий
Создать аккаунт
Зарегистрируйте новый аккаунт в нашем сообществе. Это очень просто!
Регистрация нового пользователяВойти
Уже есть аккаунт? Войти в систему.
Войти