Ultron Опубликовано 16 января, 2016 Поделиться Опубликовано 16 января, 2016 Три месяца назад сделал реставрацию 21ого зуба на штифт. Сейчас у корня зуба образовался плотный мешочек, на зубе чувствуется распирание, были небольшие боли при касании языком, но они быстро прошли. Чего ожидать от визита к врачу и как можно протянуть до понедельника? Зуб беспокоит не сильно, но осложнений допустить не хотелось бы. Ссылка на комментарий
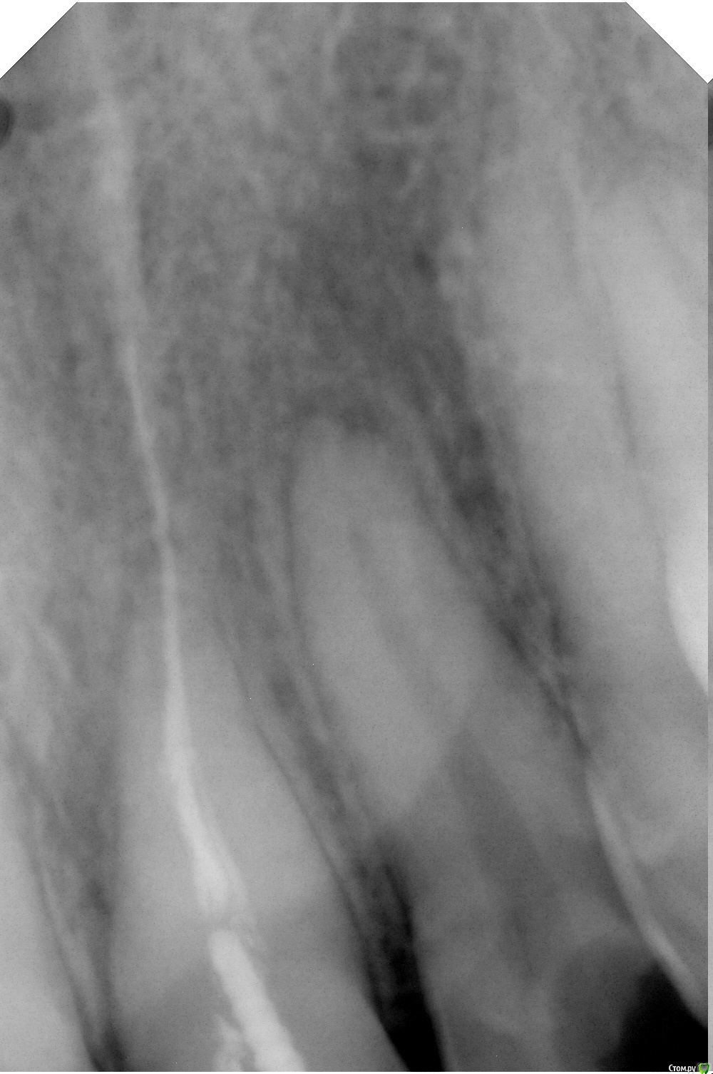
DmitrySH Опубликовано 16 января, 2016 Поделиться Опубликовано 16 января, 2016 По снимку у соседнего зуба есть проблемы со здоровьем, он не беспокоит? Ссылка на комментарий
Гарриевич Опубликовано 17 января, 2016 Поделиться Опубликовано 17 января, 2016 (изменено) Проблема и в том зубе где штифт и в соседнем Изменено 17 января, 2016 пользователем Гарриевич Ссылка на комментарий
Ultron Опубликовано 17 января, 2016 Автор Поделиться Опубликовано 17 января, 2016 Соседний зуб был сломан недавно, но он не беспокоит.А в чем конкретно проблема и чего ждать? Ссылка на комментарий
red_butler Опубликовано 17 января, 2016 Поделиться Опубликовано 17 января, 2016 Соседний зуб был сломан недавно, но он не беспокоит. А в чем конкретно проблема и чего ждать?Похоже - периодонтит. Ждать обострения. Ссылка на комментарий
Korel Опубликовано 17 января, 2016 Поделиться Опубликовано 17 января, 2016 Три месяца назад сделал реставрацию 21ого зуба на штифт. Зуб депульпировали когда то , а три месяца назад укрепили только анкер +реставрация? Или же все процедуры Вам сделали три месяца назад? Ссылка на комментарий
Рекомендуемые сообщения
Для публикации сообщений создайте учётную запись или авторизуйтесь
Вы должны быть пользователем, чтобы оставить комментарий
Создать аккаунт
Зарегистрируйте новый аккаунт в нашем сообществе. Это очень просто!
Регистрация нового пользователяВойти
Уже есть аккаунт? Войти в систему.
Войти