Глеб Митрофанов Опубликовано 16 января, 2016 Поделиться Опубликовано 16 января, 2016 Продолжение 13 Ссылка на комментарий
an_ver Опубликовано 16 января, 2016 Поделиться Опубликовано 16 января, 2016 Сеткой тут нельзя было обойтись? Ссылка на комментарий
Глеб Митрофанов Опубликовано 16 января, 2016 Автор Поделиться Опубликовано 16 января, 2016 Сеткой тут нельзя было обойтись?редко ей пользуюсь Ссылка на комментарий
Andre_ Опубликовано 16 января, 2016 Поделиться Опубликовано 16 января, 2016 Скажите, пожалуйста, чем укрылись на 5-м фото Ссылка на комментарий
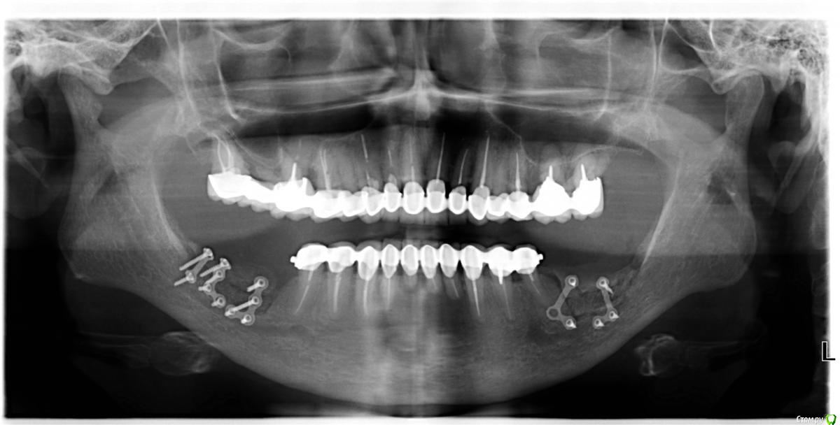
an_ver Опубликовано 16 января, 2016 Поделиться Опубликовано 16 января, 2016 Винты 1,5 мм самосверлящие,Конмет?Длина какая? L пластины длинные? Ссылка на комментарий
DoktorDre Опубликовано 16 января, 2016 Поделиться Опубликовано 16 января, 2016 Прям неплохо так вышло. Сеткой думается подольще будет ждать. Что за блок вставлен ? Ссылка на комментарий
Глеб Митрофанов Опубликовано 16 января, 2016 Автор Поделиться Опубликовано 16 января, 2016 Скажите, пожалуйста, чем укрылись на 5-м фотоА-PRF Ссылка на комментарий
Глеб Митрофанов Опубликовано 16 января, 2016 Автор Поделиться Опубликовано 16 января, 2016 Винты 1,5 мм самосверлящие,Конмет?Длина какая? L пластины длинные? Да , винты 1,5 мм самосверлящие конметовские длина верхние 5 мм , нижние 4 мм , пластины не длинные , по одному сегменту отпилил еще 1 Ссылка на комментарий
Глеб Митрофанов Опубликовано 16 января, 2016 Автор Поделиться Опубликовано 16 января, 2016 Что за блок вставлен ? SP-BLOCK osteobiol 1 Ссылка на комментарий
an_ver Опубликовано 17 января, 2016 Поделиться Опубликовано 17 января, 2016 (изменено) Верхние винты насквозь через SP и в свою кость? Как горизонтальный распил делаете, пальцем с язычной, тактильно? Пилите УЗ?И есть ли снимок до? Изменено 17 января, 2016 пользователем an_ver Ссылка на комментарий
Doctor Vlad Опубликовано 17 января, 2016 Поделиться Опубликовано 17 января, 2016 метод костных блоков с ветви здесь не рассматривали? Ссылка на комментарий
Глеб Митрофанов Опубликовано 19 января, 2016 Автор Поделиться Опубликовано 19 января, 2016 Верхние винты насквозь через SP и в свою кость? Как горизонтальный распил делаете, пальцем с язычной, тактильно? Пилите УЗ?И есть ли снимок до?Верхние винты в свою кость , распил делал УЗ , язычно контроль пальпаторно , да и чувствуется , что прошёл язычную кортикалку . Снимок до конечно есть . Ссылка на комментарий
Глеб Митрофанов Опубликовано 19 января, 2016 Автор Поделиться Опубликовано 19 января, 2016 метод костных блоков с ветви здесь не рассматривали?Блоки с ветви в виде окклюзионной накладки не рассматривал , был опыт их использования , через 1,5 года эксплуатации имплантов с коронками , блоки "растаяли" , как сахар в воде 1 Ссылка на комментарий
Рекомендуемые сообщения
Для публикации сообщений создайте учётную запись или авторизуйтесь
Вы должны быть пользователем, чтобы оставить комментарий
Создать аккаунт
Зарегистрируйте новый аккаунт в нашем сообществе. Это очень просто!
Регистрация нового пользователяВойти
Уже есть аккаунт? Войти в систему.
Войти