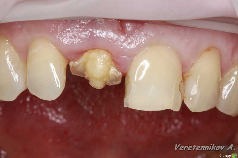
Популярный пост an_ver Опубликовано 15 января, 2016 Популярный пост Поделиться Опубликовано 15 января, 2016 11,жил долго и счастливо..но тут Новый год(((, скол ниже уровня ЦЭС на 3 мм...от экструзии отказалась.Из своего зуба сколхозил шаблон,чтоб наверняка. Удалил,кюретаж,вестибулярка целая, SPI 4.2*13 мм,с бугра ССТ,на всякий)),в щели Апатос,врем.абатмент,врем.коронка из своего зуба. 1ч.20мин.)) 27 Ссылка на комментарий
Tari Опубликовано 15 января, 2016 Поделиться Опубликовано 15 января, 2016 Как у Вас результаты на фронте с SPI спустя год-два? Киьте ссылку на кейсы, если пропустила, пожалуйста..... Ссылка на комментарий
Platon Опубликовано 15 января, 2016 Поделиться Опубликовано 15 января, 2016 Клёво!!!Можно вопрос: как сст всовывали ? Просто опыта в этом аспекте очень мало и понятие "в щели" не совсем понятно.Спасибо Ссылка на комментарий
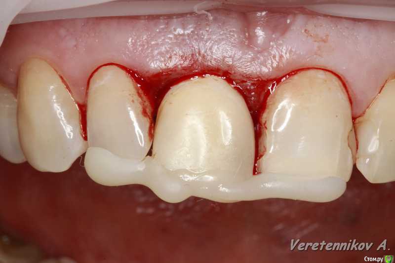
k.t.m. Опубликовано 15 января, 2016 Поделиться Опубликовано 15 января, 2016 в щели апатос,сст в сформированный карман! Андрей красиво и все по пунктам,как так вышло что сосочек порвался?может не стоило так глубоко сст заводить? 1 Ссылка на комментарий
an_ver Опубликовано 16 января, 2016 Автор Поделиться Опубликовано 16 января, 2016 (изменено) в щели апатос,сст в сформированный карман! Андрей красиво и все по пунктам,как так вышло что сосочек порвался?может не стоило так глубоко сст заводить?Чесно,фиг знает((( тока счас обратил внимание,наверно 15С орудовал глубоко (набор Деплер для туннеля в клаве был),((( немного лоскут перфорнул...если кто заметил,решил глубже завести ластик сст Изменено 16 января, 2016 пользователем an_ver Ссылка на комментарий
an_ver Опубликовано 16 января, 2016 Автор Поделиться Опубликовано 16 января, 2016 Как у Вас результаты на фронте с SPI спустя год-два? Киьте ссылку на кейсы, если пропустила, пожалуйста.....Так я бы с превеликим...только как их найти на форуме? Я далековат от поисков..это дебри для меня Ссылка на комментарий
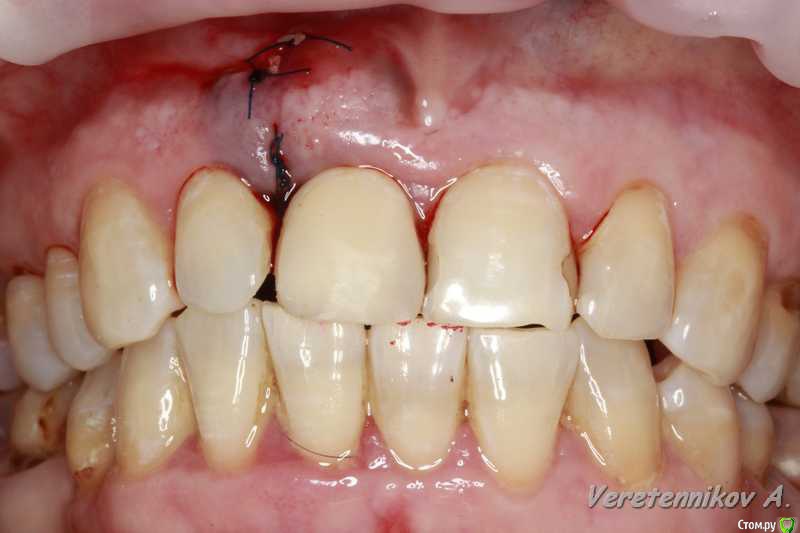
Евгений Ходыкин Опубликовано 16 января, 2016 Поделиться Опубликовано 16 января, 2016 Андрей, а каков смысл такого обширного туннеля под сст? Вы же кортикалке совсем шансов не оставляете... Ссылка на комментарий
an_ver Опубликовано 16 января, 2016 Автор Поделиться Опубликовано 16 января, 2016 Андрей, а каков смысл такого обширного туннеля под сст? Вы же кортикалке совсем шансов не оставляете...Т.е. получается...если сделать тоннель то шансы уменьшаются?У кортикалки? С чем это связано? Надкосница то на кости остается.... Ссылка на комментарий
an_ver Опубликовано 16 января, 2016 Автор Поделиться Опубликовано 16 января, 2016 Клёво!!!Можно вопрос: как сст всовывали ?Просто опыта в этом аспекте очень мало и понятие "в щели" не совсем понятно.СпасибоВ щели: это свободные обьем лунки,после установки импланта,т.е. все пустоту забиваем графтом (Апатос). По ССТ: скальпель 15С, параллельно кости осторожно,маятниковыми движениями,до уровня прикрепления или глубже формируете карман,вкол с вестибулярки-выкол в лунке,вкол в сст,выкол там же,далее вкол внутри кармана и затягиваете сст...но проще посмотреть...сейчас А.Смолякова по рецессии выложила видео,принцип такой же 2 Ссылка на комментарий
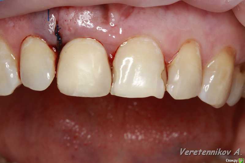
k.t.m. Опубликовано 16 января, 2016 Поделиться Опубликовано 16 января, 2016 перфо не заметил,но понял теперь почему так глубоко сст!ждем динамики! Ссылка на комментарий
an_ver Опубликовано 16 января, 2016 Автор Поделиться Опубликовано 16 января, 2016 перфо не заметил,но понял теперь почему так глубоко сст!ждем динамики!Перфо-второй шов,ниже Ссылка на комментарий
Евгений Ходыкин Опубликовано 16 января, 2016 Поделиться Опубликовано 16 января, 2016 Т.е. получается...если сделать тоннель то шансы уменьшаются?У кортикалки? С чем это связано? Надкосница то на кости остается....Откуда уверенность, что тоннель сохраняет всю надкостницу? В каких-то участках да, а в каких-то и нет... Ссылка на комментарий
Platon Опубликовано 16 января, 2016 Поделиться Опубликовано 16 января, 2016 В щели: это свободные обьем лунки,после установки импланта,т.е. все пустоту забиваем графтом (Апатос). По ССТ: скальпель 15С, параллельно кости осторожно,маятниковыми движениями,до уровня прикрепления или глубже формируете карман,вкол с вестибулярки-выкол в лунке,вкол в сст,выкол там же,далее вкол внутри кармана и затягиваете сст...но проще посмотреть...сейчас А.Смолякова по рецессии выложила видео,принцип такой же Спасибо Ссылка на комментарий
an_ver Опубликовано 17 января, 2016 Автор Поделиться Опубликовано 17 января, 2016 Откуда уверенность, что тоннель сохраняет всю надкостницу? В каких-то участках да, а в каких-то и нет...Согласен с вами.Будем верить и надеятся, а завтра нырнем) и пожелаем всем здоровья и любви Ссылка на комментарий
Рекомендуемые сообщения
Для публикации сообщений создайте учётную запись или авторизуйтесь
Вы должны быть пользователем, чтобы оставить комментарий
Создать аккаунт
Зарегистрируйте новый аккаунт в нашем сообществе. Это очень просто!
Регистрация нового пользователяВойти
Уже есть аккаунт? Войти в систему.
Войти