Перейти к содержанию
Стоматология для всех

Что-то выросло во рту!


ШТОДЕЛАТЬ?!

Рекомендуемые сообщения

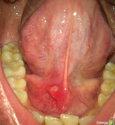
Добрый день! Сегодня за завтраком появились неприятные ощущения во рту, под языком. Посмотрел в зеркало и увидел это! Подскажите. пожалуйста, как это называется? Что с этим делать? По каким причинам это могло вырасти? 
Это красное уплотнение неясной формы с белой точкой. 
 

post-46206-0-08845900-1452876231_thumb.jpg

Ссылка на комментарий

На стоматит похоже, поранились и рана инфицировалась. Делайте ванночки с мирамистином, если через 2-3 дня не начнет проходить - покажитесь врачу.

  • Поддерживаю 1
Ссылка на комментарий

Для публикации сообщений создайте учётную запись или авторизуйтесь

Вы должны быть пользователем, чтобы оставить комментарий

Создать аккаунт

Зарегистрируйте новый аккаунт в нашем сообществе. Это очень просто!

Регистрация нового пользователя

Войти

Уже есть аккаунт? Войти в систему.

Войти
×
×
  • Создать...
Вверх