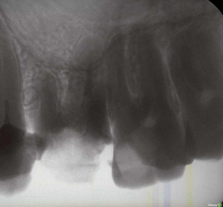
stomt Опубликовано 3 апреля, 2016 Автор Поделиться Опубликовано 3 апреля, 2016 (изменено) Вот здесь скан нового ренгена этих зубов. Ренгенолог (другой) сказала, что здесь все видно. Не знаю насколько это соотвествует действительности, но очевидно что качество снимка здесь намного лутче. Изменено 3 апреля, 2016 пользователем stomt Ссылка на комментарий
red_butler Опубликовано 3 апреля, 2016 Поделиться Опубликовано 3 апреля, 2016 Пятый зуб перелечить и протезировать. Шестой - визуальный осмотр, если объем твердых тканей позволяет провести протезирование, то перелечить и вкладка-коронка.P.s. А что значит слово "лутче"? Ссылка на комментарий
stomt Опубликовано 3 апреля, 2016 Автор Поделиться Опубликовано 3 апреля, 2016 Здесь я может что-то непонимаю или как. Пятый это "малый" премоляр - у меня запломбированый. Далее -- первый "большой" моляр (6-ой согласно скачаной нумерации) -- это как я писал полностью высверленный уже годами, и перепломбированный неединожды (сейчас без пломбы) А вот следующий моляр (7ой как-бы) вот он меня и интересует, он дергал,высверленный на 70-80% -- тоже без пломбы (вот внешняя стенка еще толстая, может накладается на менее плотную внутреннюю стенку на рентгене). Вот в нем что с корнями, а то чуствую болевые ощущение очень глубоко. Есть какой то периодонтит? А следующий уже зуб мудрости - с налетом (камнем), хотя предыдущий еще больше с камнем. Ссылка на комментарий
red_butler Опубликовано 3 апреля, 2016 Поделиться Опубликовано 3 апреля, 2016 Пере фотографируйте снимок Ссылка на комментарий
stomt Опубликовано 4 апреля, 2016 Автор Поделиться Опубликовано 4 апреля, 2016 Та куда уже фотографировать. Уже повторно сделали снимок. Я его отсканировал - разве слева два полных премоляра еще есть, но меня интересует два моляра что посредине на этом фото - конкретно тот что справа - за ним только зуб мудрости, который здесь ( и на снимке) на 60-70 % отображен.Ну может чтобы не6 повторятся "пятый" и "шестой" в вашей описи это которых именно зубов из прикрепленного изображения касается - их там четыре (первой и четвертый лиш частично захвачены) Ссылка на комментарий
stomt Опубликовано 4 апреля, 2016 Автор Поделиться Опубликовано 4 апреля, 2016 Так подскажите что там с этим большим зубом что прозрачный в левом нижнем углу? Что атм с корнем -- можно ли еще пломбировать или протезировать? А то завтра иду врачу - и не знаю говорить ли ей об этом зубе - или пусть делает менее важные. Ссылка на комментарий
stomt Опубликовано 6 апреля, 2016 Автор Поделиться Опубликовано 6 апреля, 2016 Так хоть покажите "пальцем" где у вас на снимке 5 и 6 зуб, если не хочете повторяться. 1 Ссылка на комментарий
stomt Опубликовано 9 апреля, 2016 Автор Поделиться Опубликовано 9 апреля, 2016 Вы игнорите. А вот вчера вечером, и сегодня вдень боль (хоть сегодня может и боль меньше), где то глубоко -- привела к тому что я почуствовал пару часов назад, что начало что то выделяться. А это была кровь с "глубин" зуба- просто от боли -- ибо этим зубом и соседними не ем. 2 Ссылка на комментарий
ЕленаВалерьевна Опубликовано 9 апреля, 2016 Поделиться Опубликовано 9 апреля, 2016 да кто ж игнорит? Вам говорят, что не понятно ничего по Вашим снимкам, просят переделать, неоднократно отправляли в доктору на прием. на форуме Вы не вылечите свои зубы, "заговривать" мы не умеем. 1 Ссылка на комментарий
stomt Опубликовано 9 апреля, 2016 Автор Поделиться Опубликовано 9 апреля, 2016 Касательно последнего поста - то после того как вышла кровь - боль прошла, даже в том месте где она оддавала внутрь фактически на небо (ибо болело очень глубоко). Вот теперь на секунду был ломящий боль. Это я о симптомах.И касательно рентгена - я ведь его переделал - уже ничего не накладывается.Так в чем вопрос? Там есть опись - я спрашивал каких именно зубов (5-6?) на снимке это касатеся? Ссылка на комментарий
ЕленаВалерьевна Опубликовано 10 апреля, 2016 Поделиться Опубликовано 10 апреля, 2016 Вас и фото зубов во рту тоже просили, не делаете. Сказали сходить на прием к доктору, убрать всё сгнившее и потом смотреть можно ли будет этот зуб восстановить, если нет, то его удалять.Судя по тому, что у Вас там уже гной и кровь из него выделяется, Вам его только удалить остается, лечить его можно было давно тому назад. (Пока Вы на форуме строчили )и почему у Вас снимок такой темный? Зубы вообще на снимке светлее , как Вы так сфоторгафировали то? 1 Ссылка на комментарий
stomt Опубликовано 10 апреля, 2016 Автор Поделиться Опубликовано 10 апреля, 2016 Да какие фото, еще и такого крайнего зуба - тем более боль очень глубоко.О гное я не говорил - я думал что это гной, хотя кто знает. Вышла кровь (Извиняюсь за подробности, но привкус был минимальный, его фактически не было).А почему такие темные, так очень на небо рентгенолог нажала эту пленку. Ссылка на комментарий
IvanK Опубликовано 11 апреля, 2016 Поделиться Опубликовано 11 апреля, 2016 Вы игнорите. так и есть считаю, что Вам уже все сказано 1 Ссылка на комментарий
red_butler Опубликовано 11 апреля, 2016 Поделиться Опубликовано 11 апреля, 2016 так и есть считаю, что Вам уже все сказано +100500 1 Ссылка на комментарий
stomt Опубликовано 11 апреля, 2016 Автор Поделиться Опубликовано 11 апреля, 2016 "Пятый зуб перелечить и протезировать. Шестой - визуальный осмотр, если объем твердых тканей позволяет провести протезирование, то перелечить и вкладка-коронка" -- покажите какие здесь 5 и 6 зуб на снимке? Ссылка на комментарий
stomt Опубликовано 18 апреля, 2016 Автор Поделиться Опубликовано 18 апреля, 2016 Да вы ответов не даете. Говорите к врачу. Я вот пришел к своему врачу - по другому поводу - хотя хотел спросить о этом зубе -- но снимка (переснятого) не оказалось при мне. Она посмотрела визуально и сказала что он еще здоровый.Я ей говорю что боль глубоко - вышла кровь или гной с кровью - а она что это может быть десна?? Что явно никакие десна ибо даже "кровь" очевидно вышла снутри зуба. Потом снова зуб был заболел (в принципе дергает если болит) - и вышло снова кровь и боль уменьшилась. Что это может быть? Снимок есть, симптомы есть, ну не десна же? Ссылка на комментарий
IvanK Опубликовано 18 апреля, 2016 Поделиться Опубликовано 18 апреля, 2016 Это уже похоже на троллинг... Ждем ФОТОГРАФИЮ зуба) Ссылка на комментарий
ЕленаВалерьевна Опубликовано 18 апреля, 2016 Поделиться Опубликовано 18 апреля, 2016 Она посмотрела визуально и сказала что он еще здоровый. ну значит смените врача, здоровый зуб не может болеть Ссылка на комментарий
stomt Опубликовано 19 апреля, 2016 Автор Поделиться Опубликовано 19 апреля, 2016 То что это троллинг - вами написано дважды. Я вот не знаю -- приступать к протезированию или еще раз временную пломбу (если можно) ставить - вот в чем вопрос - если ставить коронку, надо культу в соседнем -- снизу тоже коронки надо - не знаю как все будет держатся. А коронки никогда не ставил. А врач говорит - что можно без штыря коронку?? Это как?Фотографию -- так врач сказала что он "здоровый", наверное в смсыле что можно пломбировать ибо изнутри высверлен. Так что вам фото даст - если с внешней стороны есть еще довольно толстая стенка.И вроде ренген делают после внешнего осмотра. Вы предлагаете наоборот?И еще раз касательно троллинга - что за 5 и 6 зуб - на фото? Ссылка на комментарий
stomt Опубликовано 19 апреля, 2016 Автор Поделиться Опубликовано 19 апреля, 2016 5-ый самый левый лиш частично на снимке - он запломбирован, 6 - разве культя подойдет (уже 10 лет тому мне говорили об этом - я его только пломбировал), 7-ой здесь обговариваем, "8"- зуб мудрости. Вы мели ввиду 5 -тот что я имею ввиду 6-ой, а "ваш" 6-ой - тот что у меня 7-ой (да и касательно класификации тоже)? Просто хочу понять ваш совет, думаю он не от "фонаря" сделан, только надо правильно сопоставить зубы на снимке. Ссылка на комментарий
red_butler Опубликовано 19 апреля, 2016 Поделиться Опубликовано 19 апреля, 2016 Пятый зуб перелечить и протезировать. Шестой - визуальный осмотр, если объем твердых тканей позволяет провести протезирование, то перелечить и вкладка-коронка. http://s017.radikal.ru/i437/1604/5c/932ead368d9c.jpg Ссылка на комментарий
red_butler Опубликовано 19 апреля, 2016 Поделиться Опубликовано 19 апреля, 2016 Не думали врача сменить? Ссылка на комментарий
stomt Опубликовано 20 апреля, 2016 Автор Поделиться Опубликовано 20 апреля, 2016 1. Ну в общем о пятом где лиш его часть я не спрашивал. Он запломбирован (и это "малый" зуб, и там где у вас надпись это граница между 5ым и 6ым).Шестой - да говорили мне уже давно о вкладке(культе) - а что за твердые ткани вы имеете ввиду?2. Вопрос здесь стоит о 7-ом (том что за шестым), который собственно болит (время от времени), хотя никаких "нагрузок" не имеет. Что там у него с корнями, можно/надо ли протезировать?3. Касательно врача -- она как бы не последний врач - хотя профиль ее касается несколько иной возрастной категории -- но лечит меня (пломбами) более 10 лет. Ссылка на комментарий
stomt Опубликовано 21 апреля, 2016 Автор Поделиться Опубликовано 21 апреля, 2016 И еще один вопрос в смысле "моего врача".Вот спрашиваю ее (хотя она лиш "пломбированием заниматся") что мол где можно сделать 3д снимок -- а она мне говорит -- что "кость" видно и на панорамном снимке?? Хотя когда консультировался специально по поводу имплантов -- мне как раз говорил врач что кости не видно на ортопантомограме. Ее позиции не пониманию вообще (говорит что в таком случае гарантии нету даже на день). Вопрос был о снимке (то есть лиш теоретически ), да и финансы не позволяют. Так видно кость на 2д-снимке? И что дает снимок 3д в этом плане?//Не хотел создавать тему, а похожых тем на форуме не встретил. Ссылка на комментарий
St. Опубликовано 21 апреля, 2016 Поделиться Опубликовано 21 апреля, 2016 Так видно кость на 2д-снимке? И что дает снимок 3д в этом плане? На панораме видно суммарную картинку наложения различных структур, проще говоря примерную ситуацию, Томография дает возможность более точно со всех сторон рассмотреть то что нас интересует. Ссылка на комментарий
Рекомендуемые сообщения