diesel87 Опубликовано 11 января, 2016 Поделиться Опубликовано 11 января, 2016 (изменено) Знакомый пациент привел на осмотр новую жену, она говорит что коронки не нравится как сделали, уже 3 года как не нравится... Со слов была скученность во фронте, вот так тот ортопед решил ее проблему. Я посмотрел и мне стало жаль девочку и я не понимаю как такое уродство можно сделать и сдать человеку. Кто что может предположить, снимка не сделал, беременность 5-7 недель, сказала есть свежие дома, скинет потом. И ЭТО реально разрулить без имплантации? http://fs5.directupload.net/images/160112/kyao65fd.jpg http://fs5.directupload.net/images/160112/64rncfwd.jpg Изменено 11 января, 2016 пользователем diesel87 Ссылка на комментарий
Чертков Александр Опубликовано 12 января, 2016 Поделиться Опубликовано 12 января, 2016 Виталь, рентген тут ключевую роль сыграет...я полагаю что можно обойтись без винтов. 1 Ссылка на комментарий
Сева северный Опубликовано 12 января, 2016 Поделиться Опубликовано 12 января, 2016 А можно фото с нижними зубами..до обрезки? Ссылка на комментарий
diesel87 Опубликовано 12 января, 2016 Автор Поделиться Опубликовано 12 января, 2016 А можно фото с нижними зубами..до обрезки?только такоеhttp://fs5.directupload.net/images/160112/uubckmy4.jpg Ссылка на комментарий
Alberto Опубликовано 12 января, 2016 Поделиться Опубликовано 12 января, 2016 Виталь, рентген тут ключевую роль сыграет...я полагаю что можно обойтись без винтов.Соглашусь с Александром , нужен рентген также думаю что на своих можно сделать , но вот что делать с высотой зенитов? Ссылка на комментарий
anvladd Опубликовано 12 января, 2016 Поделиться Опубликовано 12 января, 2016 розовую керамику положить. Ссылка на комментарий
АнтонТЛТ Опубликовано 12 января, 2016 Поделиться Опубликовано 12 января, 2016 Без рентгена сложно судить. Как вариант ортодонтически вытянуть вместе с костью. Может хирургически с десной поработать. Ссылка на комментарий
carloss Опубликовано 12 января, 2016 Поделиться Опубликовано 12 января, 2016 Зениты можно закрыть по типу рецессий, сосочки должны прилично вернуться на времянках. Я бы во втором триместре, без особой анастезит, ну или чуток, поменял бы на времянки пока. 1 Ссылка на комментарий
Сева северный Опубликовано 12 января, 2016 Поделиться Опубликовано 12 января, 2016 С такого ракурса можно предложить вот так.... Ссылка на комментарий
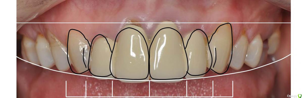
Сева северный Опубликовано 12 января, 2016 Поделиться Опубликовано 12 января, 2016 (изменено) Ход мысли следующий... Имеется недостаточное медио-дистальное расстояние 4-х резцов( ширина), при избыточной длине..За исходную точку взято положение пятерок. Отыгрывая , у четверок и клыков по миллиметру, смещая их дистальнее, можно увеличить место,для резцов. Зениты почти всех зубов на месте. С центральными........уже вариабельно. Изменено 12 января, 2016 пользователем Сева северный 1 Ссылка на комментарий
m.d.n Опубликовано 12 января, 2016 Поделиться Опубликовано 12 января, 2016 ортодонт в помощь 1 Ссылка на комментарий
krokomot Опубликовано 12 января, 2016 Поделиться Опубликовано 12 января, 2016 Тут надо сначало ортодонту хорошо поработать, расширить, убрать перекрест, без этого результат получится ниже среднего Ссылка на комментарий
krokomot Опубликовано 12 января, 2016 Поделиться Опубликовано 12 января, 2016 Зениты можно закрыть по типу рецессий, сосочки должны прилично вернуться на времянках. Я бы во втором триместре, без особой анастезит, ну или чуток, поменял бы на времянки пока.Карен Разве здесь не тонкий биотип? и не поползет ли все? Ссылка на комментарий
Sampson Опубликовано 13 января, 2016 Поделиться Опубликовано 13 января, 2016 С такого ракурса можно предложить вот так....В какой программе делаете? Ссылка на комментарий
Сева северный Опубликовано 13 января, 2016 Поделиться Опубликовано 13 января, 2016 В пауэр поинт. Ссылка на комментарий
carloss Опубликовано 13 января, 2016 Поделиться Опубликовано 13 января, 2016 Карен Разве здесь не тонкий биотип? и не поползет ли все? в смысле поверх транспа расползётся имеется ввиду? Ссылка на комментарий
krokomot Опубликовано 13 января, 2016 Поделиться Опубликовано 13 января, 2016 в смысле поверх транспа расползётся имеется ввиду?да Ссылка на комментарий
carloss Опубликовано 13 января, 2016 Поделиться Опубликовано 13 января, 2016 [даЭтим процессом можно допольно эффективно управлять, если есть необходимость и оно не особо зависит от биотипа.. Другой вопрос, что порой в угоду лучшему функциональному результату, можно не обрашать внимание на архитектуру десны, особенно если пациенты в большинстве случаев не против. Но тут не тот случай, можно гарантированно обойтись без некроза Ссылка на комментарий
Ibulat_1986 Опубликовано 18 января, 2016 Поделиться Опубликовано 18 января, 2016 +1 ортодонт Ссылка на комментарий
Сева северный Опубликовано 18 января, 2016 Поделиться Опубликовано 18 января, 2016 Вариант 2 3 Ссылка на комментарий
Ronin Опубликовано 7 февраля, 2016 Поделиться Опубликовано 7 февраля, 2016 Здесь надо в любом случае моделировку сделать в пределах 13-23, или даже до пятых, так больше возможностей. С виду по фото кажется, что просто очень большая длина 12-22, по отношению ко всем зубам, там можно убрать 1-1,5 мм, и переиграть на моделировке все объемы, двойки разного размера еще. После этого и с десной поработать придется, так как перекрытие большое нижних, поэтому закрыть по типу рецессии у центральных и контур остальных довести на эстетический уровень)) Я увидел это так, поправьте, если чего не доглядел) Ссылка на комментарий
Рекомендуемые сообщения
Для публикации сообщений создайте учётную запись или авторизуйтесь
Вы должны быть пользователем, чтобы оставить комментарий
Создать аккаунт
Зарегистрируйте новый аккаунт в нашем сообществе. Это очень просто!
Регистрация нового пользователяВойти
Уже есть аккаунт? Войти в систему.
Войти