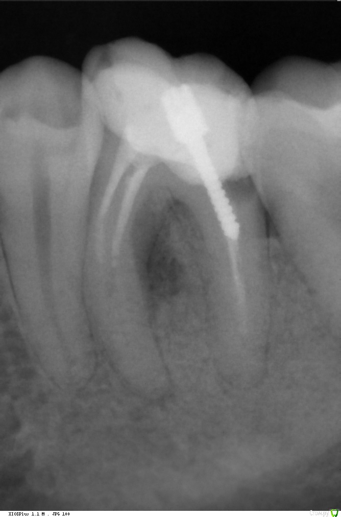
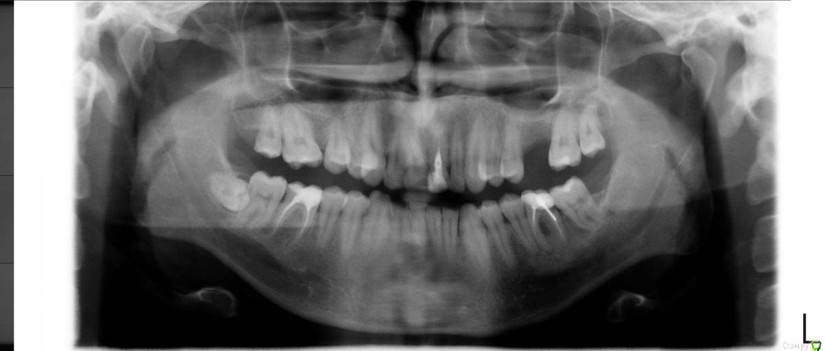
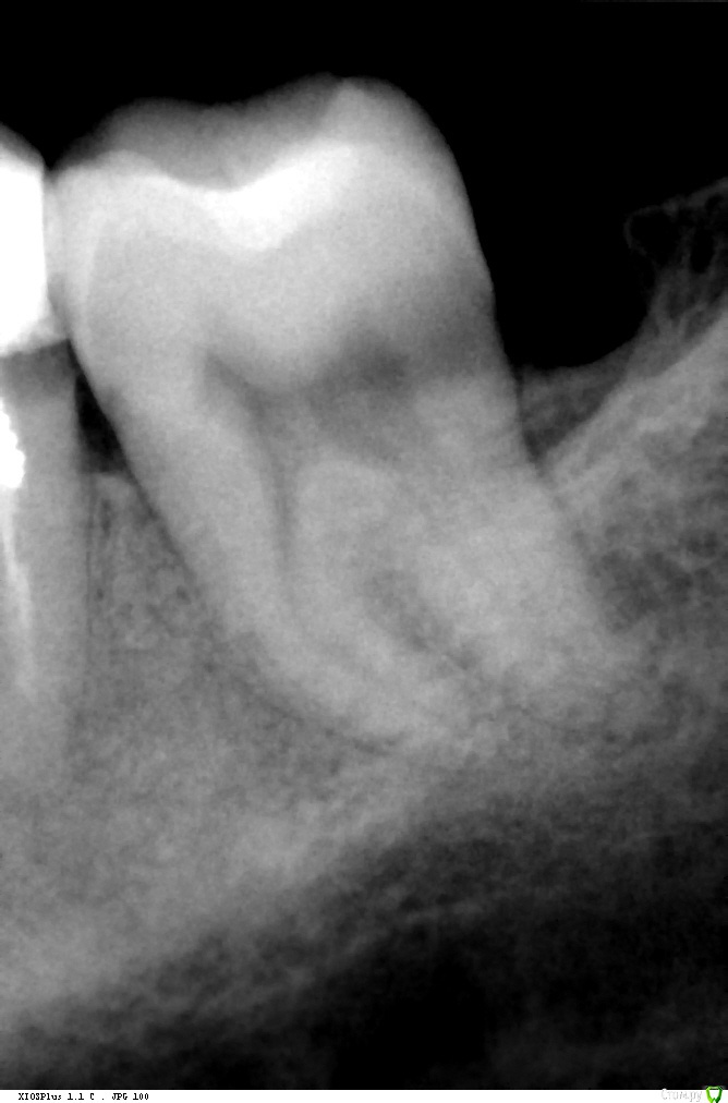
super Опубликовано 11 января, 2016 Поделиться Опубликовано 11 января, 2016 Доброго времени суток! Удаляю два зуба (снимки прилагаются). Будет ли возможность поставить импланты через несколько лет, если я откажусь от костного материала?В стоматологии расписали план, костный материал идёт опционально. Дескать, можно и без него, но лучше с ним, если планируете импланты (а я планирую через 2-3 года). Дополнительная информация:* Костный материал «БИ-ОСС» 0,5 гр.* 6-ка: пломба вылетела вместе со штифтом (снимок старый). Стоматолог сказал, что без шансов, надо удалять.* 7-ка: в 2-х стоматологиях сказали, что кариес корня и рекомендовали удалить. Спасибо :-) Ссылка на комментарий
IvanK Опубликовано 11 января, 2016 Поделиться Опубликовано 11 января, 2016 Здравствуйте Будет ли возможность поставить импланты через несколько лет, скорее всего да Ссылка на комментарий
diesel87 Опубликовано 11 января, 2016 Поделиться Опубликовано 11 января, 2016 Удалите правую нижнюю восьмерку, пока она не сделала тоже самое с правой семеркой. Ссылка на комментарий
red_butler Опубликовано 12 января, 2016 Поделиться Опубликовано 12 января, 2016 если судить только по снимку - за семерку бы поборолся 2 Ссылка на комментарий
super Опубликовано 12 января, 2016 Автор Поделиться Опубликовано 12 января, 2016 если судить только по снимку - за семерку бы поборолся тоже самое мне сказали сегодня в новой стоматологии :-) Ссылка на комментарий
red_butler Опубликовано 12 января, 2016 Поделиться Опубликовано 12 января, 2016 тоже самое мне сказали сегодня в новой стоматологии :-)Жаль. Одномоментную имплантацию не рассматриваете? Ссылка на комментарий
super Опубликовано 13 января, 2016 Автор Поделиться Опубликовано 13 января, 2016 Жаль. Одномоментную имплантацию не рассматриваете? Простите, а почему жаль? Ведь попытаются спасти семёрку в новой стоматологии! Удалить, говорят, всегда успеем. Насчёт одномоментной имплантации: к сожалению нет, причина банальна - финансы. Ссылка на комментарий
red_butler Опубликовано 13 января, 2016 Поделиться Опубликовано 13 января, 2016 Простите, а почему жаль? Ведь попытаются спасти семёрку в новой стоматологии! Удалить, говорят, всегда успеем. Насчёт одномоментной имплантации: к сожалению нет, причина банальна - финансы.Не внимательно прочитал. Показалось что еще в одной стоматологии подтвердили удаление. Удачи. Ссылка на комментарий
Рекомендуемые сообщения
Для публикации сообщений создайте учётную запись или авторизуйтесь
Вы должны быть пользователем, чтобы оставить комментарий
Создать аккаунт
Зарегистрируйте новый аккаунт в нашем сообществе. Это очень просто!
Регистрация нового пользователяВойти
Уже есть аккаунт? Войти в систему.
Войти