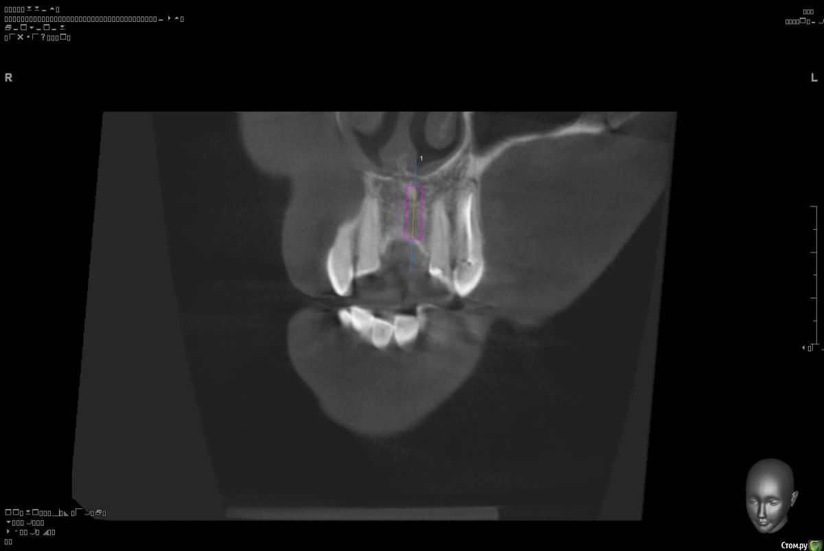
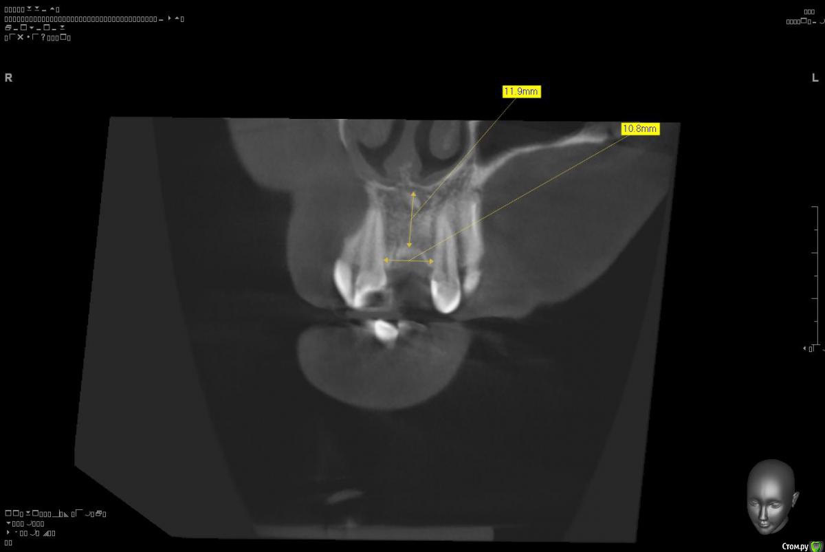
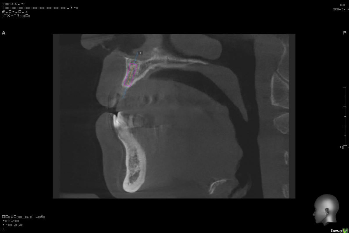
Platon Опубликовано 10 января, 2016 Поделиться Опубликовано 10 января, 2016 Здравствуйте.Помогите с планированием начинающему.Пациентка 38 лет. отсутствует 21. визуально в области 21 провал (фото нет, пока только кт). ходит с акриловой "птичкой"ортопед говорит: ставь, она к эстетике не будет предъявлять претензий))). с чем мне не хочется соглашаться(система ALPHA BIOкак правильно поступить?какие варианты рассматриваю:1. имплантация 3,75 на 11.5 SPI. ,+ временная коронка. Без какой либо пластики.2. костная пластика (мембрана,ксено,) без имплантации, сст, капа на 4 -6мес. потом имплантация + временная коронка3. имплантация, сст , временная коронка С учетом обстановки, прессинга, отсутствия опыта в аугментации, склоняюсь к третьему варианту. заранее спасибо за советы!удачного дня! Ссылка на комментарий
AlexanderGudkov Опубликовано 10 января, 2016 Поделиться Опубликовано 10 января, 2016 Из этих вариантов яб 3 выбралПтичку в топку Ссылка на комментарий
doca Опубликовано 10 января, 2016 Поделиться Опубликовано 10 января, 2016 Из этих вариантов яб 3 выбралПтичку в топкуЕсли сст+ имплант , то ,в идеале , имплант с конусным соединением.Это сейчас ортопед говорит , что предъяв не будет, а после скажет, что хирург так поставил и ничего не сделать.Вам нужно самому поговорить с пациенткой и прикинуть свои возможности и ее ожидания.Пока все данные : фронтальный отдел, возраст и то , что это женщина как бы намекают на то, что ожидания могут быть высокими Не самый легкий участок для начинающего,хоть какой то подобный опыт должен уже быть с боковыми участками. 3 Ссылка на комментарий
an_ver Опубликовано 10 января, 2016 Поделиться Опубликовано 10 января, 2016 Разрез только по гребню, пилотная фреза, формирование ложа остеотомами, Альфу 3,75*10. Затем расщепляете ниже кератинизированной и поднадкостнично до 0,25 ксено в области платформы. Швы. Можно формик и ССТ, либо ССТ при раскрытии.. Удачи!Ну,наверно надо уточнить))..разрез по гребню лучше делать под углом 45гр. (легче расщепить лоскут),и горизонт.разрез наверно все таки ВЫШЕ кератизированной (зуб то верхний),и если ставить10мм, то и горизонт разрез чуть выше надо делать, надкостницу аккуратно сформировать карманом и туда пихать ксено)))...ну не знаю 0,25 войдет ли...и зашиться...вроде так.Эт я просто уточнил, а не поправил. 2 Ссылка на комментарий
carloss Опубликовано 10 января, 2016 Поделиться Опубликовано 10 января, 2016 (изменено) костной пластики явно не стоит , но аккуратней с лоскутом и косточкой Изменено 10 января, 2016 пользователем carloss 7 Ссылка на комментарий
Platon Опубликовано 11 января, 2016 Автор Поделиться Опубликовано 11 января, 2016 костной пластики явно не стоит , но аккуратней с лоскутом и косточкой Ну,наверно надо уточнить))..разрез по гребню лучше делать под углом 45гр. (легче расщепить лоскут),и горизонт.разрез наверно все таки ВЫШЕ кератизированной (зуб то верхний),и если ставить10мм, то и горизонт разрез чуть выше надо делать, надкостницу аккуратно сформировать карманом и туда пихать ксено)))...ну не знаю 0,25 войдет ли...и зашиться...вроде так.Эт я просто уточнил, а не поправил. спасибо за советы. мир не без добрых людей,простите,если это глупо, но правильно я понимаю, что скелетировать не надо и сст засовывать со стороны гребня? заранее спасибо Ссылка на комментарий
Ст@ся Опубликовано 11 января, 2016 Поделиться Опубликовано 11 января, 2016 Любой ортопедический шаблон - вам нужно понимать глубину погружения импланта, мезиодистальное позиционирование, угол наклона (с виртуально-планируемым не соглашусь).По операции - расщепление (никаких полнослойных лоскутов) слизистой, сверление (DFI таки лучше), торк должен быть высоким - сст+ временная коронка. 1 Ссылка на комментарий
Fibez Опубликовано 11 января, 2016 Поделиться Опубликовано 11 января, 2016 Стася, чем DFI лучше SPI в плане немедленной нагрузки? Ссылка на комментарий
Ст@ся Опубликовано 11 января, 2016 Поделиться Опубликовано 11 января, 2016 Стася, чем DFI лучше SPI в плане немедленной нагрузки?В плане немедленной нагрузки они одинаковы - торк будет высоким. Но не люблю агрессивные импланты. Если ставить, но не по протоколу, предложенному производителем. 1 1 Ссылка на комментарий
DoktorDre Опубликовано 13 января, 2016 Поделиться Опубликовано 13 января, 2016 (изменено) В плане немедленной нагрузки они одинаковы - торк будет высоким. Но не люблю агрессивные импланты. Если ставить, но не по протоколу, предложенному производителем.+1. С DFI как то прощще не ошибится с торком штоле)) Спасибо ещё хотел сказать, опробовал Mani,рекомендованные вами,хороши.Автору хочется посоветовать взять 11,5 не заглублять данный имплант, оставить 1,5 мм супракрестально., если позволяет десна, чтобы уменьшить ремоделинг кости. Фото покажите ещё. Изменено 13 января, 2016 пользователем DoktorDre Ссылка на комментарий
Platon Опубликовано 31 января, 2016 Автор Поделиться Опубликовано 31 января, 2016 Продолжение.не судите строго за фото, первый раз вообще фоткаю операцию)спасибо за советы.По порядку. После того, что мне написали, я решил все -таки уговорить на конусный имплантат (3.7-11.5 ImplantDirect). Также ортопед не хотел делать временную коронку, сказал что сделает каппу, птичку в топку -тоже сделали. Слизистая в области 21 была в рубцах. Исходя из этого всего я решил, коль временной коронки не будет, то сст подсаживать тоже не стану пока,(ортопеда уговаривал сделать временную коронку)))- торк был хороший 35-50н) для того чтобы сст попрактиковаться, но(((.в итоге, анестезия, разрез, сверло пилотное и сверло 2.2, далее расщепление с помощью набора майзенгер с использованием спредеров до нужного диаметра, установил имплантат, торк контролируемый, можно было подобрать любой) в итоге оставил 35. заглушка, совсем немного ксено, мембрана, ушился. ждем. Будет что-то типо каппы которая слегка отдавливает десну,формируя сосочки. не знаю, ни разу такую еще не видел.планирую на этапе раскрытия все-таки сст и временную коронку увидеть.вот. через 4 мес. выложу, что получилось) Если есть советы, критика, всему буду рад, спасибо 3 Ссылка на комментарий
an_ver Опубликовано 31 января, 2016 Поделиться Опубликовано 31 января, 2016 (изменено) Почем Имп.Директ ныне?И какой? Вроде на Интерактив похож Изменено 31 января, 2016 пользователем an_ver Ссылка на комментарий
Nazim_NV86 Опубликовано 31 января, 2016 Поделиться Опубликовано 31 января, 2016 Осталось добавить только одно. Попридирчивей будь в плане санации перед операцией. Не стоит недооценивать этот момент. 1 Ссылка на комментарий
Platon Опубликовано 31 января, 2016 Автор Поделиться Опубликовано 31 января, 2016 Почем Имп.Директ ныне?И какой? Вроде на Интерактив похожДа, интерактив/ 12500 руб около того. Ссылка на комментарий
Platon Опубликовано 31 января, 2016 Автор Поделиться Опубликовано 31 января, 2016 Осталось добавить только одно. Попридирчивей будь в плане санации перед операцией. Не стоит недооценивать этот момент.спасибо, полностью согласен. учтем Ссылка на комментарий
Заурбек Опубликовано 1 февраля, 2016 Поделиться Опубликовано 1 февраля, 2016 Доброго времени суток. После работы спредерами сразу установили имплантат или прошлись финишной фрезой? Мембрану ничем не фиксировали? Покажите фото каппы?) Ссылка на комментарий
St_Klaus Опубликовано 1 февраля, 2016 Поделиться Опубликовано 1 февраля, 2016 взять 11,5 не заглублять данный имплант, оставить 1,5 мм супракрестально., если позволяет десна, чтобы уменьшить ремоделинг кости. Соглашусь, альфа не предназначена для заглубления, если не ошибаюсь, даже производители не рекомендуют.Если есть советы, критика, всему буду рад, спасибоВсе хорошо, только чуть более небно бы вывел платформу, хотя бы 0,5 мм Ссылка на комментарий
Platon Опубликовано 3 февраля, 2016 Автор Поделиться Опубликовано 3 февраля, 2016 Доброго времени суток. После работы спредерами сразу установили имплантат или прошлись финишной фрезой? Мембрану ничем не фиксировали? Покажите фото каппы?)после работы спредерами ничего больше не сверлил, но спрелерами долго работал, не спеша, по одному два витка и ждал некоторое время, и так поменял 3-4 спредера пока до нужного размера не дошел.каппу постараюсь в четверг сфоткать Ссылка на комментарий
vadimV Опубликовано 10 марта, 2016 Поделиться Опубликовано 10 марта, 2016 Абсолютно согласен с Nazim_NV86 стерильность всей полости рта перед операцией очень важна!) Ссылка на комментарий
Goacasper Опубликовано 10 марта, 2016 Поделиться Опубликовано 10 марта, 2016 Почем Имп.Директ ныне?И какой? Вроде на Интерактив похож 150 евро. В России не зарегистрирован и продается под угрозой уголовной ответственности Ссылка на комментарий
ILGAMSA Опубликовано 14 марта, 2016 Поделиться Опубликовано 14 марта, 2016 Абсолютно согласен с Nazim_NV86 стерильность всей полости рта перед операцией очень важна!)А как Вы стерилизуете полость рта? 6 Ссылка на комментарий
red_butler Опубликовано 14 марта, 2016 Поделиться Опубликовано 14 марта, 2016 А как Вы стерилизуете полость рта?так можно http://s019.radikal.ru/i626/1603/82/25d5afdaef6e.jpg 11 Ссылка на комментарий
Рекомендуемые сообщения
Для публикации сообщений создайте учётную запись или авторизуйтесь
Вы должны быть пользователем, чтобы оставить комментарий
Создать аккаунт
Зарегистрируйте новый аккаунт в нашем сообществе. Это очень просто!
Регистрация нового пользователяВойти
Уже есть аккаунт? Войти в систему.
Войти