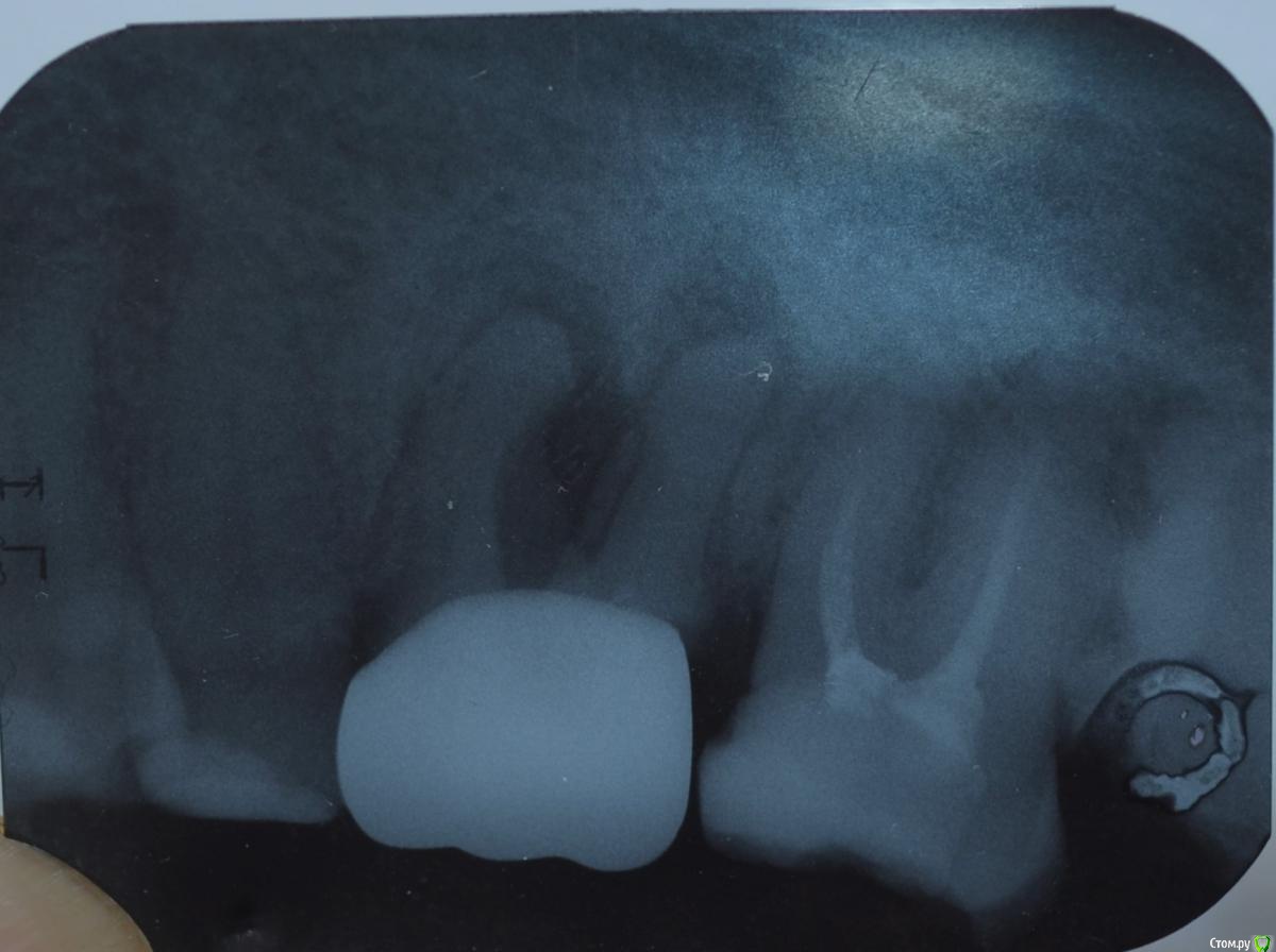
Дмитр Опубликовано 9 января, 2016 Поделиться Опубликовано 9 января, 2016 На десне под 6-ой снизу образовался гнойник. 3 января хирург сделал нарез десны, и 5 января снимок.Хочу узнать мнение специалистов: есть ли возможность спасти зуб.Кроме гнойника проблема себя никак не проявляет.Заранее благодарю за консультацию. Ссылка на комментарий
DmitrySH Опубликовано 9 января, 2016 Поделиться Опубликовано 9 января, 2016 Лучше удалить Ссылка на комментарий
Ker Опубликовано 9 января, 2016 Поделиться Опубликовано 9 января, 2016 Удалять. Перелечивание в данном случае затруднительно, и гарантии никакой не даст.К слову, следующий зуб обязательно нужно перелечить. Ссылка на комментарий
IvanK Опубликовано 9 января, 2016 Поделиться Опубликовано 9 января, 2016 Удаление Советую сделать панорамный снимок (ОПТГ) Ссылка на комментарий
Рекомендуемые сообщения
Для публикации сообщений создайте учётную запись или авторизуйтесь
Вы должны быть пользователем, чтобы оставить комментарий
Создать аккаунт
Зарегистрируйте новый аккаунт в нашем сообществе. Это очень просто!
Регистрация нового пользователяВойти
Уже есть аккаунт? Войти в систему.
Войти