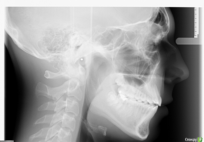
LeoRuss Опубликовано 7 января, 2016 Поделиться Опубликовано 7 января, 2016 Пациенту 17, три месяца назад сняли брекеты которые носили чуть больше года, поставили ретейнеры.Текущий контрольный осмотр у ортодантиста занял пять минут, но..на основе панорамника предписано удалять все восьмерки.Внимательно просмотрев множество уже существующих здесь постов на сюжет удаления ретинированных и дистопированных зубов мудрости, осознал почему их лучше стоит удалить (особенно лежачую 48ку), увидел почему это лучше сделать раньше, пока не отросли закривульные корни, и не дожидаться «а вдруг», но решился все же создать новую тему и задать свой насущный вопрос:А можно ли не ждать, но попытаться их как то сохранить, а еще лучше и поправить расположение этих, еще не выпуклившихся, но уже сформировавшихся рудиментов??Наверняка же были уже пациенты, врачи, времена когда этот вопрос всесторонне отпрепарировали? Пошлите меня пожалста куданить где можно получить данную информацию, желательно позитивную. И конечно буду признателен за ваши личные ПМСМ по конкретной ситуации, снимки прилагаю. Ссылка на комментарий
Doc Опубликовано 7 января, 2016 Поделиться Опубликовано 7 января, 2016 Пациенту 17, три месяца назад сняли брекеты которые носили чуть больше года, поставили ретейнеры.Текущий контрольный осмотр у ортодантиста занял пять минут, но..на основе панорамника предписано удалять все восьмерки.Внимательно просмотрев множество уже существующих здесь постов на сюжет удаления ретинированных и дистопированных зубов мудрости, осознал почему их лучше стоит удалить (особенно лежачую 48ку), увидел почему это лучше сделать раньше, пока не отросли закривульные корни, и не дожидаться «а вдруг», но решился все же создать новую тему и задать свой насущный вопрос:А можно ли не ждать, но попытаться их как то сохранить, а еще лучше и поправить расположение этих, еще не выпуклившихся, но уже сформировавшихся рудиментов??Наверняка же были уже пациенты, врачи, времена когда этот вопрос всесторонне отпрепарировали? Пошлите меня пожалста куданить где можно получить данную информацию, желательно позитивную. И конечно буду признателен за ваши личные ПМСМ по конкретной ситуации, снимки прилагаю. V Panoramique_05-01-2016.JPGV Profil_05-01-2016.JPGТак сохранить-то как раз не проблема. В Вашем случае даже есть шанс, что они вырастут и встанут на место, но при этом они так подвинут весь зубной ряд, что вся красота может скучиться и все, за что боролись не один год, пойдет прахом. Оно Вам надо? Ссылка на комментарий
колесников Опубликовано 7 января, 2016 Поделиться Опубликовано 7 января, 2016 Вовсе они не лежащие. Удалятся легко. Сейчас самое время. Ссылка на комментарий
diesel87 Опубликовано 7 января, 2016 Поделиться Опубликовано 7 января, 2016 Верхняя левая точно уже никуда сама не выйдет, нижние скорее всего упрутся в семерки и как верно сказал doc, нарушат всю красоту. Ссылка на комментарий
IvanK Опубликовано 8 января, 2016 Поделиться Опубликовано 8 января, 2016 Удаляйте Ссылка на комментарий
LeoRuss Опубликовано 10 января, 2016 Автор Поделиться Опубликовано 10 января, 2016 Так сохранить-то как раз не проблема. В Вашем случае даже есть шанс, что они вырастут и встанут на место, но при этом они так подвинут весь зубной ряд, что вся красота может скучиться и все, за что боролись не один год, пойдет прахом. Оно Вам надо?У меня опасение в данном случае обратное: есть предпосылки как со стороны моей мамы, у которой после удаления восьмерок зубной ряд довольно быстро разъехался, появились заметные прогалы между оставшимися молярами, все стало там застревать, так и, увы, со стороны жены, у нее зубы не особо плотно набиты, при этом восьмерки на месте, а прикус у сына практически её. Может не удалять их все таки пока, тем более как написал уважаемый diesel87 большая вероятность что верхние так и останутся полностью ретинированными, раз уж они тихо там сидят и не беспокоят? Ссылка на комментарий
LeoRuss Опубликовано 10 января, 2016 Автор Поделиться Опубликовано 10 января, 2016 Вовсе они не лежащие. Удалятся легко. Сейчас самое время.Да нижние меня сильно смущают, хоть вы говорите что это и не лежачие, ладно, пусть будут "на веселе", но у них явная тенденция пободать 7ки. В связи с выпускным годом в лицее хочу уточнить, по вашему опыту сильно ли изменится ситуация если отложить их удаление до июля августа? Тогда даже если (но не дай Бог) будут осложнения, то потеря рабочей формы на неделю будет гораздо менее значимой. Спасибо. Ссылка на комментарий
Doc Опубликовано 10 января, 2016 Поделиться Опубликовано 10 января, 2016 Да нижние меня сильно смущают, хоть вы говорите что это и не лежачие, ладно, пусть будут "на веселе", но у них явная тенденция пободать 7ки. В связи с выпускным годом в лицее хочу уточнить, по вашему опыту сильно ли изменится ситуация если отложить их удаление до июля августа? Тогда даже если (но не дай Бог) будут осложнения, то потеря рабочей формы на неделю будет гораздо менее значимой. Спасибо.Восьмерки непредсказуемы. Они могут еще десять лет так лежать и не дернуться ни разу. А могут завтра попереть так, что сами побежите удалять от боли. 1 Ссылка на комментарий
Bier Опубликовано 10 января, 2016 Поделиться Опубликовано 10 января, 2016 удаляйте, пока корни до нерва не доросли. Ссылка на комментарий
LeoRuss Опубликовано 12 января, 2016 Автор Поделиться Опубликовано 12 января, 2016 удаляйте, пока корни до нерва не доросли.Спасибо огромное всем за советы и поддержку!Будем драть, в два приема, один раз - одна сторона.Хотя страшно конечно, когда себе все гораздо проще, а за детей как то стремно всегда ;( пс: тему можно успешно закрывать Ссылка на комментарий
Рекомендуемые сообщения