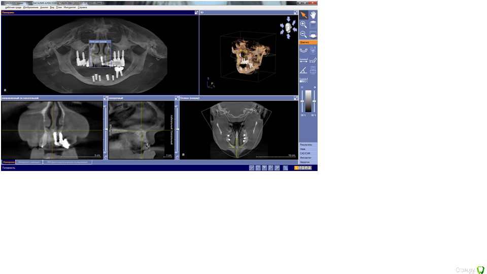
Nataly07 Опубликовано 7 января, 2016 Поделиться Опубликовано 7 января, 2016 Уважаемые доктора, была бы очень благодарна вам, если бы нашли время ответить на очень важный для меня вопрос. В начале декабря 2015 была проведена операция по имплантации на нижней челюсти. Были установлены 5 имплантатов. После операции выяснилось, что с левой стороны присутствует онемение подбородка. Была сделана КТ. Хирург посмотрел снимок и сказал, что всё нормально, имплантат не касается нерва. В заключении врача-рентгенолога написано: имплантат 3.5 – апикальная треть перфорирует нижнечелюстной канал на всем протяжении в области ментального отверстия. Ниже имплантата с оральной стороны визуализируется дефект оральной компактной пластинки. В переводе с медицинского на общечеловеческий язык, что это означает и каковы должны быть дальнейшие действия?Имплантат 4.3 – ниже имплантата визуализируется сквозной дефект нижней компактной пластинки. Имплантат надо удалять? Какие могут быть последствия, если его не удалять?Снимки сделаны в программе Галилео, не знаю, как их сохранить. Ссылка на комментарий
IvanK Опубликовано 8 января, 2016 Поделиться Опубликовано 8 января, 2016 Здравствуйте Врачам нужны объективные данные http://forum.stom.ru/topic/20613-sovety-patcientam-obiazatelno-k-prochteniiu/ Онемение есть? http://forum.stom.ru/topic/10677-kak-vylozhit-kt-na-saite/ Выложите скриншоты Ссылка на комментарий
Nataly07 Опубликовано 8 января, 2016 Автор Поделиться Опубликовано 8 января, 2016 Да, онемение есть в левой части подбородка Ссылка на комментарий
IvanK Опубликовано 8 января, 2016 Поделиться Опубликовано 8 января, 2016 Выложите картинки покрупнее ничего не видно Ссылка на комментарий
Nataly07 Опубликовано 8 января, 2016 Автор Поделиться Опубликовано 8 января, 2016 1 Ссылка на комментарий
Nataly07 Опубликовано 8 января, 2016 Автор Поделиться Опубликовано 8 января, 2016 https://cloud.mail.ru/public/JhR8/MBx5kMLmo оставшиеся снимки сюда скинула Ссылка на комментарий
IvanK Опубликовано 8 января, 2016 Поделиться Опубликовано 8 января, 2016 адрес не рабочийвоспользуйтесь, ссылка 2 после загрузки фотоhttp://radikal.ru/ Ссылка на комментарий
Nataly07 Опубликовано 8 января, 2016 Автор Поделиться Опубликовано 8 января, 2016 Хорошо http://f-picture.net/lfp/s020.radikal.ru/i706/1601/f4/3a0e4da8f966.jpg/htm Ссылка на комментарий
Nataly07 Опубликовано 8 января, 2016 Автор Поделиться Опубликовано 8 января, 2016 http://s020.radikal.ru/i710/1601/42/63c2048a764d.jpg http://s019.radikal.ru/i604/1601/0f/7b41d5dbde52.jpg http://i003.radikal.ru/1601/36/6bbb3666fb53.jpg http://s019.radikal.ru/i625/1601/36/47cf0cf88b00.jpg http://s015.radikal.ru/i332/1601/c3/5aeaeae8b9cb.jpg Ссылка на комментарий
IvanK Опубликовано 8 января, 2016 Поделиться Опубликовано 8 января, 2016 На будущее, код №2 http://s020.radikal.ru/i706/1601/f4/3a0e4da8f966.jpghttp://s020.radikal.ru/i710/1601/42/63c2048a764d.jpghttp://s019.radikal.ru/i604/1601/0f/7b41d5dbde52.jpghttp://i003.radikal.ru/1601/36/6bbb3666fb53.jpghttp://s019.radikal.ru/i625/1601/36/47cf0cf88b00.jpghttp://s015.radikal.ru/i332/1601/c3/5aeaeae8b9cb.jpg Ссылка на комментарий
IvanK Опубликовано 8 января, 2016 Поделиться Опубликовано 8 января, 2016 35 я бы убрал, ... Какой вариант протезирования планируется? Ссылка на комментарий
Nataly07 Опубликовано 8 января, 2016 Автор Поделиться Опубликовано 8 января, 2016 то есть 3.5 можно и не убирать? рентгенолог написал в заключении, что он перфорирует нижнечелюстной канал в области ментального отверстия, а ниже имплантата с оральной стороны визуализируется дефект оральной компактной пластинки - что это такое? С этим можно жить?) а между имплантатами 4.3 и 4.2 расстояние 1,5 миллиметра, как вы считаете, смогут они прижиться? не нарушится ли питание кости и не придется ли их потом убрать оба? ниже имплантата 4.3 - сквозной дефект нижней компактной пластинки. Такой имплантат можно сохранять? 4.1 - оголение в вестибулярной стенке коронковой трети имплантата до 4,8 миллиметров, сможет ли он в дальнейшем послужить опорой для коронки? Планируется протезирование на винтах. Ссылка на комментарий
IvanK Опубликовано 9 января, 2016 Поделиться Опубликовано 9 января, 2016 Не надо постоянно писать одно и тоже, все понятно было сразу Имплантат, который является причиной онемения - убрать Сделать фото в полости рта, выложить сюда Сходить к ортопеду, который Планируется протезирование на винтах. и показать снимки, послушать его мнение 1 Ссылка на комментарий
Nataly07 Опубликовано 9 января, 2016 Автор Поделиться Опубликовано 9 января, 2016 3.5 удаляем, а что по поводу других? Ссылка на комментарий
Nataly07 Опубликовано 9 января, 2016 Автор Поделиться Опубликовано 9 января, 2016 Может быть кто-то знает, что такое дефект компактной пластинки? и как это устранить? Ссылка на комментарий
IvanK Опубликовано 9 января, 2016 Поделиться Опубликовано 9 января, 2016 3.5 удаляем, а что по поводу других?дайте фото покажитесь ортопеду Ссылка на комментарий
IvanK Опубликовано 9 января, 2016 Поделиться Опубликовано 9 января, 2016 Может быть кто-то знает, что такое дефект компактной пластинки? и как это устранить?Вы не поверите, знают Все))Забудьте об этомЗадачи такие:устранить причину онемениярешить вопрос о протезировании(потом что-то удалить, где-то нарастить (десну/кость), где-то вкрутить, если коротко) 1 Ссылка на комментарий
Рекомендуемые сообщения
Для публикации сообщений создайте учётную запись или авторизуйтесь
Вы должны быть пользователем, чтобы оставить комментарий
Создать аккаунт
Зарегистрируйте новый аккаунт в нашем сообществе. Это очень просто!
Регистрация нового пользователяВойти
Уже есть аккаунт? Войти в систему.
Войти