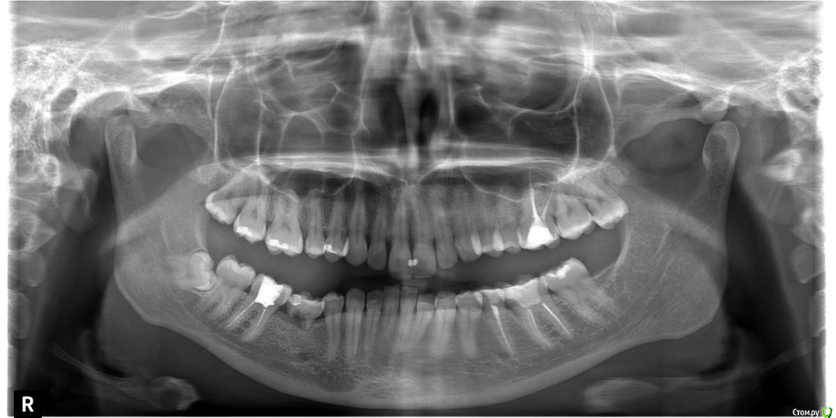
Ghera Опубликовано 5 января, 2016 Поделиться Опубликовано 5 января, 2016 Здравствуйте. Имею левый нижний шестой зуб, который начал сверху крошиться. У него длинная и довольно печальная история. Ок. 2003 года был впервые депульпирован (не помню чем, но не резорцин), в 2008 году на корне обнаружилась гранулема, перелечен, запломбирован с помощью метапекса. Пломба большая и неудачная, получился десневой карман.Теперь стенки зуба вокруг пломбы потихонечку сверху выкрашиваются (год назад надломилась половина язычной стенки под десну, удалили, но тогда не было времени прицельно им заняться).Зуб не болит и вообще никак не беспокоит. Что с ним делать? Удалять и ставить мост? Перелечивать каналы и коронку на вкладке? Имплантв прямом смысле не по зубам... Ссылка на комментарий
DmitrySH Опубликовано 5 января, 2016 Поделиться Опубликовано 5 января, 2016 Убрать пломбу, оценить то что осталось и тогда уже принимать решение. На данном снимке ситуация не выглядит критичной, но в полости рта может быть другая картина.А вот шестой внизу справа, его уж точно удалять.+восьмые зубы надо бы удалять( вверху слева может давать болезненные ощущения, там глубокая кариозная полость) Ссылка на комментарий
Ghera Опубликовано 5 января, 2016 Автор Поделиться Опубликовано 5 января, 2016 Спасибо за ответ. Если не трудно, не могли бы написать в личку рекомендации, куда обратиться? Могу и к Вам, если это достижимо. Ссылка на комментарий
red_butler Опубликовано 6 января, 2016 Поделиться Опубликовано 6 января, 2016 Убрать пломбу, оценить то что осталось и тогда уже принимать решение. На данном снимке ситуация не выглядит критичной, но в полости рта может быть другая картина.А вот шестой внизу справа, его уж точно удалять. Это вроде молочная пятерка Ссылка на комментарий
IvanK Опубликовано 6 января, 2016 Поделиться Опубликовано 6 января, 2016 @Ghera, консультация ортодонтаСправа молочный зуб - удаление, имплантация18,28,48 - удаление26,36,36,46 - консультация ортопеда 1 Ссылка на комментарий
Ghera Опубликовано 6 января, 2016 Автор Поделиться Опубликовано 6 января, 2016 Так точно, молочная пятерка, леченная еще при Горбачеве. А если ее имплантировать - там кость не рассосалась? Ссылка на комментарий
red_butler Опубликовано 6 января, 2016 Поделиться Опубликовано 6 января, 2016 Так точно, молочная пятерка, леченная еще при Горбачеве. А если ее имплантировать - там кость не рассосалась?По высоте кость есть 1 Ссылка на комментарий
DmitrySH Опубликовано 7 января, 2016 Поделиться Опубликовано 7 января, 2016 Да, конечно молочная пятерка.это я что-то того ))) Ссылка на комментарий
Гарриевич Опубликовано 7 января, 2016 Поделиться Опубликовано 7 января, 2016 Если касаться только вашего "любимого" зуба, то алгоритм такой: - убираем всю пломбу и кариес- оцениваем остаток тканей - протезируем Ссылка на комментарий
Ghera Опубликовано 8 января, 2016 Автор Поделиться Опубликовано 8 января, 2016 Если касаться только вашего "любимого" зуба, то алгоритм такой:- убираем всю пломбу и кариес- оцениваем остаток тканей- протезируем Поняла, спасибо! Ссылка на комментарий
Рекомендуемые сообщения
Для публикации сообщений создайте учётную запись или авторизуйтесь
Вы должны быть пользователем, чтобы оставить комментарий
Создать аккаунт
Зарегистрируйте новый аккаунт в нашем сообществе. Это очень просто!
Регистрация нового пользователяВойти
Уже есть аккаунт? Войти в систему.
Войти