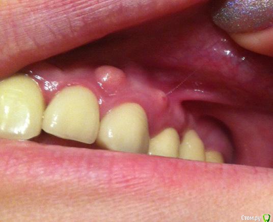
philipss Опубликовано 2 января, 2016 Поделиться Опубликовано 2 января, 2016 Вечер добрый! Попала в трудную ситуацию, мой врач приедет только 5-го, а у меня странные шишки на десне образовались... есть ли смысл ждать моего врача или все таки сходить на консультацию к другому врачу? Первоначально у меня было воспаление на десне и врач сказал что попала еда под десну, я ее загнала дальше и из-за нее десна воспалилась.. почистил, сказал метрогил в карман 2 р. в день выдавливать.. спустя полмесяца образовались вот такие шишки, боюсь упустить момент, еще и КТ у врача осталась.. Зуб металокерамика. Шишки по краям зуба, на котором воспалялась десна. Прикрепляю фото, на руках снимков нет. Заранее спасибо за ответ. Ссылка на комментарий
diesel87 Опубликовано 2 января, 2016 Поделиться Опубликовано 2 января, 2016 Вечер добрый! Попала в трудную ситуацию, мой врач приедет только 5-го, а у меня странные шишки на десне образовались... есть ли смысл ждать моего врача или все таки сходить на консультацию к другому врачу? Первоначально у меня было воспаление на десне и врач сказал что попала еда под десну, я ее загнала дальше и из-за нее десна воспалилась.. почистил, сказал метрогил в карман 2 р. в день выдавливать.. спустя полмесяца образовались вот такие шишки, боюсь упустить момент, еще и КТ у врача осталась.. Зуб металокерамика. Шишки по краям зуба, на котором воспалялась десна. Прикрепляю фото, на руках снимков нет. Заранее спасибо за ответ.Сходите к другому врачу Ссылка на комментарий
Гарриевич Опубликовано 3 января, 2016 Поделиться Опубликовано 3 января, 2016 у Вас там все не так простоэти "шишки" говорят о нарушениях при лечении или осложнениях возникших послеобратитесь к грамотному специалисту и не откладывайте в долгий ящик Ссылка на комментарий
philipss Опубликовано 3 января, 2016 Автор Поделиться Опубликовано 3 января, 2016 Спасибо за ответы. Как же тут отложишь, это надо себе врагом быть! Наоборот боюсь промедления, завтра начинают работать стоматологии, вот и думаю пойти уже завтра на прием в любую клинику или еще день подождать все таки своего врача. За день ситуация может ухудшиться? Полощу периодически солью с содой.. Ссылка на комментарий
St. Опубликовано 4 января, 2016 Поделиться Опубликовано 4 января, 2016 Сходите завтра сделайте снимок этих зубов как минимум. И не забудьте вывесить сюда. Ссылка на комментарий
philipss Опубликовано 6 января, 2016 Автор Поделиться Опубликовано 6 января, 2016 Сходите завтра сделайте снимок этих зубов как минимум. И не забудьте вывесить сюда.Сходила к двум врачам, один сделал снимок, ничего там не увидел, сказал нужно снимать коронку и смотреть КТ. Вчера ходила к своему врачу, к этому времени у меня выпала коронка сама. Как оказалось, у меня там образовалась трещина на корне, на снимке не видно было потому что трещина идет не вдоль - как снимок делают, а поперек. На КТ видно что часть пломбировочного материала вышла за границу канала, в небольшую полость когда ставили коронку с штифтом 5 лет назад, из-за этого видимо и корень треснул. Корень сказали удалять, дальнейшие варианты - это мост с учетом двух соседних зубов или имплант. Буду ставить имплант. Хотя конечно это не запланировано, если учесть что в данный момент ставлю 2 импланта на шестерки по обеим сторонам. Зубы нужно лечить вовремя! Ссылка на комментарий
red_butler Опубликовано 6 января, 2016 Поделиться Опубликовано 6 января, 2016 Сходила к двум врачам, один сделал снимок покажите снимки 3 Ссылка на комментарий
Рекомендуемые сообщения
Для публикации сообщений создайте учётную запись или авторизуйтесь
Вы должны быть пользователем, чтобы оставить комментарий
Создать аккаунт
Зарегистрируйте новый аккаунт в нашем сообществе. Это очень просто!
Регистрация нового пользователяВойти
Уже есть аккаунт? Войти в систему.
Войти