ЛенаАлександровна Опубликовано 1 января, 2016 Поделиться Опубликовано 1 января, 2016 (изменено) Здравствуйте!Помогите,пожалуйста,советом.Забыла указать в названии.Криво стоят на снимке постоянные.Молочные зубки ровные.Прорезывались вовремя и в правильном порядке.Если я правильно понимаю,то верхние двойки стоят боком.Их придется разворачивать какой-нибудь пластиной,когда прорежутся.Или они могут сами еще при прорезовании нормально встать? Касательно нижних.И в детской теме,и на консультации мне подтвердили,что это не центральные резцы,а двойки.Поэтому и смена задерживается.Снимок сделан летом.По сей день ситуация та же.Молочные все на месте.Про 8ки не сказали ничего.Они еще могут появиться или их тоже можно отнести к адентии? На сегодня обошла всех ортодонтов,кого знала,как хороших в нашем городе.Сказали ждать смены.Это,действительно,так?Или быть может как-то надо подготовить процесс смены?Есть же случаи,когда удаляют молочные зубки,чтобы постоянные нормально росли.Может,моему сыну тоже что-то такое необходимо,а я сижу время теряю? Заранее спасибо. Изменено 1 января, 2016 пользователем ЛенаАлександровна Ссылка на комментарий
Skip Опубликовано 2 января, 2016 Поделиться Опубликовано 2 января, 2016 В более позднем смешанном прикусе вернитесь ко всем этим вопросам, ...в 8-9 лет. 1 Ссылка на комментарий
ЛенаАлександровна Опубликовано 2 января, 2016 Автор Поделиться Опубликовано 2 января, 2016 В более позднем смешанном прикусе вернитесь ко всем этим вопросам, ...в 8-9 лет.Спасибо! Ссылка на комментарий
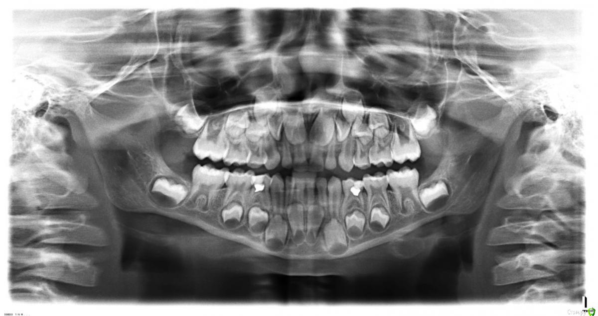
Yana guapa Опубликовано 2 января, 2016 Поделиться Опубликовано 2 января, 2016 1. сделайте фото зубов2. Про восьмерки рано еще говорить3. Центральные или боковые резцы- не столь важно в такой ситуации4. Если судить по снимку- то молочные зубы стоят слишком плотно. В таком возрасте в норме между зубами должны быть щели (тремы). Челюсть должна расти, должно появляться место для постоянных зубов, которые значительно крупнее молочных. Чаще всего молочные зубы так плотно стоят у детей, которые мало получают грубой пищи (яблоко, морковь, мясо, сухари, баранки... Ничего не измельчать, не тереть). От нагрузки челюсти растут, нет нагрузки- челюсти не растут. 5. Удалять ни в коем случае ничего нельзя. Каждый молочный зуб бережет место доя постоянного, передает нагрузко на кость, чтобы челюсть развивалась... [font=helvetica ... Или быть может как-то надо подготовить процесс смены?Есть же случаи,когда удаляют молочные зубки,чтобы постоянные нормально росли[/font] 1 Ссылка на комментарий
ЛенаАлександровна Опубликовано 2 января, 2016 Автор Поделиться Опубликовано 2 января, 2016 (изменено) 1. сделайте фото зубов2. Про восьмерки рано еще говорить3. Центральные или боковые резцы- не столь важно в такой ситуации4. Если судить по снимку- то молочные зубы стоят слишком плотно. В таком возрасте в норме между зубами должны быть щели (тремы). Челюсть должна расти, должно появляться место для постоянных зубов, которые значительно крупнее молочных. Чаще всего молочные зубы так плотно стоят у детей, которые мало получают грубой пищи (яблоко, морковь, мясо, сухари, баранки... Ничего не измельчать, не тереть). От нагрузки челюсти растут, нет нагрузки- челюсти не растут.5. Удалять ни в коем случае ничего нельзя.Каждый молочный зуб бережет место доя постоянного, передает нагрузко на кость, чтобы челюсть развивалась...Спасибо!Я Вас поняла.Да,зубки,действительно,плотно стоят.Трем нет вообще.Ну разве что небольшие.Сухари,морковь и яблоки он любит и ест немало.Может,особенность организма. Касательно адентии резцов.Одна ортодонт сказала,что на нижней челюсти это не столь важно,если ровно встанут,необходимости в допротезировании нет.Другой сказал,что клыки на месте 2-к попортят верхние резцы и даже прикус.Что надо будет сначала пластинку и место держать под 2 (на пластинку наварить зубики.цитирую врача из детской стом поликлиники),а потом,когда вырастет,протезировать.Так как же правильней? Все таик нижние зубки не в зоне улыбки,на эстетику не влияют.Если это не повредит прикусу,зачем их и трогать.Только ребенка зря мучать. Фото попробую сделать. Изменено 2 января, 2016 пользователем ЛенаАлександровна Ссылка на комментарий
Yana guapa Опубликовано 2 января, 2016 Поделиться Опубликовано 2 января, 2016 1. Это фото с чуть разомкнутыми зубнями рядами? Сделайте фото с плотносомкнутыми зубами (смущают бугры нижних клыков и перекрытие верхних двоек)2. Многие родители так отвечают, но дефицит места- на лицо. (Обратите внимание, что котлетки и тефтельки - это не нагрузка для ребенка, должен быть нормальный кусок мяса с волокнами... Яблоки и морковь не нарезанные и не тертые, только целые... И тд). 3. Что делать с нижними резцами придется решать позже, но Вы должны знать, что оба варианты лечения имеют право быть и выбор останется только за Вами. 1 Ссылка на комментарий
ЛенаАлександровна Опубликовано 2 января, 2016 Автор Поделиться Опубликовано 2 января, 2016 1. Это фото с чуть разомкнутыми зубнями рядами? Сделайте фото с плотносомкнутыми зубами (смущают бугры нижних клыков и перекрытие верхних двоек)2. Многие родители так отвечают, но дефицит места- на лицо. (Обратите внимание, что котлетки и тефтельки - это не нагрузка для ребенка, должен быть нормальный кусок мяса с волокнами... Яблоки и морковь не нарезанные и не тертые, только целые... И тд).3. Что делать с нижними резцами придется решать позже, но Вы должны знать, что оба варианты лечения имеют право быть и выбор останется только за Вами.Мясо всякое бывает.Не только тефтельки.Я бы даже сказала,что фарш в нашей семье не частый гость.Но есть момент один.Лет до 2 он не ел особо грубой пищи.Дело в том,что из-за проблем с неврологией у него,как бы это сказать,ярко выраженный рвотный рефлекс был.чуть что - рвота.от крупных кусков пищи в том числе.как только это прекратилось,так и стала добавлять пищу кусками и погрубее. Ссылка на комментарий
Yana guapa Опубликовано 2 января, 2016 Поделиться Опубликовано 2 января, 2016 Перекрытие нормальное. Трем и физиологической стираемости , конечно, совсем нет(( прикус соответствует ~4годам. Рекомендации пока что теже, грызите!))) 1 Ссылка на комментарий
ЛенаАлександровна Опубликовано 2 января, 2016 Автор Поделиться Опубликовано 2 января, 2016 (изменено) Перекрытие нормальное. Трем и физиологической стираемости , конечно, совсем нет((прикус соответствует ~4годам.Рекомендации пока что теже, грызите!)))Скажите,пожалуйста,а чем чревато такое отствание в прикусе на 3 года?Мальчику восьмой год идет.Как в 2 года они все 20 прорезались,потом где-то к 4 немного разошлись,так и стоит на месте все. Изменено 2 января, 2016 пользователем ЛенаАлександровна Ссылка на комментарий
Yana guapa Опубликовано 2 января, 2016 Поделиться Опубликовано 2 января, 2016 Скажите,пожалуйста,а чем чревато такое отствание в прикусе на 3 года?Мальчику восьмой год идет.. Дефицитом места для постоянных зубов, скученностью. Нуа вообще, надо смотреть на ребенка в целом - на сколько он отличается (или не отличается от сверстников)? Размер челюстей, носа, работа мышц, функции дыхания, глотания, жевания, речеобразования.... всё это влияет на лицевой скелет, его гармоничность и тд 1 Ссылка на комментарий
ЛенаАлександровна Опубликовано 3 января, 2016 Автор Поделиться Опубликовано 3 января, 2016 Дефицитом места для постоянных зубов, скученностью.Нуа вообще, надо смотреть на ребенка в целом - на сколько он отличается (или не отличается от сверстников)?Размер челюстей, носа, работа мышц, функции дыхания, глотания, жевания, речеобразования.... всё это влияет на лицевой скелет, его гармоничность и тдЯ Вас поняла.Спасибо.Отставания в развитии не было никогда.По поведению и речи ему часто дают больше лет,чем на самом деле.Единственное,неврология все время дает осложнение на тонус мышц.Долгое время это были массажи и физиопроцедуры,сейчас это спорт и плавание.Больше врач такой проблемы не ставит.Но,думаю,на функции жевания,это,наверное,все же отразилось.Будем грызть и ждать. Ссылка на комментарий
Рекомендуемые сообщения
Для публикации сообщений создайте учётную запись или авторизуйтесь
Вы должны быть пользователем, чтобы оставить комментарий
Создать аккаунт
Зарегистрируйте новый аккаунт в нашем сообществе. Это очень просто!
Регистрация нового пользователяВойти
Уже есть аккаунт? Войти в систему.
Войти