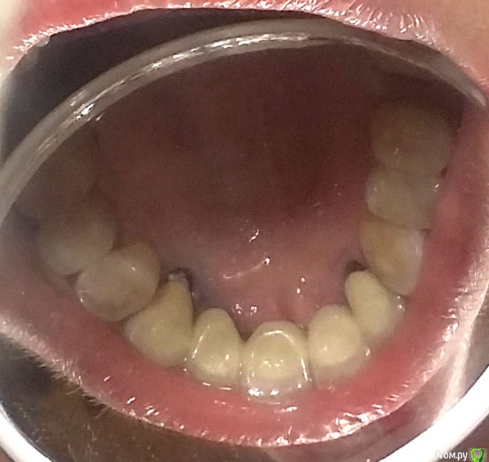
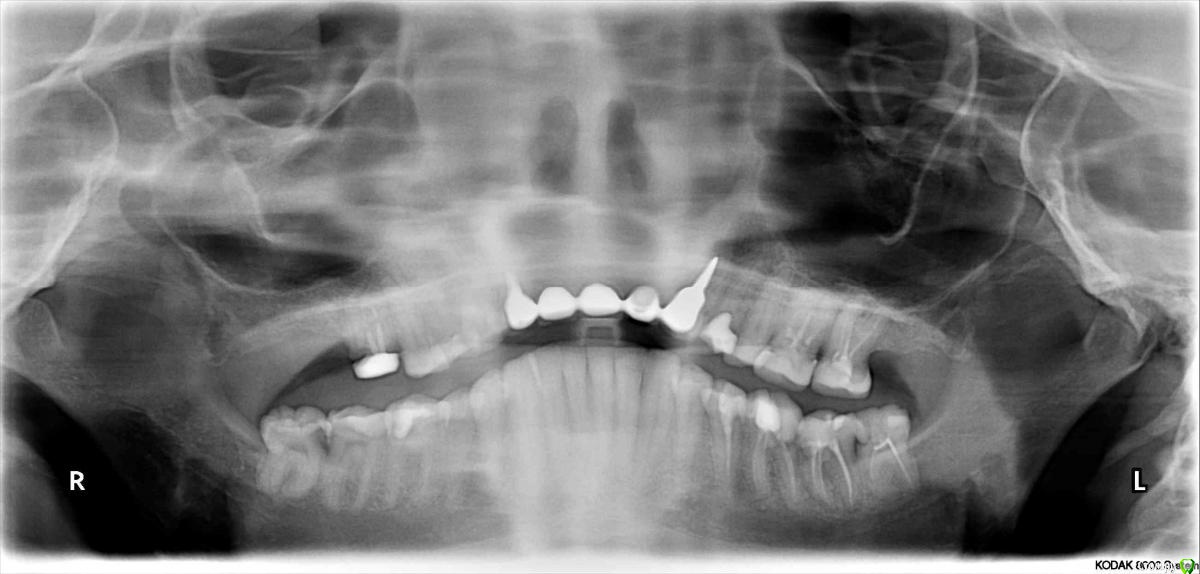
Yashika Опубликовано 25 декабря, 2015 Поделиться Опубликовано 25 декабря, 2015 (изменено) Уважаемые доктора, у меня очень короткий вопрос т.к. я не понимаю, продолжать ли мне искать доктора или я ищу чего-то невозможного На передних верхних зубах стоит мост металлокерамика (вкладки кобальт-хром) на 2 опорных. Сзади ушла десна, образовались карманы, иногда кровит. ХОЧУ ЗАМЕНИТЬ КОНСТРУКЦИЮ с учетом текущей ситуации. Сталкиваюсь с тем, что второй протезист отказывается распиливать коронки Говорят, вкладки массивные и стенки довольно тонкие, боятся в процессе сломать корни. Но я вроде бы не прошу ломом выдрать вкладки, только снять коронки. Отказываются! Говорят "ходи так пока сами не расцементируются"! А, если оно 10 лет еще не расцементируется? Подскажите, я прошу действительного невозможного? Металлокерамику разве нельзя распилить и заменить, не выдирая вкладки при этом? На снимках орто и (простите это максимум, как я могу раззявить рот и моей камеры), но думаю, примерно понятно, где ушла десна и почему хочу это все снять. Спереди все нормально, карманы только сзади. Изменено 25 декабря, 2015 пользователем Yashika Ссылка на комментарий
red_butler Опубликовано 25 декабря, 2015 Поделиться Опубликовано 25 декабря, 2015 Металлокерамику разве нельзя распилить и заменить, не выдирая вкладки при этом? можно Ссылка на комментарий
Yashika Опубликовано 25 декабря, 2015 Автор Поделиться Опубликовано 25 декабря, 2015 можно То есть данная работа не является чем-то ювелирным, мне просто попадаются странные врачи или нужно искать каких-то особенных условий и использование особенных аппаратов? Ссылка на комментарий
red_butler Опубликовано 25 декабря, 2015 Поделиться Опубликовано 25 декабря, 2015 То есть данная работа не является чем-то ювелирным конечно ювелирная, конечно есть риски Ссылка на комментарий
Yashika Опубликовано 25 декабря, 2015 Автор Поделиться Опубликовано 25 декабря, 2015 конечно ювелирная, конечно есть риски Теперь понятнее. Читала на форуме про аппараты, применяющие для расцементировки ультразвук, они в данной ситуации помогут, или напротив - усугубят, или процесс не имеет значения, и главное руки и опыт доктора? Ссылка на комментарий
red_butler Опубликовано 25 декабря, 2015 Поделиться Опубликовано 25 декабря, 2015 Читала на форуме про аппараты, применяющие для расцементировки ультразвук они не нужны, коронки распилят главное руки и опыт доктора? да 1 Ссылка на комментарий
horoshie.veshi Опубликовано 25 декабря, 2015 Поделиться Опубликовано 25 декабря, 2015 (изменено) Низкий поклон за советы. Очень в тему. Изменено 25 декабря, 2015 пользователем horoshie.veshi Ссылка на комментарий
Yashika Опубликовано 25 декабря, 2015 Автор Поделиться Опубликовано 25 декабря, 2015 они не нужны, коронки распилят да Спасибо! Буду искать. Ссылка на комментарий
Larnary Опубликовано 25 декабря, 2015 Поделиться Опубликовано 25 декабря, 2015 Конечно можно распилить.и если сделать это аккуратно,то вкладки не пострадают...или минимально Ссылка на комментарий
Рекомендуемые сообщения
Для публикации сообщений создайте учётную запись или авторизуйтесь
Вы должны быть пользователем, чтобы оставить комментарий
Создать аккаунт
Зарегистрируйте новый аккаунт в нашем сообществе. Это очень просто!
Регистрация нового пользователяВойти
Уже есть аккаунт? Войти в систему.
Войти