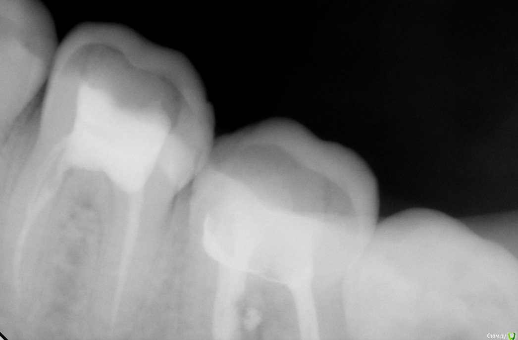
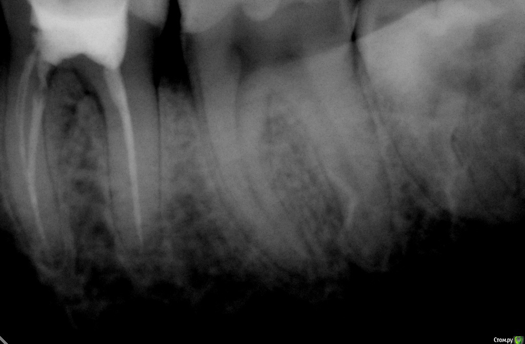
Jea Опубликовано 24 декабря, 2015 Поделиться Опубликовано 24 декабря, 2015 Добрый день! Помогите разобраться в сложившейся ситуации. Очень нужна оценка проведенного лечения сторонним экспертом. Хронология событий: 07.11 - первичный прием. Жалобы: ноющая боль в 7м левом нижнем зубе, носящая периодический характер, усиливающаяся в ночное время. Реакции на горячее/холодное, кислое/сладкое не было. Установленный диагноз: пульпит. Проведенные манипуляции: удаление нервов. 14.11- Пломбировка каналов. 21.11 - установка постоянной пломбы. 20.12 - повторное обращение по проведенному раннее лечению. Жалобы: боль после лечения не проходящая в течении месяца (нояющая, усиливающаяся в ночное время, при надкусывании). Есть левой стороной я не могла. Диагноз: воспалительный процесс в зубе. Манипуляции: распломбировка каналов, закладка лекарства, временная пломба. В течение 2х дней сильные постпломбировочные боли. Вечером 22.12 опухла десна. 23.12 прием по осложнениям после лечения, в ходе которого выяснилось, что во время распломбировки каналов зуб треснул и внесенное в канал лекарство вылилось в десну. Предложенный план лечения: удаление+ имплантация. Необходима оценка качества проведенного лечения и прогноз на дальнейшее лечение зуба. Прикрепляю все снимки, сделанные в ходе лечения. Благодарю! Ссылка на комментарий
chervoncevdaniil Опубликовано 24 декабря, 2015 Поделиться Опубликовано 24 декабря, 2015 Так а что оценивать,если зуб уже треснул?Удалять и рассматривать варианты протезирования,имплантация,которую вам предложили-оптимальный вариант Ссылка на комментарий
Jea Опубликовано 24 декабря, 2015 Автор Поделиться Опубликовано 24 декабря, 2015 Мне надо понять, зуб треснул в результате некачественного лечения? А также действительно ли он треснул (видно ли это на снимках)? Необходима ли была распломбировка каналов? КАк вообще были запломбированы каналы? Ссылка на комментарий
St. Опубликовано 24 декабря, 2015 Поделиться Опубликовано 24 декабря, 2015 А также действительно ли он треснул (видно ли это на снимках)? Да, похоже на то. Ссылка на комментарий
Бендер Опубликовано 25 декабря, 2015 Поделиться Опубликовано 25 декабря, 2015 Зуб не жилец, к сожалению Ссылка на комментарий
Jea Опубликовано 25 декабря, 2015 Автор Поделиться Опубликовано 25 декабря, 2015 Господа эксперты! Благодарю вас за мнение по поводу дальнейшей судьбы зубы. Возможно из солидарности вы не можете оценить качество проведенного лечение, но мне это очень необходимо в дальнейшем взаимодействии с клиникой. Т.к. вылечить пульпит это одни деньги, а установить имплант совсем другие. Не говоря о том ужасе, что мне предстоит испытать в ходе лечения. Поэтому мне очень важно понимать были ли допущены врачами (пломбировал один, а распломбировывал другой) ошибки,в результате которых я потеряла зуб. Если - да, то какие именно? Ссылка на комментарий
red_butler Опубликовано 25 декабря, 2015 Поделиться Опубликовано 25 декабря, 2015 Уважаемая Jea. Мы не имеем права давать какие либо экспертные заключения, цели форума иные. Если вопросов кроме кто виноват нет, тему закрою. 1 Ссылка на комментарий
Jea Опубликовано 25 декабря, 2015 Автор Поделиться Опубликовано 25 декабря, 2015 Да, вопросы есть. Как скоро мне необходимо удалить зуб? Ещё вчера? Или могу заняться эти вопросом после праздников? А также по поводу соседней 6ки. Надо ли перелечивать каналы? Если да, то что ставить: пломбу или коронку? Ссылка на комментарий
red_butler Опубликовано 25 декабря, 2015 Поделиться Опубликовано 25 декабря, 2015 Как скоро мне необходимо удалить зуб? если в настоящее время зуб не беспокоит, то отложите решение на после праздников. В Вашем случае возможна одномоментная имплантация. А также по поводу соседней 6ки. Надо ли перелечивать каналы? Если да, то что ставить: пломбу или коронку? как минимум нужна ревизия корневых каналов и в дальнейшем коронка. 1 Ссылка на комментарий
Jea Опубликовано 25 декабря, 2015 Автор Поделиться Опубликовано 25 декабря, 2015 Благодарю за ответы! 1 Ссылка на комментарий
Рекомендуемые сообщения
Для публикации сообщений создайте учётную запись или авторизуйтесь
Вы должны быть пользователем, чтобы оставить комментарий
Создать аккаунт
Зарегистрируйте новый аккаунт в нашем сообществе. Это очень просто!
Регистрация нового пользователяВойти
Уже есть аккаунт? Войти в систему.
Войти