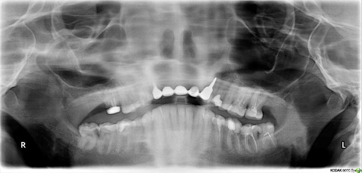
Yashika Опубликовано 22 декабря, 2015 Поделиться Опубликовано 22 декабря, 2015 Добрый вечер.Имею горемычный 6-й справа зуб - давнишнюю жертву советской карательной стоматологии. Депульпирован тысячу лет назад, позже пытались одеть коронку, но пришлось снять и вывести из прикуса - начал давать боли при нажатии. Пытались перелечить, оказалось, что каналы два (по-моему) канала залиты стеклоцементом, пройти не смогли ничем. Сейчас стал сплошным кариесом. Фото прилагаю. После нового года пойду удалять, потом - имплантация. Хирург говорит, удаление грозит сложное. В одной клинике предлагает в процессе удаления применение сгустка PRP, якобы данный метод позволит в будущем избежать необходимость синус-лифтинга над этим зубом и сократит время от удаления до установки импланта. Но цена за удаление зуба в этом случае возрастает до 1/4 стоимости всего имплантирования "под ключ", хотя, разумеется, это значительно меньше, чем проводить синус-лифтинг. Сориентируйте пожалуйста, действительно ли этот путь оптимален и сколь велик шанс, что заплатив за удаление 10 тысяч, мне потом все равно придется делать еще и синус ? Огромное спасибо заранее! 16.bmp Ссылка на комментарий
IvanK Опубликовано 23 декабря, 2015 Поделиться Опубликовано 23 декабря, 2015 Пазуха высоко, возможно и после стандартного удаления ничего не потребуется 2 Ссылка на комментарий
Yashika Опубликовано 23 декабря, 2015 Автор Поделиться Опубликовано 23 декабря, 2015 IvanKОгромное спасибо за мнение. Если не сложно, скажите имеет ли смысл до удаления сделать КТ сегмента зуба и пазухи или все равно это не даст точного ответа сейчас и при удалении не поможет? Ссылка на комментарий
IvanK Опубликовано 23 декабря, 2015 Поделиться Опубликовано 23 декабря, 2015 Я бы не делал Обратите внимания и на др зубы Ссылка на комментарий
Yashika Опубликовано 23 декабря, 2015 Автор Поделиться Опубликовано 23 декабря, 2015 (изменено) IvanK:Прохожу полную санацию сейчас (к сожалению, плохие зубы у меня генетически, у матушки к 50 была уже вставная челюсть, у батюшки - еще хуже), 5 передних (лишилась 25 лет назад в аварии) со временем тоже перейдет на импланты, и пока не понятна ситуация с 6 и 7 нижними слева, скорее всего, через пару лет тоже под имплантацию. С коронками ситуация сложная, почему-то очень быстро после постановки рецессирует десна, придесневые пломбы-виниры принимаются лучше.То есть, поверьте, у стоматолога я, как на работе, идет постоянный процесс Пытаюсь подружиться с ирригатором, но десны пока реагируют болезненно и сопротивляются. Гигиена, кальций, добавки, все присутствует, ногтями уже асфальт могу снимать, а вот зубы как-то не улучшаются...У парадонтолога бываю, ничего криминального не видят, назначают чистки и т.п., что особенно ситуации не меняет.Хочу поменять переднюю металлокерамику (на задней поверхности образовались карманы и подкравливает десна), так никто не берется снимать даже распиливая, говорят на опорных массивные вкладки, стенки тонкие, риск сломать корни, живите так пока не расцементируется (или, видимо не отвалится с корнями) Вот живу... Это будет моя первая имплантация, хочу начать с минимума, чтобы понять, чего ждать от своего организма со всеми его кракозябрами при следующих, видимо, уже не единичных... Изменено 23 декабря, 2015 пользователем Yashika Ссылка на комментарий
Рекомендуемые сообщения
Для публикации сообщений создайте учётную запись или авторизуйтесь
Вы должны быть пользователем, чтобы оставить комментарий
Создать аккаунт
Зарегистрируйте новый аккаунт в нашем сообществе. Это очень просто!
Регистрация нового пользователяВойти
Уже есть аккаунт? Войти в систему.
Войти