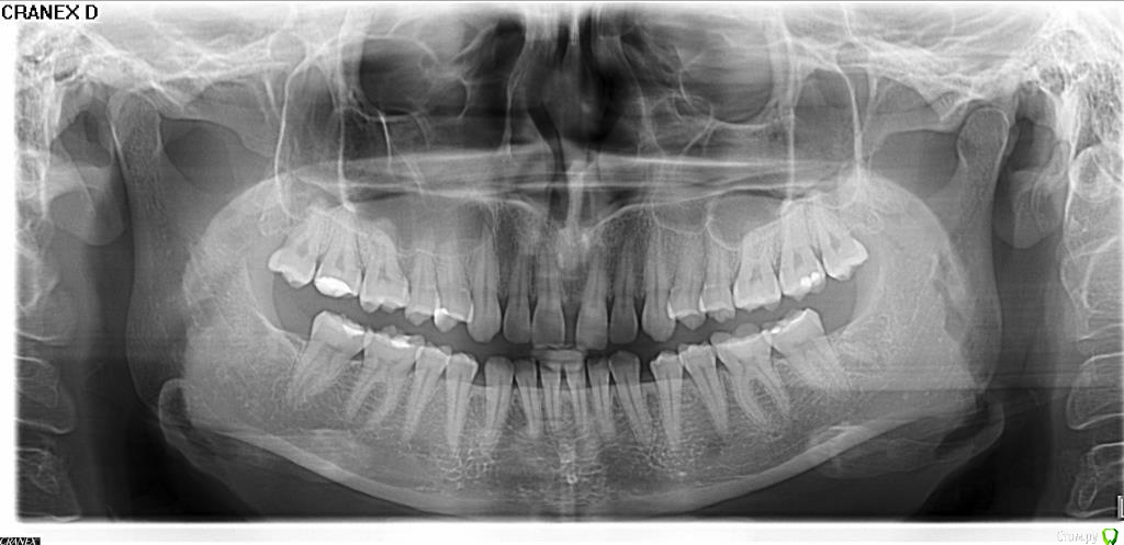
Elena85 Опубликовано 22 декабря, 2015 Поделиться Опубликовано 22 декабря, 2015 Добрый вечер. Уважаемые врачи, подскажите, что это может быть и к какому специалисту мне нужно обратиться.У меня после родов и удаления нижних 8-ок (с двух сторон) появилась сильная боль в десне, после еды твердой или волокнистой пищи. Не могу вообще есть мясо, рыбу, яблоки. Если попадает пища между 7 и 8 зубами вверху (с двух сторон), то идет резкая боль, как-будто клин между зубами вставили и раздвигают их, после прочистки зубов зубной нитью, боль становится еще острее, потом через некоторое время боль становится пульсирующей и сохраняется несколько дней. После еды твердой пищи боль распространяется по всей челюсти, кроме передних зубов. Нижние зубы тоже начинают болеть в этой же области, т.е.7-ки, а потом боль так же идет по всей челюсти. Обращалась к стоматологу - говорит, что с зубами все в порядке, только в 8-ах есть небольшие дырочки, но они не могут давать такую боль. По панорамному снимку - тоже все в порядке, но боль есть и никуда не уходит. Бывает, что даже КЕТАНОВ не помогает. Ссылка на комментарий
Бендер Опубликовано 23 декабря, 2015 Поделиться Опубликовано 23 декабря, 2015 Удалите верхние восьмерки 1 Ссылка на комментарий
Elena85 Опубликовано 23 декабря, 2015 Автор Поделиться Опубликовано 23 декабря, 2015 Удалите верхние восьмеркиА в чем может быть причина данной боли? Лишаться хороших зубов тоже не очень хочется. Спасибо. Ссылка на комментарий
shishok Опубликовано 23 декабря, 2015 Поделиться Опубликовано 23 декабря, 2015 Лишаться хороших зубов тоже не очень хочется. Смысла их сохранять нет:в жевании они не участвуют(нет нижних 8х) и будут смещаться вниз на свободное от восьмёрок место. Ссылка на комментарий
Рекомендуемые сообщения
Для публикации сообщений создайте учётную запись или авторизуйтесь
Вы должны быть пользователем, чтобы оставить комментарий
Создать аккаунт
Зарегистрируйте новый аккаунт в нашем сообществе. Это очень просто!
Регистрация нового пользователяВойти
Уже есть аккаунт? Войти в систему.
Войти