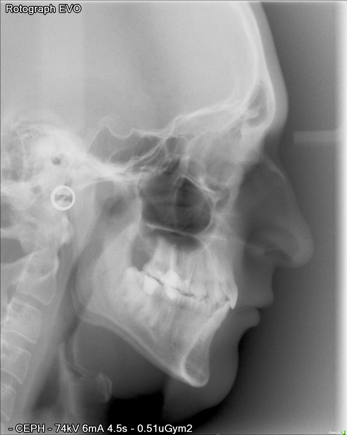
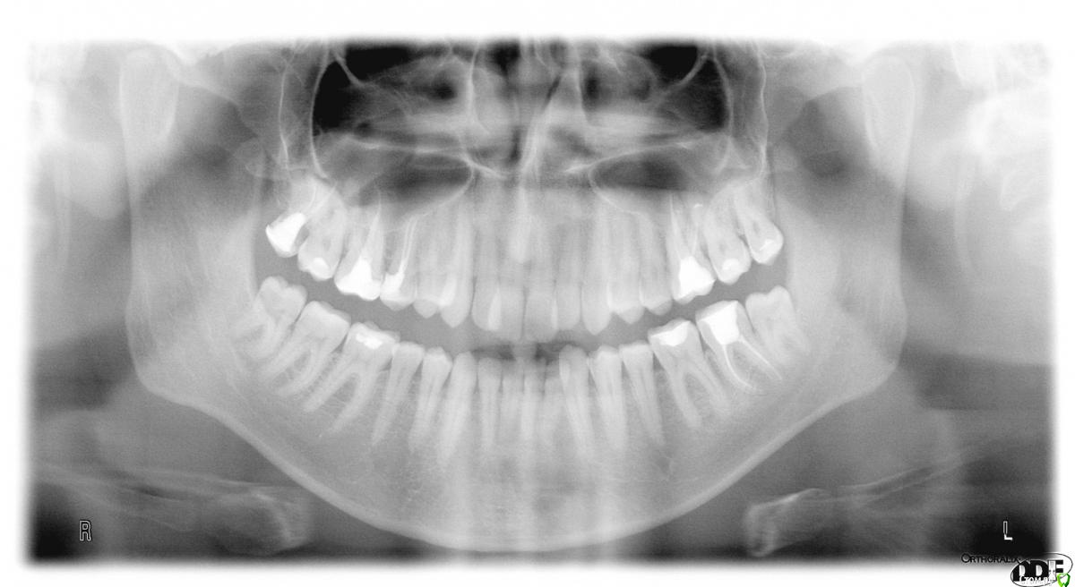
lc_ Опубликовано 22 декабря, 2015 Поделиться Опубликовано 22 декабря, 2015 (изменено) Здравствуйте, эксперты! Мне 27 лет, достаточно давно стоматологи советуют мне обратиться за ортодонтическим лечением. Аргументы приводятся в основном не в силу косметических соображений. 3 года назад я даже было согласился и удалил 2 верхние "восьмерки" (предложением было удалить все 4), но дело до конца не довел. После очередного посещения терапевта, вопрос снова был поднят. Итак, хочу обратиться за консультацией к независимым экспертам: стоит ли устанавливать брекет-систему? Ограничиться просто удалением оставшихся "восьмерок"? Не предпринимать никакие действия и дальше жить спокойно? Спасибо! P.S.Все фото не влезли. Поэтому боковые снимки:http://s020.radikal.ru/i709/1512/be/b7122505b8b3t.jpghttp://s011.radikal.ru/i318/1512/a3/27f5404deddct.jpghttp://s018.radikal.ru/i525/1512/c5/1e3523662a9at.jpghttp://s019.radikal.ru/i634/1512/b7/7bb11e619334t.jpghttp://s015.radikal.ru/i331/1512/45/4e6d94c5b833t.jpg Изменено 22 декабря, 2015 пользователем lc_ Ссылка на комментарий
Yana guapa Опубликовано 22 декабря, 2015 Поделиться Опубликовано 22 декабря, 2015 То, что у Вас неправильный прикус , Вы и так знаете и всегда знали. Но стимулировать лечение, если у Вас нет жалоб и ярого желания , никто не может. С неправильным прикусом живут миллионы людей. Но врачи всех не лечат. Пациента берут на лечение , если у него есть жалобы и огромное желание лечиться (и , конечно, финансовая возможность, куда без этого). так что решать только Вам Ссылка на комментарий
lc_ Опубликовано 22 декабря, 2015 Автор Поделиться Опубликовано 22 декабря, 2015 То, что у Вас неправильный прикус , Вы и так знаете и всегда знали. Но стимулировать лечение, если у Вас нет жалоб и ярого желания , никто не может. С неправильным прикусом живут миллионы людей. Но врачи всех не лечат. Пациента берут на лечение , если у него есть жалобы и огромное желание лечиться (и , конечно, финансовая возможность, куда без этого). так что решать только Вам То есть Вы считаете, что криминала нет? Зубы не расшатаются и челюсть намертво не заклинит во время сна? Ссылка на комментарий
Yana guapa Опубликовано 22 декабря, 2015 Поделиться Опубликовано 22 декабря, 2015 То есть Вы считаете, что криминала нет? Зубы не расшатаются и челюсть намертво не заклинит во время сна?после пройденного лечения Вам все равно никто не даст стопроц. гарантий)) п.с. почему во время сна???))))) Ссылка на комментарий
lc_ Опубликовано 22 декабря, 2015 Автор Поделиться Опубликовано 22 декабря, 2015 (изменено) после пройденного лечения Вам все равно никто не даст стопроц. гарантий)) п.с. почему во время сна???))))) Это одна из используемых страшилок. И, Яна, я бы все-таки хотел уточнить - криминала нет? Вы так ловко отшутились Я понимаю, что никто гарантий не даст. Хотя за такие бабки можно было бы и с гарантиями ) Изменено 22 декабря, 2015 пользователем lc_ Ссылка на комментарий
IvanK Опубликовано 23 декабря, 2015 Поделиться Опубликовано 23 декабря, 2015 Решать Вам) 8ки я бы удалил + Консультация ортопеда о протезировании депульпированных зубов Ссылка на комментарий
lc_ Опубликовано 26 декабря, 2015 Автор Поделиться Опубликовано 26 декабря, 2015 Ап. Ссылка на комментарий
Рекомендуемые сообщения
Для публикации сообщений создайте учётную запись или авторизуйтесь
Вы должны быть пользователем, чтобы оставить комментарий
Создать аккаунт
Зарегистрируйте новый аккаунт в нашем сообществе. Это очень просто!
Регистрация нового пользователяВойти
Уже есть аккаунт? Войти в систему.
Войти