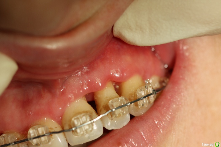
Nazim_NV86 Опубликовано 22 декабря, 2015 Поделиться Опубликовано 22 декабря, 2015 Пациентка доктор. Обратилась с целью "нарастить десну". Молодая. Соматика в норме. Очень жду советов от профи. Ссылка на комментарий
Евгений Ходыкин Опубликовано 22 декабря, 2015 Поделиться Опубликовано 22 декабря, 2015 Сама врач и такая гигиена... Ссылка на комментарий
Dc.Petrov Опубликовано 22 декабря, 2015 Поделиться Опубликовано 22 декабря, 2015 Я б такой вариант рассмотрел:ортовыдвижение( тем более уже брекеты)удалениеимплантация+ нкр+мягкотканка 2 Ссылка на комментарий
Polly1102 Опубликовано 22 декабря, 2015 Поделиться Опубликовано 22 декабря, 2015 Кюретаж и эмдогейн попробовать можно. Только предупредить что кость 2 года растет. Но после снятия брекетов. Ссылка на комментарий
alekszander Опубликовано 22 декабря, 2015 Поделиться Опубликовано 22 декабря, 2015 Я б на выход с последующей имплантацией. Ссылка на комментарий
syrovovec Опубликовано 22 декабря, 2015 Поделиться Опубликовано 22 декабря, 2015 Только мягкими тканями не обойтись.... Ссылка на комментарий
Nazim_NV86 Опубликовано 23 декабря, 2015 Автор Поделиться Опубликовано 23 декабря, 2015 Только мягкими тканями не обойтись....Первый раз сделан открытый кюретаж, очистка корней 21-23, ксено в межзубные промежутки, PRF. Уровень десны там же. Ссылка на комментарий
faity Опубликовано 23 декабря, 2015 Поделиться Опубликовано 23 декабря, 2015 Я бы сделал как Петров предложил, большая потеря кости уже есть, со временем только хуже будет Ссылка на комментарий
red_butler Опубликовано 23 декабря, 2015 Поделиться Опубликовано 23 декабря, 2015 и все остальные зубы смотрите, сдается мне не только с этим такая проблема Ссылка на комментарий
Nazim_NV86 Опубликовано 24 декабря, 2015 Автор Поделиться Опубликовано 24 декабря, 2015 и все остальные зубы смотрите, сдается мне не только с этим такая проблемаЕсть ещё парочка похожих. Хотим попробовать лоскут на ножке с нёба + мобилиз. вестибулярно + графт под aprf. Удаление с нкр как последний вариант уже. Ссылка на комментарий
Доктор Дмитрий Опубликовано 26 декабря, 2015 Поделиться Опубликовано 26 декабря, 2015 Каждый раз когда вы обнажаете кость ,вы запускает процесс резорбции,связочный аппарат вы все равно не восстановите ,+1 за предыдущую методику. Ссылка на комментарий
syrovovec Опубликовано 26 декабря, 2015 Поделиться Опубликовано 26 декабря, 2015 Хотим попробовать лоскут на ножке с нёба + мобилиз. вестибулярно + графт под aprf.. Дохлый номер... 3 Ссылка на комментарий
Рекомендуемые сообщения
Для публикации сообщений создайте учётную запись или авторизуйтесь
Вы должны быть пользователем, чтобы оставить комментарий
Создать аккаунт
Зарегистрируйте новый аккаунт в нашем сообществе. Это очень просто!
Регистрация нового пользователяВойти
Уже есть аккаунт? Войти в систему.
Войти