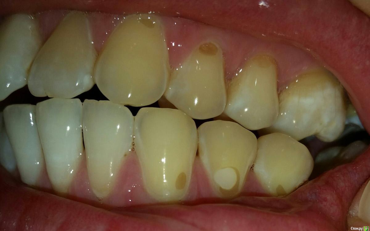
HankMoody Опубликовано 21 декабря, 2015 Поделиться Опубликовано 21 декабря, 2015 Около недели назад, при читске зубов, появилась резкая боль, раньше такое бывало, но очень редко. Сегодня подешел к зеркалу, и увидел, такое. Что это? Раньше такого не было, а если и было, то не 6 штук, как на фото. Завтра пойду к врачу. Почему аж на 6 зубах за несколько дней такое появилось? Ссылка на комментарий
HankMoody Опубликовано 21 декабря, 2015 Автор Поделиться Опубликовано 21 декабря, 2015 Ссылка на комментарий
DmitrySH Опубликовано 21 декабря, 2015 Поделиться Опубликовано 21 декабря, 2015 Да нет, появились они у вас давно, просто внимания не обращали.Причин много: основная, скорее всего, связана с перегрузкой данной группы зубов из-за проблем с прикусом.т.к. в жевательном отделе у вас возникли сложности, то вы активно жуете зубами, которые для этого менее предназначены. 3 Ссылка на комментарий
St. Опубликовано 21 декабря, 2015 Поделиться Опубликовано 21 декабря, 2015 Это, грубо говоря, выкрошилась часть эмали зуба. Само собой произошло это не вчера и даже не месяц назад. Про возможные причины Вам уже написали выше. 1 Ссылка на комментарий
diesel87 Опубликовано 21 декабря, 2015 Поделиться Опубликовано 21 декабря, 2015 Возможно стоит сменить методику чистки зубов 2 Ссылка на комментарий
HankMoody Опубликовано 22 декабря, 2015 Автор Поделиться Опубликовано 22 декабря, 2015 Спасибо большое всем за ответы. А как теперь от этого избавиться? Ссылка на комментарий
IvanK Опубликовано 22 декабря, 2015 Поделиться Опубликовано 22 декабря, 2015 сходить к терапевту на консультацию Ссылка на комментарий
Рекомендуемые сообщения
Для публикации сообщений создайте учётную запись или авторизуйтесь
Вы должны быть пользователем, чтобы оставить комментарий
Создать аккаунт
Зарегистрируйте новый аккаунт в нашем сообществе. Это очень просто!
Регистрация нового пользователяВойти
Уже есть аккаунт? Войти в систему.
Войти