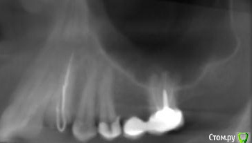
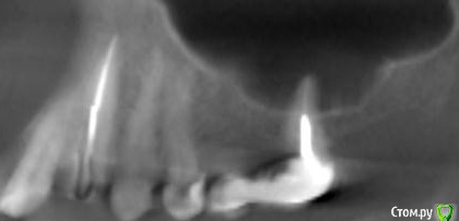
platerx Опубликовано 21 декабря, 2015 Поделиться Опубликовано 21 декабря, 2015 (изменено) Всем доброго времени суток.У меня есть пара вопросов: 1. Что можно сделать с зубом 2.7 История зуба такова:Зуб был сильно разрушен, но мне предложили попробовать пролечить его. Прочистили каналы, я некоторое время ходил с лекарством в зубе. Затем запломбировали каналы и поставили вкладку и коронку (консоль). Это было 2,5 года назад.С тех пор зуб меня иногда немного беспокоил, вызывая некоторый дискомфорт, но я не сильно обращал внимание. В последнее время он стал беспокоить сильнее: время от времени вызывает тянущие и распирающие ощущения, которые усиливаются при нажатии. Слегка побаливает десна и небо с внутренней стороны. Периодически ощущения пропадают. Прикладываю срезы КТ этого зуба. Что можно сделать с этим зубом ? Можно ли извлечь вкладку и перелечить каналы ? 2. При депульпировании зуба 2.4 врач не промывал каналы гипохлоритом (только хлоргексидином), после чего запломбировал их. Это нормально или стоит переделать? На зубе сейчас временная пломба, по прошествии 6 дней зуб не беспокоит. При постукивании есть небольшие неприятные ощущения. Изменено 21 декабря, 2015 пользователем platerx Ссылка на комментарий
DmitrySH Опубликовано 21 декабря, 2015 Поделиться Опубликовано 21 декабря, 2015 Добрый вечер.27. Есть очаг воспаления на одном из корней. Нужно снять коронку, оценить объём тканей. Если все ок, то извлечение вкладки и ревизия каналов.24. Сложно дать однозначный ответ. После выяснения ситуации с 27 планировать имплантацию в области 26 или 26, 27 (если с 27 все плохо) Ссылка на комментарий
St. Опубликовано 21 декабря, 2015 Поделиться Опубликовано 21 декабря, 2015 (изменено) Консоль не есть хорошо, тем боле на жевательных зубах. Это приводит к перегрузке.Кмк, на будущее стоит задуматься о смене конструкции в этой области. Изменено 21 декабря, 2015 пользователем St. Ссылка на комментарий
Гарриевич Опубликовано 22 декабря, 2015 Поделиться Опубликовано 22 декабря, 2015 Скинте ссылку на КТ полную Ссылка на комментарий
platerx Опубликовано 22 декабря, 2015 Автор Поделиться Опубликовано 22 декабря, 2015 Скинул ссылку на КТ в личку Ссылка на комментарий
Рекомендуемые сообщения
Для публикации сообщений создайте учётную запись или авторизуйтесь
Вы должны быть пользователем, чтобы оставить комментарий
Создать аккаунт
Зарегистрируйте новый аккаунт в нашем сообществе. Это очень просто!
Регистрация нового пользователяВойти
Уже есть аккаунт? Войти в систему.
Войти