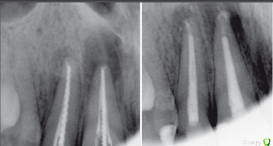
Slaggy Опубликовано 21 декабря, 2015 Поделиться Опубликовано 21 декабря, 2015 Было 06/2015 2 недели - кальций, Апекс- триоксидент, дальше латералка Акросил.Стало 12/2015 Жалоб не предъявляет.Сделать резекцию или пусть живет? Ссылка на комментарий
Fibez Опубликовано 21 декабря, 2015 Поделиться Опубликовано 21 декабря, 2015 Ждите еще полгода. Если не покатит- резекция с ретроградкой. На одном, вроде, улучшение видно. Ссылка на комментарий
Ker Опубликовано 21 декабря, 2015 Поделиться Опубликовано 21 декабря, 2015 имхо - не трогать пока.на обоих стало лучше.если не станет, то перелечить попробовать еще раз. Ссылка на комментарий
red_butler Опубликовано 21 декабря, 2015 Поделиться Опубликовано 21 декабря, 2015 У пациента жалобы есть? Я бы пока не трогал. Ссылка на комментарий
Чертков Александр Опубликовано 22 декабря, 2015 Поделиться Опубликовано 22 декабря, 2015 Видно же явные улучшения! Подождите! ...а то нетерпиться за нож схватиться... Ссылка на комментарий
Doctor Vlad Опубликовано 22 декабря, 2015 Поделиться Опубликовано 22 декабря, 2015 Яб не резал в этом случае. улучшение на лицо! структура кости прослеживаетса в дефекте.. вопрос: если резать доступ кто какой бы делал.. полулунный в области дефекта или по уздечке и сосочкам лоскут? Ссылка на комментарий
kladoffka Опубликовано 22 декабря, 2015 Поделиться Опубликовано 22 декабря, 2015 Я полулунные разрезы давно забросил, что-то не тянет к ним. Лучше по сосочкам да и отслоится пошире. 1 Ссылка на комментарий
Doctor Vlad Опубликовано 22 декабря, 2015 Поделиться Опубликовано 22 декабря, 2015 наверняка есть причины откидывать лоскут поширу в эпоху микрохирургии? в чем преимущество лоскута по сосочкам? не пострадают ли соски, не нарушитса зубодесневое соединение, не останетса рубца от послабляющего разреза? Я полулунные разрезы давно забросил, что-то не тянет к ним. Лучше по сосочкам да и отслоится пошире. Ссылка на комментарий
Acidrocker Опубликовано 22 декабря, 2015 Поделиться Опубликовано 22 декабря, 2015 наверняка есть причины откидывать лоскут поширу в эпоху микрохирургии? в чем преимущество лоскута по сосочкам? не пострадают ли соски, не нарушитса зубодесневое соединение, не останетса рубца от послабляющего разреза? Преимущество в отсутствии рубцов. Вертикальный можно сделать по уздечке, там рубца видно не будет.От полулунного точно будет рубец и уменьшится преддверие. С сосками нужно обращаться нежно, тогда не пострадают. 1 Ссылка на комментарий
Doctor Vlad Опубликовано 22 декабря, 2015 Поделиться Опубликовано 22 декабря, 2015 По уздечке это да! а дистально послабляющий или по сосочкам продлить и без второго разреза? Ссылка на комментарий
Acidrocker Опубликовано 22 декабря, 2015 Поделиться Опубликовано 22 декабря, 2015 По уздечке это да! а дистально послабляющий или по сосочкам продлить и без второго разреза? Нет, без дистального, просто на 2-3 зуба продлить. 2 Ссылка на комментарий
ПалСаныч Опубликовано 22 декабря, 2015 Поделиться Опубликовано 22 декабря, 2015 Так так! Очень интересно! Коллеги прошу ваши мнения насчет разреза. Намедни был спор с коллегами по работе относительно методики разреза. Очень интересно ваше мнение)) Ссылка на комментарий
Fibez Опубликовано 22 декабря, 2015 Поделиться Опубликовано 22 декабря, 2015 по сосочкам Ссылка на комментарий
Slaggy Опубликовано 24 декабря, 2015 Автор Поделиться Опубликовано 24 декабря, 2015 Ясно, коллегиально порешили - "пущай побегает". Про разрез - в подобном случае сделал бы небольшой горизонтальный (1-1.5 см) разрез коронарнее окна 2-3 мм - легко ушивается, минимальная отслойка и отек, заживает мгновенно, не уменьшает количество прикрепленки, шрам незаметен. Ссылка на комментарий
Doctor Vlad Опубликовано 24 декабря, 2015 Поделиться Опубликовано 24 декабря, 2015 Хмм) мнения разделились! Ссылка на комментарий
Nazim_NV86 Опубликовано 25 декабря, 2015 Поделиться Опубликовано 25 декабря, 2015 Преимущество в отсутствии рубцов. Вертикальный можно сделать по уздечке, там рубца видно не будет.От полулунного точно будет рубец и уменьшится преддверие. С сосками нужно обращаться нежно, тогда не пострадают.Двумя руками за последнее предложение )))))) 1 Ссылка на комментарий
Гарриевич Опубликовано 3 января, 2016 Поделиться Опубликовано 3 января, 2016 Было 06/2015 2 недели - кальций, Апекс- триоксидент, дальше латералка Акросил.Стало 12/2015 Жалоб не предъявляет.Сделать резекцию или пусть живет?Коллега, 6 месяцев это только первый пик заживления, на нем может вообще не быть улучшения или оно может быть незначительным. По совести окончательное решение healing/healed/fail принимается спустя 4! года. Но даже если никакой, ни положительной, ни отрицательной динамики не будет, но при этом зуб будет бессимптомный, то он признается "functional" и живет спокойно без никаких резекций 4 Ссылка на комментарий
Рекомендуемые сообщения
Для публикации сообщений создайте учётную запись или авторизуйтесь
Вы должны быть пользователем, чтобы оставить комментарий
Создать аккаунт
Зарегистрируйте новый аккаунт в нашем сообществе. Это очень просто!
Регистрация нового пользователяВойти
Уже есть аккаунт? Войти в систему.
Войти