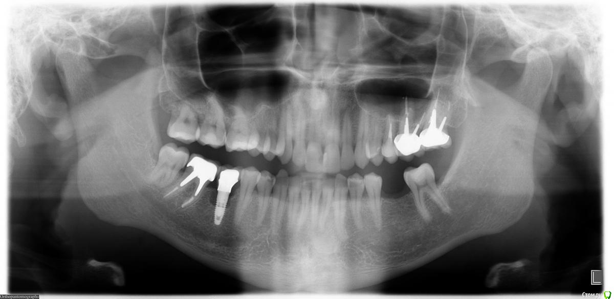
stoma Опубликовано 21 декабря, 2015 Поделиться Опубликовано 21 декабря, 2015 Добрый день!Возник периимплантит в установленном ~ 6 лет назад импланте.Сейчас слегка отечна десна около него (это и был повод обращения в клинику).Снимок прикрепляю.Врач предложил 2 варианта - лечить (чистка + подсыпка костного мат-ла или удалять, а через 6-8 мес. заново ставить).Как быть? Ссылка на комментарий
stoma Опубликовано 21 декабря, 2015 Автор Поделиться Опубликовано 21 декабря, 2015 Снимок Ссылка на комментарий
diesel87 Опубликовано 21 декабря, 2015 Поделиться Опубликовано 21 декабря, 2015 Я бы удалил, половина высоты кости потеряна, лечение не факт что даст долгосрочного положительного результата. Можно и через 4-6 мес повторно поставить. 1 Ссылка на комментарий
red_butler Опубликовано 21 декабря, 2015 Поделиться Опубликовано 21 декабря, 2015 +1 за удаление 1 Ссылка на комментарий
faity Опубликовано 21 декабря, 2015 Поделиться Опубликовано 21 декабря, 2015 #ябудалила если бы вы срезы КТ дали, то может и сразу заимплантировал Ссылка на комментарий
Карен Аванесов Опубликовано 21 декабря, 2015 Поделиться Опубликовано 21 декабря, 2015 Сделайте попытку сохранить. Ссылка на комментарий
stoma Опубликовано 21 декабря, 2015 Автор Поделиться Опубликовано 21 декабря, 2015 Спасибо за ответы!Буду удалять.А после удаления нужны ли какие-то дополнительные процедуры, направленные на восстановление костной ткани и снятие воспаления? Антибиотики или костный материал. Или просто зашьют и ждать? Ссылка на комментарий
red_butler Опубликовано 22 декабря, 2015 Поделиться Опубликовано 22 декабря, 2015 А после удаления нужны ли какие-то дополнительные процедуры, направленные на восстановление костной ткани и снятие воспаления? Антибиотики или костный материал. Или просто зашьют и ждать? для ответов на эти вопросы одной ОПГ не достаточно. Ссылка на комментарий
diesel87 Опубликовано 22 декабря, 2015 Поделиться Опубликовано 22 декабря, 2015 На кт имплант фонить скорее всего будет и не будет чётко видно стенки кости, чаще всего удаляется имплант, все выбирается, и лунка заживает как после удаления. Так же много зависит от мануальных навыков и предпочтений вашего доктора. Ссылка на комментарий
Bier Опубликовано 22 декабря, 2015 Поделиться Опубликовано 22 декабря, 2015 я бы попробовал сохранить. Коронку в любом случае снимать надо. 1 Ссылка на комментарий
IvanK Опубликовано 22 декабря, 2015 Поделиться Опубликовано 22 декабря, 2015 я бы попробовал сохранить. Коронку в любом случае снимать надо.+1 Ссылка на комментарий
Рекомендуемые сообщения
Для публикации сообщений создайте учётную запись или авторизуйтесь
Вы должны быть пользователем, чтобы оставить комментарий
Создать аккаунт
Зарегистрируйте новый аккаунт в нашем сообществе. Это очень просто!
Регистрация нового пользователяВойти
Уже есть аккаунт? Войти в систему.
Войти