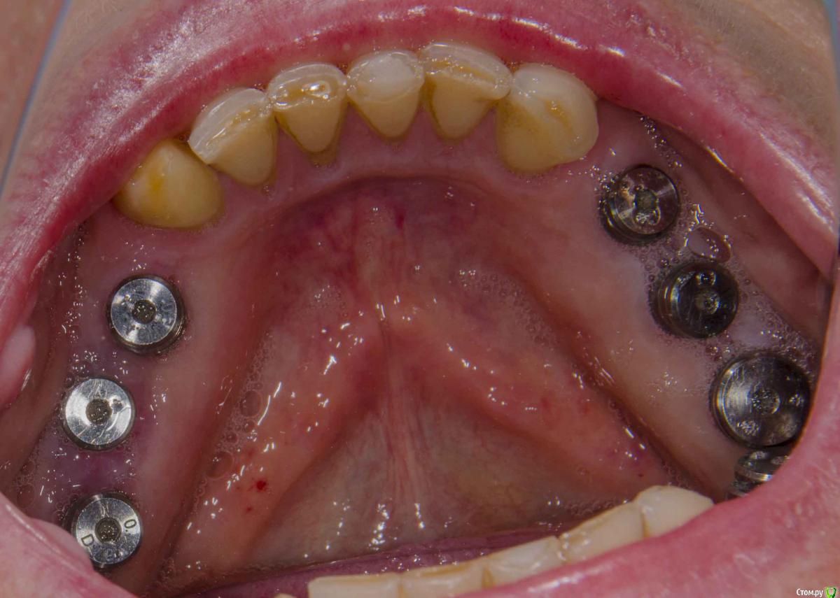
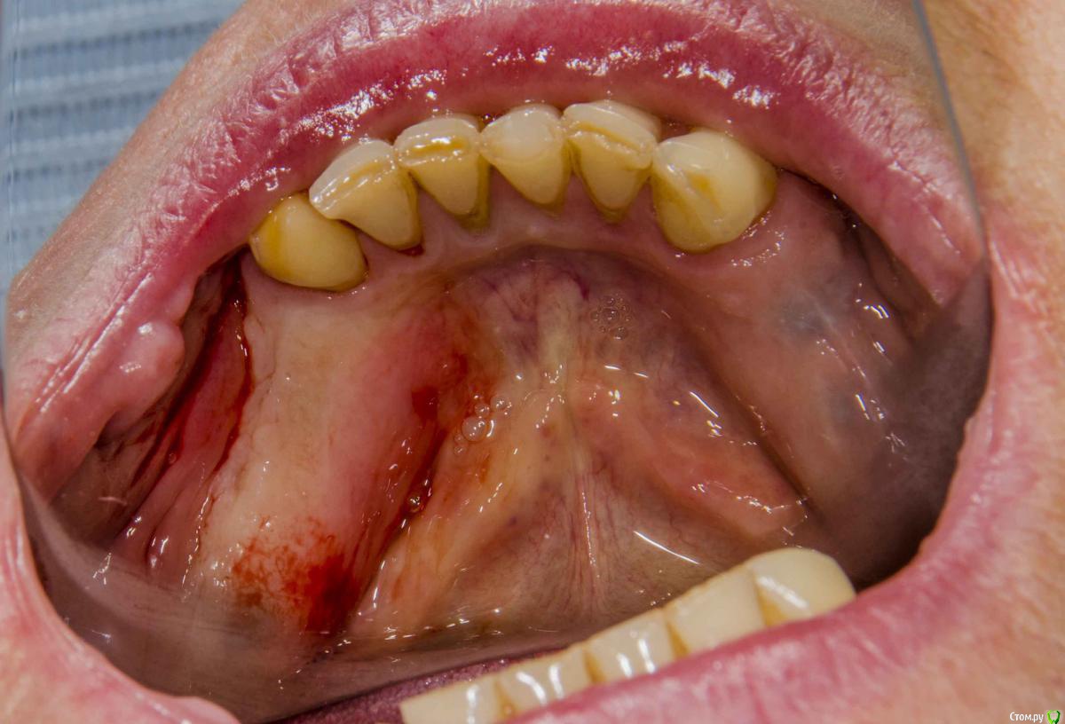
kamranchick Опубликовано 20 декабря, 2015 Поделиться Опубликовано 20 декабря, 2015 (изменено) Добрый день уважаемые форумчане, с наступающим друзья.хотелось бы спросить у Вас, частенько на этапе раскрытия сталкиваюсь с непонятными моментами, а именно, на НЧ иногда когда ушиваю рану получается вот так какая картинатам где не зашивали, картина выглядет более лучше чем там где зашивали)1 этап осмотр через 5 дней. и снятие швов2 этап осмотр через 2 неделиИзвините за качество фото, не умею фотографировать, вскоре этот недуг будет исправлен.Как Вы раскрываете имплантаты если они стоят рядом? точечно или как то по другому?ps работа была произведена давно, теперь там далеко от зубов не отступаю) Изменено 20 декабря, 2015 пользователем kamranchick Ссылка на комментарий
Евгений Ходыкин Опубликовано 20 декабря, 2015 Поделиться Опубликовано 20 декабря, 2015 Формики огромные... 2 Ссылка на комментарий
faity Опубликовано 20 декабря, 2015 Поделиться Опубликовано 20 декабря, 2015 вопрос: а зачем вообще были нужны такие большие разрезы? Ссылка на комментарий
kamranchick Опубликовано 20 декабря, 2015 Автор Поделиться Опубликовано 20 декабря, 2015 ну вроде как увеличить КПД, ну и то что рядом стоят они, удобнее... Ссылка на комментарий
Доктор Хаус Опубликовано 20 декабря, 2015 Поделиться Опубликовано 20 декабря, 2015 По фото , где вы зашили лоскут, вы наложили шов так что нарушили питание вестибулярного лоскута . Лоскут ишемизировалься и начал умирать , шов должен только удерживать лоскут так чтобы он не шевелился. И не забывайте о кровяном сгустке . Ссылка на комментарий
Доктор Хаус Опубликовано 20 декабря, 2015 Поделиться Опубликовано 20 декабря, 2015 http://s013.radikal.ru/i323/1512/ff/87db06c2730a.png Ссылка на комментарий
Fake personage Опубликовано 20 декабря, 2015 Поделиться Опубликовано 20 декабря, 2015 (изменено) Соглашусь с предыдущим оратором."Задушил" лоскут.Ниточку потоньше ,точку вкола повыше)И по поводу фдм соглашусь тоже Изменено 20 декабря, 2015 пользователем Fake personage Ссылка на комментарий
алекс 100 Опубликовано 20 декабря, 2015 Поделиться Опубликовано 20 декабря, 2015 Не страшно,эпителий опять выростет да и все. Ссылка на комментарий
andrey_1965 Опубликовано 21 декабря, 2015 Поделиться Опубликовано 21 декабря, 2015 Нормальные фото,что надо- то видно.После раскрытия пробуйте полулунно сделать вырез под формирователи-будете меньше тянуть для сближения.Опять же вырезки можно при необходимости пристроить. Для закрытия "встык" без мобилизации в какой-то степени не обойтись.Конечно, хочется чуть ли не сосочки сразу чтоб.Кто ж не хочет.Не переживайте,на временных доформируете-все будет симпатично.Успехов! 1 Ссылка на комментарий
Acidrocker Опубликовано 22 декабря, 2015 Поделиться Опубликовано 22 декабря, 2015 все дело в крестообразных швах, между точками вкола получилась хорошая зона ишемии. Ссылка на комментарий
kamranchick Опубликовано 22 декабря, 2015 Автор Поделиться Опубликовано 22 декабря, 2015 (изменено) А какими швами рекомендуете фиксировать лоскуты?в Соседней ветке Карэн тоже узловые наложил)) либо дело в толщине. Изменено 22 декабря, 2015 пользователем kamranchick Ссылка на комментарий
andrey_1965 Опубликовано 22 декабря, 2015 Поделиться Опубликовано 22 декабря, 2015 А какими швами рекомендуете фиксировать лоскуты?в Соседней ветке Карэн тоже узловые наложил)) либо дело в толщине.Дело не столько в типе шва,сколько в рефлекторном желании свести " встык",неизбежен "перетяг" при установки ФДМ таких размеров.Если так непреодолимо стремление к абсолюту- то что мешает бережно поискать заглушки трансгивгивально,затем стандартный формирователь-расширяющий формирователь-временная коронка?Сложно,кто б спорил,зато прикрепление цело и шить не надо. Ссылка на комментарий
Acidrocker Опубликовано 22 декабря, 2015 Поделиться Опубликовано 22 декабря, 2015 А какими швами рекомендуете фиксировать лоскуты?в Соседней ветке Карэн тоже узловые наложил)) либо дело в толщине.Обычными узловыми. Если матрасные - то точки вкола и выкола должны быть максимально близко друг к другу. Ссылка на комментарий
Рекомендуемые сообщения
Для публикации сообщений создайте учётную запись или авторизуйтесь
Вы должны быть пользователем, чтобы оставить комментарий
Создать аккаунт
Зарегистрируйте новый аккаунт в нашем сообществе. Это очень просто!
Регистрация нового пользователяВойти
Уже есть аккаунт? Войти в систему.
Войти