Перейти к содержанию
Стоматология для всех

Помогите. Ставят диагноз ВНЧС


Елена260581

Рекомендуемые сообщения

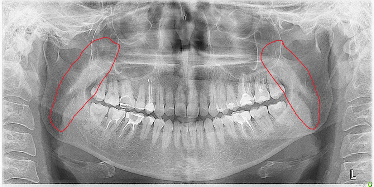
После лечения жевательных зубов на нижней и верхней челюсти начался дискомфорт в прикусе. Врач подшлифовал пломбы, начались боли в мышцах. Попробывал завысить, стало еще хуже. Через месяц начались щелчки с левой стороны, боли усиливались в районе жевательных мышц. Пробывали капы, результатов не давало. Сейчас не могу ни переживать толком еду, спать вообще не удобно. челюсть в обычном положении зафиксировать не могу, жевательных мышц совсем не чувсвую,разговаривать тоже не удобно, слюну ковтать трудно.Сильно напряжены мышцы возле носа, сзади головы и шеи, раслабить никак не могу. Начались сильные головные боли, боли в шее, в левой лопатке.  Сделали мрт шейного отдела, показало деформация шейного отдела и грыжи. Стоматологи говорят что это из-за прикуса. К кому обратиться помогите,Есть фотография до лечения, прикрепляю.

post-45926-0-61065000-1450524849_thumb.jpg

post-45926-0-04640100-1450524856_thumb.jpg

post-45926-0-14328900-1450524864_thumb.jpg

post-45926-0-04372200-1450524880_thumb.jpg

post-45926-0-41576700-1450525116_thumb.jpg

post-45926-0-96303400-1450525206_thumb.jpg

post-45926-0-65325100-1450525251_thumb.jpg

post-45926-0-21890800-1450525256_thumb.jpg

post-45926-0-01641800-1450525264_thumb.jpg

post-45926-0-54282500-1450525269_thumb.jpg

post-45926-0-84665300-1450525477_thumb.jpg

Ссылка на комментарий

Добрый день.

 

КТ даёт лишь информацию относительно костных структур сустава, а хотелось бы увидеть что там со связками, но для этого нужно МРТ. Со стороны костных структур я не увидел каких-то критических изменений, за исключением может быть ремоделирования суставных поверхностей.

 

У Вас видимо проблемы не только в шейном отделе. Шейный отдел позвоночника является последней территорией, на которой возникают компенсаторные дисфункции в ответ на нижележащие повреждения (таз). Такие же компенсаторные дисфункции возникают и в области ВНЧС. Появление новых завышенных пломб в области зубов нарушило годами сложившееся равновесие.

Ссылка на комментарий

Для публикации сообщений создайте учётную запись или авторизуйтесь

Вы должны быть пользователем, чтобы оставить комментарий

Создать аккаунт

Зарегистрируйте новый аккаунт в нашем сообществе. Это очень просто!

Регистрация нового пользователя

Войти

Уже есть аккаунт? Войти в систему.

Войти
×
×
  • Создать...
Вверх