bozz903 Опубликовано 19 декабря, 2015 Поделиться Опубликовано 19 декабря, 2015 Ныл периодически 16-ый зуб в течении 3-х лет. Месяц назад пошел к врачу. Прочистили каналы, положили лекарство на несколько дней, потом гуттаперча и пломбировка. Вчера выпил немного холодного молока и зуб начал ныть. Не до конца прочистили каналы? Ссылка на комментарий
DmitrySH Опубликовано 19 декабря, 2015 Поделиться Опубликовано 19 декабря, 2015 На холод не должен реагировать, скорее соседние зубы. 1 Ссылка на комментарий
bozz903 Опубликовано 19 декабря, 2015 Автор Поделиться Опубликовано 19 декабря, 2015 На холод не должен реагировать, скорее соседние зубы.Кау узнать точно? Сделать КТ? Ссылка на комментарий
red_butler Опубликовано 19 декабря, 2015 Поделиться Опубликовано 19 декабря, 2015 Кау узнать точно? нужен очный осмотр 1 Ссылка на комментарий
bozz903 Опубликовано 21 декабря, 2015 Автор Поделиться Опубликовано 21 декабря, 2015 При постукивании болит именно 16. Как я понял, периодонтит - не гарантированное лечение. Лечил в достаточно дорогой клинике. Получается для перелечивания мне нужно будет опять платить за те же самые процедуры? Ссылка на комментарий
St. Опубликовано 21 декабря, 2015 Поделиться Опубликовано 21 декабря, 2015 (изменено) Так Вы определитесь - как болит и при каких условиях. Сам по себе, от холодного-горячего или когда что-то твердое на зуб попадает?И ещё вопрос - после лечения каналов в итоге сейчас там временная или постоянная пломба или коронка? Изменено 21 декабря, 2015 пользователем St. 1 Ссылка на комментарий
bozz903 Опубликовано 22 декабря, 2015 Автор Поделиться Опубликовано 22 декабря, 2015 Так Вы определитесь - как болит и при каких условиях. Сам по себе, от холодного-горячего или когда что-то твердое на зуб попадает?И ещё вопрос - после лечения каналов в итоге сейчас там временная или постоянная пломба или коронка?Болеть начинает от холодного. У меня спрашивали может это соседний зуб болит, но нет - когда болит можно постучать по нему и есть ощущение, что болит именно он. Поставили постоянную световую пломбу. Ссылка на комментарий
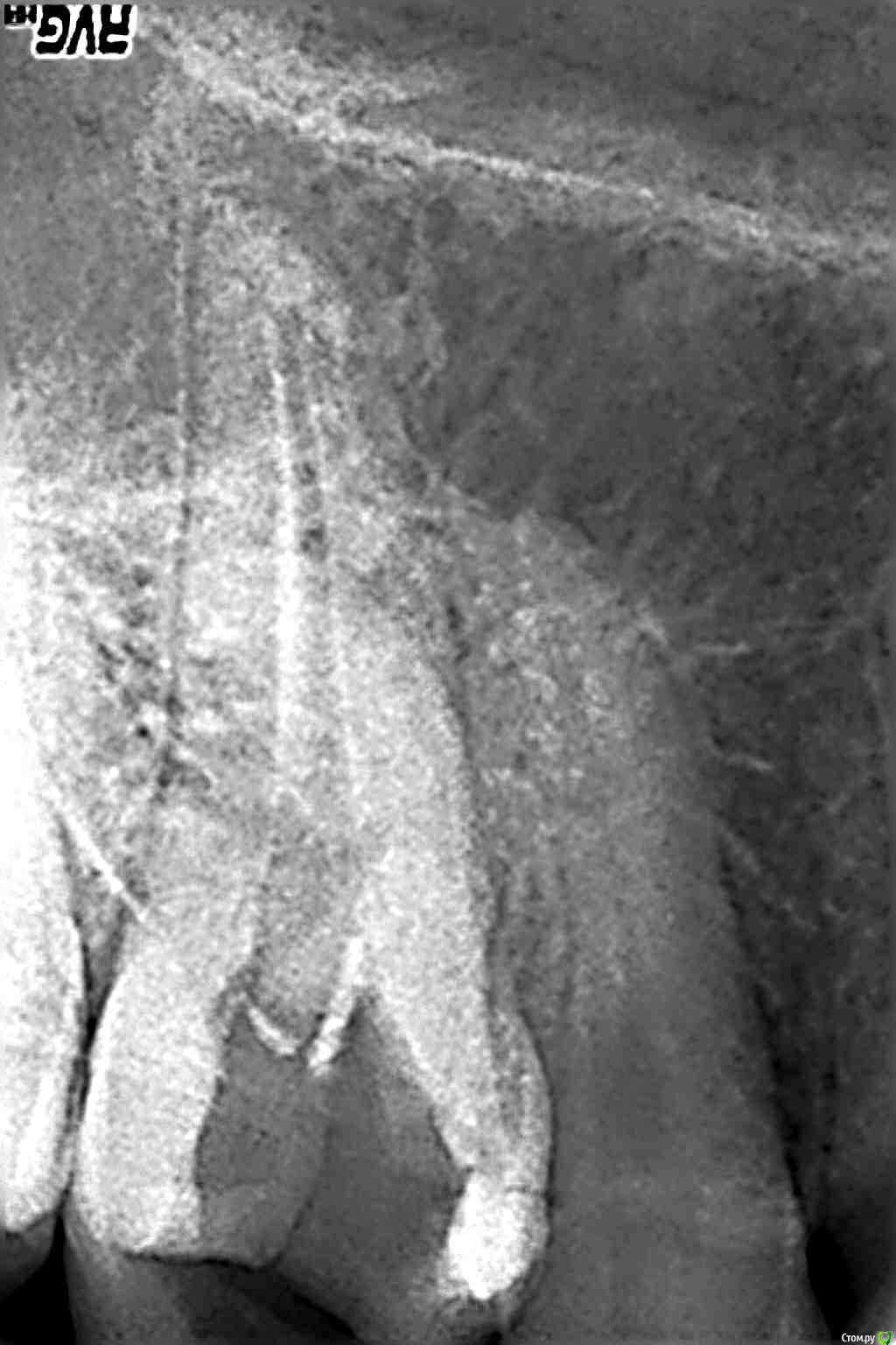
St. Опубликовано 22 декабря, 2015 Поделиться Опубликовано 22 декабря, 2015 От холодного зуб без нервов болеть не может - если нерва нет, то реагировать там на холод и тепло нечему. При постукивании и накусывании после недавнего лечения каналов какое-то время может оставаться чувствительность, обычно до 2 недель, но бывает немного дольше, это нормально.По Вашему снимку я бы рекомендовала обязательно и в ближайшем будущем удалить зуб мудрости внизу справа, полечить кариес в 34(следующий за клыком внизу слева). И когда зуб перестанет реагировать на постукивание - одеть на него коронку и обсудить необходимость коронок на другие боковые зубы без нервов. 1 Ссылка на комментарий
bozz903 Опубликовано 24 декабря, 2015 Автор Поделиться Опубликовано 24 декабря, 2015 (изменено) Месяц назад у меня как раз обострился периодонтит от холодного арбуза, я думаю что возможно какой-то канал так до конца мне и не прочистили. Вииду того, что стоимость лечения равнялась половине средней з/п в нашем регионе, хотелось бы убедится как-то в качестве лечения пока не прошло много времени, тем более насторожили неоднократные попытки врача "получить контакт" апекс-локатором перед наложением гуттаперчи. И да, на мои жалобы о непрекращающейся боли врач хотел заняться 15 зубом. Изменено 24 декабря, 2015 пользователем bozz903 Ссылка на комментарий
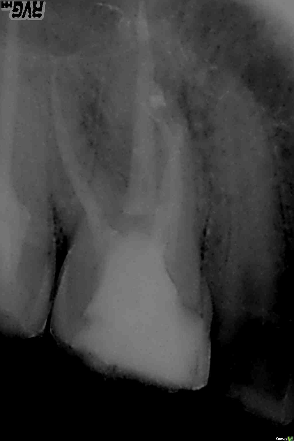
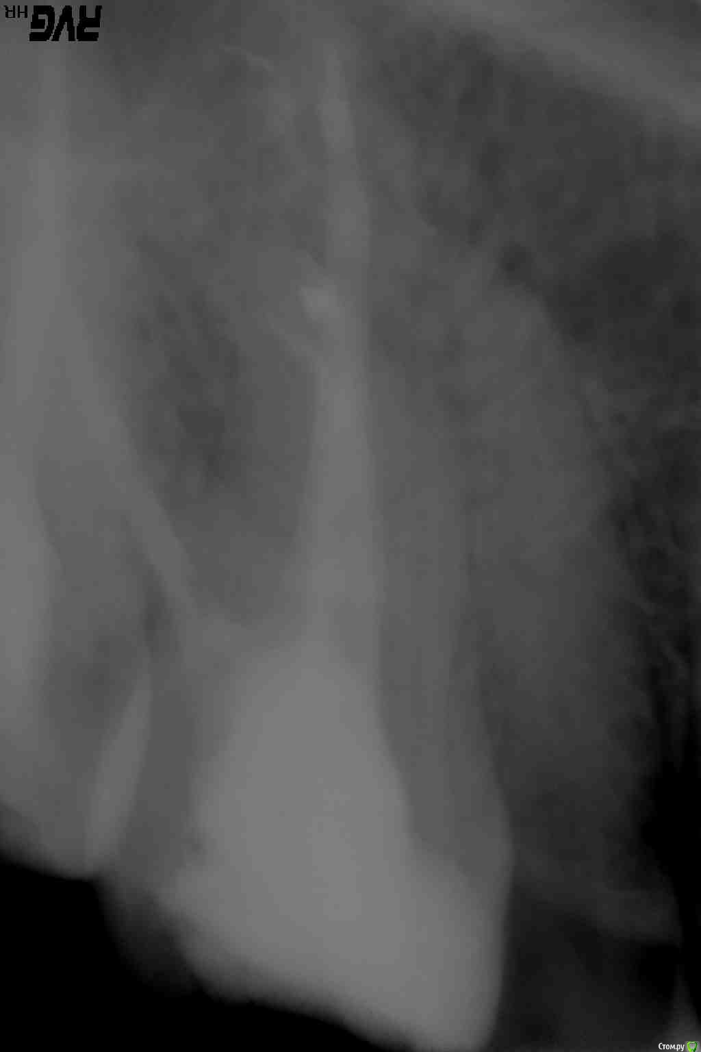
bozz903 Опубликовано 19 марта, 2016 Автор Поделиться Опубликовано 19 марта, 2016 Здравствуйте. С наступлением весны все тот же 16 зуб стал реагировать на температуру очень сильно. Также ноет сам по себе периодически. Боль не похожа на гиперчувствительность эмали.Сделал новые снимки. Что нибудь можно сказать по сравнение с теми, которые прикреплены в первом моем сообщении? Ссылка на комментарий
DmitrySH Опубликовано 19 марта, 2016 Поделиться Опубликовано 19 марта, 2016 (изменено) Низкая информативность снимков. Даже на ОПТГ качество лучше Изменено 19 марта, 2016 пользователем DmitrySH Ссылка на комментарий
Рекомендуемые сообщения
Для публикации сообщений создайте учётную запись или авторизуйтесь
Вы должны быть пользователем, чтобы оставить комментарий
Создать аккаунт
Зарегистрируйте новый аккаунт в нашем сообществе. Это очень просто!
Регистрация нового пользователяВойти
Уже есть аккаунт? Войти в систему.
Войти