ceti Опубликовано 18 декабря, 2015 Поделиться Опубликовано 18 декабря, 2015 Здравствуйте! Зуб 37 с недавнего времени стал безпокоить, ощущается дискомфорт, тянущие ощущения в районе скулы. На осмотре доктор обнаружил паталогический карман через который отделяется гной или серозная жидкость. Сделали КТ: Полностью, вся томограмма: https://drive.google.com/open?id=0BwAD98i97KuPbUpFdGcxeXRNMjg Предыдущий КТ (февраль этого года): https://drive.google.com/open?id=0BwAD98i97KuPflhOam1lTzJsTkhBNFNVdUFmb3lHWWJ3Rll2Z1BTVDUteURyNTNUdElSems Насколько я понимаю, в феврале проблемы не было вообще, либо она была незначительна. Зуб несколько раз травмировался -- во время еды попадал твердый предмет, достаточно неприятное чувство. Вероятно, вследствие этого на жевательной поверхности появился скол пломбы, место скола чувствительно к прикосновению зондом. Также (возможно это важно) намного ранее было сильное воспаление связанное с соседним 8-ым зубом. Тоже был обширный карман, эту 8-ку удалили лет пятнадцать назад. Еще, полгода назад было проведено перелечивание каналов соседнего 36 зуба. Посоветуйте пожалуйста стоит ли пытаться лечить этот зуб или лучше его удалить. На консультации мне предложили такую последовательность действий: 1) Эндодонтия под микроскопом2) Кюретаж (вероятно открытый)3) Остеопластика4) Плазмалифтинг Есть ли смысл пробовать и насколько велики шансы на успех? Если зуб нужно удалять, то насколько срочно. Еще, соседний зуб 36 имеет воспаление у верхушки корня соседнего с 37, есть ли риск его задеть при удалении 37-го зуба? Заранее благодарю за ответ. Ссылка на комментарий
shishok Опубликовано 19 декабря, 2015 Поделиться Опубликовано 19 декабря, 2015 Я за удаление. 2 Ссылка на комментарий
red_butler Опубликовано 19 декабря, 2015 Поделиться Опубликовано 19 декабря, 2015 что то похоже на последствия трещины корня.+ 1 за удаление 1 1 Ссылка на комментарий
Гарриевич Опубликовано 19 декабря, 2015 Поделиться Опубликовано 19 декабря, 2015 Для точного диагноза мало данныхКакой ширины карман?Какого цвета десна вокруг зуба?Есть ли боль при накусывании или наоборот при разжимании челюстей? Ссылка на комментарий
ceti Опубликовано 19 декабря, 2015 Автор Поделиться Опубликовано 19 декабря, 2015 Для точного диагноза мало данныхКакой ширины карман?Какого цвета десна вокруг зуба?Есть ли боль при накусывании или наоборот при разжимании челюстей?Карман не очень большой, точный размер назвать затрудняюсь. О его существовании узнал только от доктора по результатам осмотра -- он проник в него зондом. Пища в него не забивается. Десна розового цвета. Боль при накусывании бывает, но в определенных случаях -- вероятно когда нагрузка распределяется на дистальный корень, точнее сказать не могу, к сожалению.При разжимании челюстей боли нет. Еще, примерно неделю назад вокруг зуба появился небольшой отек, который прошел через несколько дней. Возможно существуют какие-то специальные диагностические тесты для определения наличия трещины? Накусочные пробы? Какие еще обследования есть смысл пройти? Или сразу идти на удаление? Благодарю заранее за ответ. Ссылка на комментарий
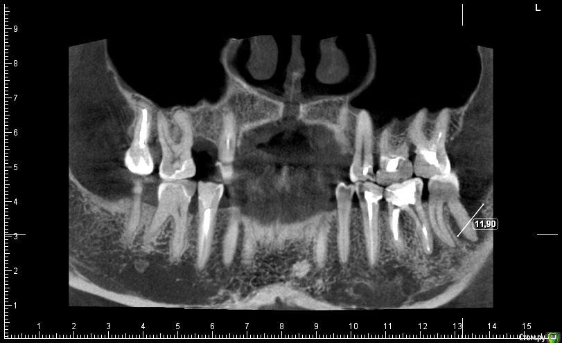
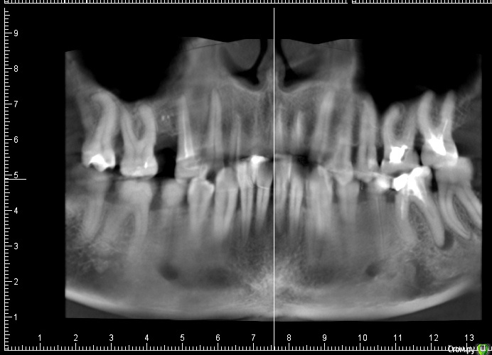
ceti Опубликовано 21 декабря, 2015 Автор Поделиться Опубликовано 21 декабря, 2015 Здравствуйте! По результатам очного осмотра доктор исключил трещину и предположил парадонтальную проблему. Есть какое-то объяснение, что могло послужить причиной и почему процесс так быстро прогрессировал? Ниже фрагмент КТ, который был сделан в феврале этого года и свежий снимок: Заранее благодарю. Ссылка на комментарий
Рекомендуемые сообщения
Для публикации сообщений создайте учётную запись или авторизуйтесь
Вы должны быть пользователем, чтобы оставить комментарий
Создать аккаунт
Зарегистрируйте новый аккаунт в нашем сообществе. Это очень просто!
Регистрация нового пользователяВойти
Уже есть аккаунт? Войти в систему.
Войти