zharpha Опубликовано 17 декабря, 2015 Поделиться Опубликовано 17 декабря, 2015 Здравствуйте! оправдана ли рекомендация установить коронки из оксида циркония для коренных зубов? имеют ли такие коронки недостатки при установке на жевательной части? Ссылка на комментарий
red_butler Опубликовано 17 декабря, 2015 Поделиться Опубликовано 17 декабря, 2015 Здравствуйте! оправдана ли рекомендация установить коронки из оксида циркония для коренных зубов? имеют ли такие коронки недостатки при установке на жевательной части? Если финансовая возможность есть - делайте. 1 Ссылка на комментарий
Карен Аванесов Опубликовано 17 декабря, 2015 Поделиться Опубликовано 17 декабря, 2015 Только на эндо добавить тоже надо. Ссылка на комментарий
zharpha Опубликовано 18 декабря, 2015 Автор Поделиться Опубликовано 18 декабря, 2015 Только на эндо добавить тоже надо.Карен, а можно перефразировать? что нужно? коронки планируются на нижней челюсти на пятерках, и на одной шестерке. вторая уже под коронкой пыжится Ссылка на комментарий
zharpha Опубликовано 18 декабря, 2015 Автор Поделиться Опубликовано 18 декабря, 2015 Если финансовая возможность есть - делайте.в клинике, где я наблюдаюсь, они стоят даже немного дешевле металлокерамики. а в другой, в которую ходила до этого, металлокерамика в три раза дешевле, чем цирконий. я запуталась и решила просто выбрать материал понадежней. Ссылка на комментарий
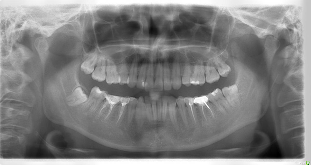
Карен Аванесов Опубликовано 18 декабря, 2015 Поделиться Опубликовано 18 декабря, 2015 Могу ошибаться, по снимкам не гомогенно запломбированы каналы (похоже временной пастой) надо им уделить внимание. Ссылка на комментарий
zharpha Опубликовано 19 января, 2016 Автор Поделиться Опубликовано 19 января, 2016 Могу ошибаться, по снимкам не гомогенно запломбированы каналы (похоже временной пастой) надо им уделить внимание.делали прицельные снимки, которые добыть не удалось, к сожалению. с каналами все нормально. 35 зарос десной, пока я ходила с времянками, меняла их раза 4 уже. умудрилась проплатить уже 50% по программе определенного врача, и никак не могла к нему попасть. месяц точно уже, из-за отпусков, моих командировок и общих каникул. теперь направил меня на удлинение по поводу 35. пробовал отодвигать десну, нет, говорит, не получится сделать качественный слепок.существуют ли какие-нибудь негативные последствия после удлинения? соседний зуб под коронкой, с той стороны, где у 35 отсутствует стенка. после удлинения врач еще собирается мне убирать кариес, который успел как-то нарасти за это время. как могла десна подползти под временную пломбу? Ссылка на комментарий
Рекомендуемые сообщения
Для публикации сообщений создайте учётную запись или авторизуйтесь
Вы должны быть пользователем, чтобы оставить комментарий
Создать аккаунт
Зарегистрируйте новый аккаунт в нашем сообществе. Это очень просто!
Регистрация нового пользователяВойти
Уже есть аккаунт? Войти в систему.
Войти