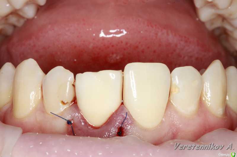
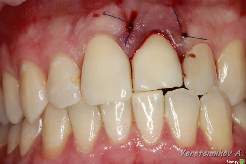
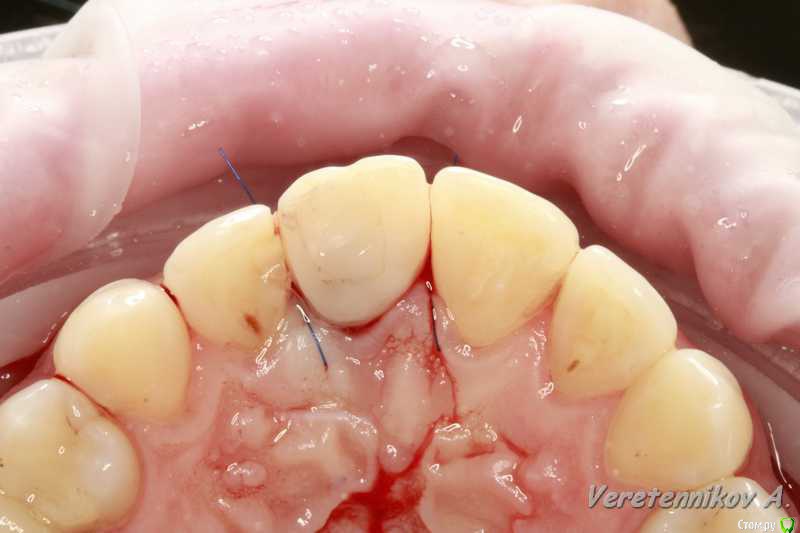
an_ver Опубликовано 15 декабря, 2015 Поделиться Опубликовано 15 декабря, 2015 Травма 21, немного сместился,удаление,имплантация SPI 4.2*13,ГенОсс+ ауто со сверла,для временной коронки использован свой зуб)),немного укоротили реж.край,чтоб не травмировать,унифлекс 5/0 18 Ссылка на комментарий
Заурбек Опубликовано 15 декабря, 2015 Поделиться Опубликовано 15 декабря, 2015 Спасибо за кейс. Скажите пожалуйста,что за абатмент использовали? Можете фото скинуть или в каталоге указать? Наверное это в ортопедическом отделе надо спрашивать)) Но можете рассказать,как сделали временную конструкцию. И еще вопрос: на альфа био с какого диаметра возможно переключение платформ? Ссылка на комментарий
Доктор Хаус Опубликовано 15 декабря, 2015 Поделиться Опубликовано 15 декабря, 2015 Вроде в каталоге такого нет Ссылка на комментарий
Чертков Александр Опубликовано 16 декабря, 2015 Поделиться Опубликовано 16 декабря, 2015 что за абатмент использовали? Абатмент для временной реставрации, в каталоге Альфы их 2 разновидности: с шестигранником и круглый. Каталожные номера 5200 и 5220...Андрей, извини... 2 Ссылка на комментарий
an_ver Опубликовано 16 декабря, 2015 Автор Поделиться Опубликовано 16 декабря, 2015 (изменено) Спасибо за кейс. Скажите пожалуйста,что за абатмент использовали? Можете фото скинуть или в каталоге указать? Наверное это в ортопедическом отделе надо спрашивать)) Но можете рассказать,как сделали временную конструкцию. И еще вопрос: на альфа био с какого диаметра возможно переключение платформ?Переключение на Альфе с 4,2,абатмент по каталогу 5200, временную-свой зуб.Позже напишу,много хитростей колхозных)),начиная что плотформу надо пилить)) Изменено 16 декабря, 2015 пользователем an_ver 1 Ссылка на комментарий
an_ver Опубликовано 16 декабря, 2015 Автор Поделиться Опубликовано 16 декабря, 2015 Абатмент для временной реставрации, в каталоге Альфы их 2 разновидности: с шестигранником и круглый. Каталожные номера 5200 и 5220...Андрей, извини... Норм.,коллективный разум))) Ссылка на комментарий
diesel87 Опубликовано 16 декабря, 2015 Поделиться Опубликовано 16 декабря, 2015 Переключение на Альфе с 4,2,абатмент по каталогу 5200, временную-свой зуб.Позже напишу,много хитростей колхозных)),начиная что плотформу надо пилить))Давай хитрости!) Ссылка на комментарий
an_ver Опубликовано 16 декабря, 2015 Автор Поделиться Опубликовано 16 декабря, 2015 Давай хитрости!)Нетерпеливый какой)) Ссылка на комментарий
TemTeam Опубликовано 17 декабря, 2015 Поделиться Опубликовано 17 декабря, 2015 Хитрости в студию!!! ПОЖАЛУЙСТА Ссылка на комментарий
an_ver Опубликовано 17 декабря, 2015 Автор Поделиться Опубликовано 17 декабря, 2015 Перед имплантацией снимаете слепок,в слепок втыкаете бор от прямого,слепок промазываете изолятном,у меня гламур))) водорастворимая из интим магазина,заливаете Люксатемп,достаете,расширяете отверстие от бора,для вр.абатмента,затем базой от слепочного,делаете модель со слепка,ставите туда зуб,жидкотекучим его соединяете с режущими\жевательными поверхностями и вот готов шаблон,потом отрезаете крылышки эти и вот вам временная коронка на абатменте.Можно проще сделать,если зуба нет...использовать гарнитурный и его в полости рта приколхозить сперва. Все это с хир.этапами у Дмитрия Никитюка выложено...я давно уже так делаю..у него фотки красивые)) 3 Ссылка на комментарий
Aquarius Опубликовано 17 декабря, 2015 Поделиться Опубликовано 17 декабря, 2015 Поделитесь, где у Дмитрия выложено? Ссылка на комментарий
an_ver Опубликовано 17 декабря, 2015 Автор Поделиться Опубликовано 17 декабря, 2015 Эт искать надо..сорри времени нет Ссылка на комментарий
syrovovec Опубликовано 17 декабря, 2015 Поделиться Опубликовано 17 декабря, 2015 http://forum.stom.ru/topic/27680-nemedlenno-nagruzilpodsmotreno-u-dnikitiuka/Тему Дмитрия не нашел, но тут все тоже хорошо понятно 1 Ссылка на комментарий
Рекомендуемые сообщения
Для публикации сообщений создайте учётную запись или авторизуйтесь
Вы должны быть пользователем, чтобы оставить комментарий
Создать аккаунт
Зарегистрируйте новый аккаунт в нашем сообществе. Это очень просто!
Регистрация нового пользователяВойти
Уже есть аккаунт? Войти в систему.
Войти