insomnia-x Опубликовано 13 декабря, 2015 Поделиться Опубликовано 13 декабря, 2015 Добрый день! Мне установили коронку на имплант, верхняя четверка, но её форма мне не нравится. Около десны зуб выглядит короче остальных, выделяется из ряда. Врач говорит, что подругому не получится сделать, что мне просто нужно привыкнуть. Прошу поделиться мнением, стоит ли настаивать на переделке? Или я придираюсь? Мне теперь не нравится моя улыбка Ссылка на комментарий
Evikrol Опубликовано 13 декабря, 2015 Поделиться Опубликовано 13 декабря, 2015 Рентген есть? 1 Ссылка на комментарий
kozloff Опубликовано 13 декабря, 2015 Поделиться Опубликовано 13 декабря, 2015 Действительно выделяется.Покажите нам рентгеновские снимки. 2 Ссылка на комментарий
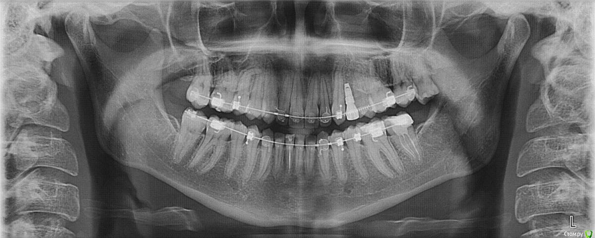
insomnia-x Опубликовано 14 декабря, 2015 Автор Поделиться Опубликовано 14 декабря, 2015 прикрепляю панорамный снимок до установки коронки Ссылка на комментарий
kozloff Опубликовано 14 декабря, 2015 Поделиться Опубликовано 14 декабря, 2015 (изменено) Хорошо бы еще увидеть прицелный снимок с коронкой.Судя по тому, что есть, проблему можно решить формированием десны на временной коронке. Изменено 14 декабря, 2015 пользователем kozloff 1 Ссылка на комментарий
Доктор Хаус Опубликовано 14 декабря, 2015 Поделиться Опубликовано 14 декабря, 2015 Я думаю здесь надо еще формировать десну . Попробуйте поговорить с Вашим доктором. К некрасивой улыбке довольно сложно будет привыкнуть. Ссылка на комментарий
insomnia-x Опубликовано 15 декабря, 2015 Автор Поделиться Опубликовано 15 декабря, 2015 Спасибо за ответы!поговорю еще раз доктором,возможно найдется решение. Ссылка на комментарий
Рекомендуемые сообщения
Для публикации сообщений создайте учётную запись или авторизуйтесь
Вы должны быть пользователем, чтобы оставить комментарий
Создать аккаунт
Зарегистрируйте новый аккаунт в нашем сообществе. Это очень просто!
Регистрация нового пользователяВойти
Уже есть аккаунт? Войти в систему.
Войти