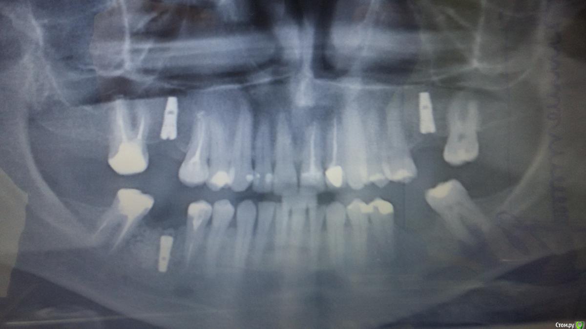
kipish Опубликовано 12 декабря, 2015 Поделиться Опубликовано 12 декабря, 2015 Снимок прилагаю.Интересует верхняя "шестерка" слева.Имплант установленный на этом месте случайно не попадает в гайморову пазуху?По сравнению с верхним имплантом установленным на месте "шестерки" справа видно что есть еще запас кости под имплантом в направлении пазух. А под верхним имплантом слева - вроде как нет.В дальнейшем - после установки коронки на имплант - он не провалится под нагрузкой в пазуху? Ссылка на комментарий
Evikrol Опубликовано 12 декабря, 2015 Поделиться Опубликовано 12 декабря, 2015 Гайморова пазуха у вас начинается в области седьмых зубов. Имплантат никуда не провалится. До гайморовой очень далеко 1 Ссылка на комментарий
Большой Зеленый Опубликовано 13 декабря, 2015 Поделиться Опубликовано 13 декабря, 2015 +1 если имплант прирос провалиться он точно никуда не сможет Ссылка на комментарий
Рекомендуемые сообщения
Для публикации сообщений создайте учётную запись или авторизуйтесь
Вы должны быть пользователем, чтобы оставить комментарий
Создать аккаунт
Зарегистрируйте новый аккаунт в нашем сообществе. Это очень просто!
Регистрация нового пользователяВойти
Уже есть аккаунт? Войти в систему.
Войти