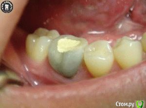
mr.woody Опубликовано 11 декабря, 2015 Поделиться Опубликовано 11 декабря, 2015 После чистки заметил, что дальний зуб сильно потемнел в сравнении с другими зубами. Что-то похожее как на изображении, но не так сильно. Когда-то этот зуб лечил и установлена пломба. В чем причина? Ссылка на комментарий
red_butler Опубликовано 12 декабря, 2015 Поделиться Опубликовано 12 декабря, 2015 Выкладывайте СВОИ снимки http://forum.stom.ru/topic/20613-sovety-patcientam-obiazatelno-k-prochteniiu/ 3 Ссылка на комментарий
Рекомендуемые сообщения
Для публикации сообщений создайте учётную запись или авторизуйтесь
Вы должны быть пользователем, чтобы оставить комментарий
Создать аккаунт
Зарегистрируйте новый аккаунт в нашем сообществе. Это очень просто!
Регистрация нового пользователяВойти
Уже есть аккаунт? Войти в систему.
Войти