Перейти к содержанию
Стоматология для всех

Гранулема?


Kass

Рекомендуемые сообщения

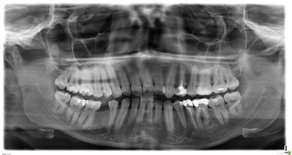
Здравствуйте! Нашли кисты/ гранулемы в зубах - 24

Зубы никак не беспокоят вообще 

Но за лечение насчитали больше 50 тысяч за 2 зуба, а эффект от лечения совершенно не обязателен 

Я, честно говоря, немного в шоке. Просто не готова отдавать такие деньги за негарантированный результат. Я понимаю, что  гарантировать мне никто не сможет, но может быть не везде так обдирают?

Подскажите , пожалуйста, есть ли там действительно воспаления , которые нужно лечить (нижний- понятно, что надо, сомнения насчет верхнего).

И если да - подскажите, огромная просьба, клиники, где мне качественно пролечат за меньшие деньги (желательно, конечно,под микроскопом)?

Желательно САО, но не обязательно

ПС прицельный снимок есть только нижнего зуба

 

post-45842-0-79748800-1449859674_thumb.jpg

post-45842-0-02914700-1449859711_thumb.jpg

Ссылка на комментарий

50 за 2 зуба под микроскопом это нормальная цена, если с гарантией хотите, планируйте имплантацию. Для поиска врача есть специальный раздел на форуме.

Ссылка на комментарий

Для публикации сообщений создайте учётную запись или авторизуйтесь

Вы должны быть пользователем, чтобы оставить комментарий

Создать аккаунт

Зарегистрируйте новый аккаунт в нашем сообществе. Это очень просто!

Регистрация нового пользователя

Войти

Уже есть аккаунт? Войти в систему.

Войти
×
×
  • Создать...
Вверх