Helen22 Опубликовано 11 декабря, 2015 Поделиться Опубликовано 11 декабря, 2015 Здравствуйте! Предстоит операция эндоскопич. гайморотомия на 2х ВЧП. Из-за пломбировочного материала в пазухах в последние 5-6 лет постоянные гаймориты, за последний год было 4. Правая сторона всегда болит и отекает сильнее чем левая. Боль локализуется в области 16, 17 зубов. ЛОР сказал, что операция справа не даст в дальнейшем результатов, если не решить вопрос с 16 и 17 зубами. Нужно решить удалять эти зубы во время операции или же все-таки лечить. ЧЛХ рекомендовал резекцию 16, 17 корней (радиальные кисты) во время операции или удалять.Терапевт сказал, что нужно перелечить (под микроскопом) оба зуба. Подскажите, пожалуйста, что делать? Не получится ли так, что перелечивание даст кратковременный результат и гаймориты снова повторятся? Ссылка на КТ https://cloud.mail.ru/public/5wce/VjAMzLhQJ Ссылка на комментарий
Сева северный Опубликовано 11 декабря, 2015 Поделиться Опубликовано 11 декабря, 2015 (изменено) Helena 22 У вас только это КТ? То, которое я скачал больше подходит для ЛОРа. для понимания ситуации нужно другое( Исследование) КТ, более заточенное под стоматологию. Изменено 11 декабря, 2015 пользователем Сева северный Ссылка на комментарий
IvanK Опубликовано 12 декабря, 2015 Поделиться Опубликовано 12 декабря, 2015 Выложите скриншот срезов 1 Ссылка на комментарий
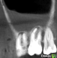
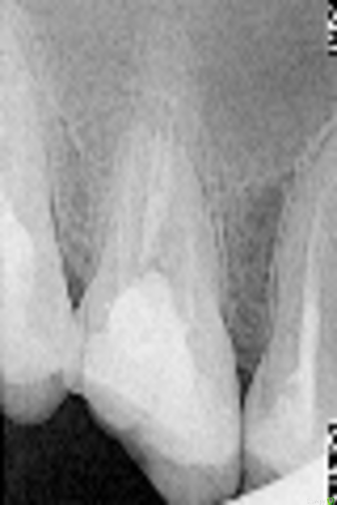
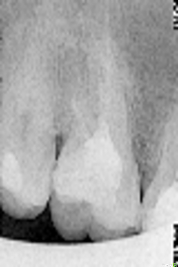
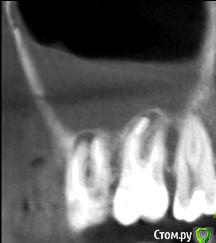
Helen22 Опубликовано 12 декабря, 2015 Автор Поделиться Опубликовано 12 декабря, 2015 Спасибо за оперативные ответы) промучилась с этим КТ(оно действительно для ЛОРа), но не смогла ничего в нем сделать.Сделала сегодня КТ 16, 17, 18 вот принт- скрины, правда не знаю насколько они будут информативными.... Ссылка на комментарий
Helen22 Опубликовано 13 декабря, 2015 Автор Поделиться Опубликовано 13 декабря, 2015 Вот ещё прицельные снимки Ссылка на комментарий
Helen22 Опубликовано 13 декабря, 2015 Автор Поделиться Опубликовано 13 декабря, 2015 . Ссылка на комментарий
Рекомендуемые сообщения
Для публикации сообщений создайте учётную запись или авторизуйтесь
Вы должны быть пользователем, чтобы оставить комментарий
Создать аккаунт
Зарегистрируйте новый аккаунт в нашем сообществе. Это очень просто!
Регистрация нового пользователяВойти
Уже есть аккаунт? Войти в систему.
Войти