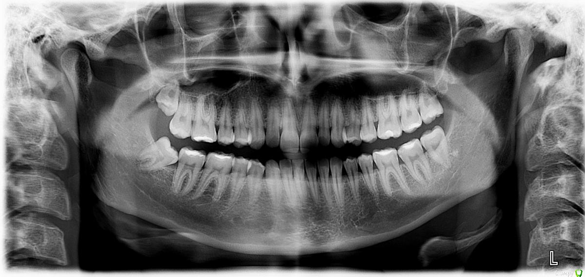
alyona_m Опубликовано 11 декабря, 2015 Поделиться Опубликовано 11 декабря, 2015 Здравствуйте!Врач отправил к хирургу на удаление 8-ки,но хирург рекомендовал подумать,т.к. воспаления нет,зуб по сути здоровый.Сейчас не болит,немного опухала и кровила десна,когда он рос (рос около 3 лет). Мне 24. Посоветуйте,пожалуйста,стоит удалять сейчас или оставить как есть? Ссылка на комментарий
diesel87 Опубликовано 11 декабря, 2015 Поделиться Опубликовано 11 декабря, 2015 Вы про правую нижнюю имеете в виду? Удаляйте планово, пока не заболело, он все равно на удаление уходит. Ссылка на комментарий
IvanK Опубликовано 11 декабря, 2015 Поделиться Опубликовано 11 декабря, 2015 Справа 8ки удалять 1 Ссылка на комментарий
alyona_m Опубликовано 11 декабря, 2015 Автор Поделиться Опубликовано 11 декабря, 2015 Вы про правую нижнюю имеете в виду? Удаляйте планово, пока не заболело, он все равно на удаление уходит. Да,правый.Слева оба нормально выросли - я и не заметила. Если справа верхний вылезет,я так понимаю мне и его удалить придется.А зубы не "разойдутся" после удаления? Ссылка на комментарий
IvanK Опубликовано 11 декабря, 2015 Поделиться Опубликовано 11 декабря, 2015 А зубы не "разойдутся" после удаления? нет Ссылка на комментарий
red_butler Опубликовано 11 декабря, 2015 Поделиться Опубликовано 11 декабря, 2015 +1 удалять Ссылка на комментарий
alyona_m Опубликовано 11 декабря, 2015 Автор Поделиться Опубликовано 11 декабря, 2015 +1 удалять То есть существует вероятность воспаления в будущем?Или он плохо на рядом расположенный зуб влияет? Ссылка на комментарий
alyona_m Опубликовано 11 декабря, 2015 Автор Поделиться Опубликовано 11 декабря, 2015 И еще момент:удалять сейчас или после Нового года?Зажить успеет? Ссылка на комментарий
red_butler Опубликовано 11 декабря, 2015 Поделиться Опубликовано 11 декабря, 2015 То есть существует вероятность воспаления в будущем?Или он плохо на рядом расположенный зуб влияет?Бедами грозит оставление зуба мудрого.И еще момент:удалять сейчас или после Нового года?Зажить успеет?Удаляйте в этом году. Ссылка на комментарий
Рекомендуемые сообщения
Для публикации сообщений создайте учётную запись или авторизуйтесь
Вы должны быть пользователем, чтобы оставить комментарий
Создать аккаунт
Зарегистрируйте новый аккаунт в нашем сообществе. Это очень просто!
Регистрация нового пользователяВойти
Уже есть аккаунт? Войти в систему.
Войти