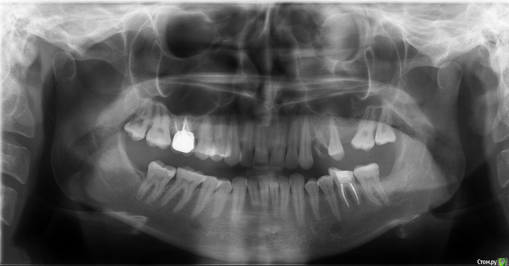
лягушка Опубликовано 11 декабря, 2015 Поделиться Опубликовано 11 декабря, 2015 Добрый день! Давно мучаюсь с проблемой зубов. Не могу принять решение - снесла мозг мужу и врачам. Хочу красивую улыбку. Проблемы -глубокий дистальный прикус, отсутствие 4ке и 6ке. 30 лет. Меня беспокоит отсутствие 4ке. Не сильно - отсутствие 6ке. Не правильный прикус не вызывает недовольство и комплексов. Многие говорят, что у меня красивая улыбка. Внешность полностью устраивает. Врачей волнует мой не правильный прикус. Итак, я уже слышала много мнений и очень разных. Как я поняла у меня три варианта. 1. Идеальный. Брекеты. Удаление 4ке. Операция. На этот вариант я не готова. Только если она жизненна необходима. 2. Компромисс. Удалять 4ку и возможно снизу еще два. Ставить брекеты. Далее имплантация на 8ку. Этот вариант меня смущает тем, что как я понимаю прикус мне он правильным не сделает да? зубы у меня будут ровнее. Но к ним у меня нет претензий. Я не могу понять лечение на брекетах будет лучше для здоровья моих зубов или просто поставит зубы в соответствии с нормами медицины. Так же по мнение врача ухудшиться внешний вид (так как зубы уйдут назад) возможно увеличение нижней губы. 3. Творческий))) Оставить свой прикус и в покое. Поставить имплант на 4ку. И чуть дорастить с помощью пломбы 5ку. Склоняюсь к нему. Но боюсь что будет дальше. Не будет ли это бомба замедленного действия- начнутся проблем с челюстью или зубами. Придется вырвать имплант и ставить таки брекеты. . Какие прогнозы на будущее?? Возможно ли дожить после брекетов со своими зубами до старости? Просто смысл их выравнивать если к годам к 50 придется менять на новые? Про лицо - если ставить брекеты это уменьшит или увеличит носогубную складку? Спасибо. Извините ))Всем лучик счастья) http://s018.radikal.ru/i524/1512/d0/4f17709addaat.jpghttp://s001.radikal.ru/i195/1512/a9/cc8180641ff4t.jpghttp://s020.radikal.ru/i721/1512/d9/75ef41300d90t.jpg http://s019.radikal.ru/i641/1512/c7/e1ff9243fe2ft.jpg http://s017.radikal.ru/i422/1512/dc/38aeb2319878t.jpg http://s017.radikal.ru/i407/1512/7f/2a9905741d88t.jpg Ссылка на комментарий
diesel87 Опубликовано 11 декабря, 2015 Поделиться Опубликовано 11 декабря, 2015 Голосую за брекеты с последующей имплантацией за 3-4 месяца до снятия брекетов. Ссылка на комментарий
brg Опубликовано 11 декабря, 2015 Поделиться Опубликовано 11 декабря, 2015 Третий вариант Ссылка на комментарий
лягушка Опубликовано 11 декабря, 2015 Автор Поделиться Опубликовано 11 декабря, 2015 Спасибо! Вы не могли бы пояснить почему? будут ли проблемы с таким прикусом в старости? Ссылка на комментарий
brg Опубликовано 12 декабря, 2015 Поделиться Опубликовано 12 декабря, 2015 Спасибо! Вы не могли бы пояснить почему? будут ли проблемы с таким прикусом в старости?1)Вам ваш прикус нравится, как я понял.2)Вашему мужу тоже.3)Не навреди (первая заповедь!) Как доктор я ее пока не забыл.4) вытекает из 3-го, я думаю, что вам достаточно 24 зуба. В вашем прикусе есть какая то изюминка, и это мое личное мнение. А до старости еще многое изменится в стоматологии, как и взгляды на лечение. Ссылка на комментарий
Evikrol Опубликовано 12 декабря, 2015 Поделиться Опубликовано 12 декабря, 2015 Консультация грамотного ортодонта нужна. Большая вероятность, что бездействие приведёт к подвижности передних зубов, с дальнейшим удалением. Сам носил брекеты Ссылка на комментарий
лягушка Опубликовано 12 декабря, 2015 Автор Поделиться Опубликовано 12 декабря, 2015 Не поняла про 24 зуба... их вроде пока больше. ) или это злая шутка? Ссылка на комментарий
лягушка Опубликовано 12 декабря, 2015 Автор Поделиться Опубликовано 12 декабря, 2015 А для здоровья и сохранности зубов какой вариант лучше? Ссылка на комментарий
brg Опубликовано 13 декабря, 2015 Поделиться Опубликовано 13 декабря, 2015 Не поняла про 24 зуба... их вроде пока больше. ) или это злая шутка?24 это номер зуба, а не их кол-во. Ссылка на комментарий
brg Опубликовано 13 декабря, 2015 Поделиться Опубликовано 13 декабря, 2015 Сам носил брекетыЕсли вам удалили апендицит, это не значит,что девушке тоже его нужно удалить. Ссылка на комментарий
лягушка Опубликовано 15 декабря, 2015 Автор Поделиться Опубликовано 15 декабря, 2015 Ссори за навязчивость... а как определить есть ли и будут проблемы с суставом нижней челюсти? Сколько не была на приемах у ортодонтах они как то все пространственно рассказывают. Можно ли где то получить качественную консультацию? Справа сустав щелкает. Стала сегодня нажимать за щекой возле уха справа - больно Ссылка на комментарий
лягушка Опубликовано 15 декабря, 2015 Автор Поделиться Опубликовано 15 декабря, 2015 В вашем прикусе есть какая то изюминка, и это мое личное мнение.А до старости еще многое изменится в стоматологии, как и взгляды на лечение.спасибо за комплимент. Очень приятно ) улыбаюсь себе в зеркало и вспоминаю ваши слова! ) Ссылка на комментарий
Рекомендуемые сообщения
Для публикации сообщений создайте учётную запись или авторизуйтесь
Вы должны быть пользователем, чтобы оставить комментарий
Создать аккаунт
Зарегистрируйте новый аккаунт в нашем сообществе. Это очень просто!
Регистрация нового пользователяВойти
Уже есть аккаунт? Войти в систему.
Войти