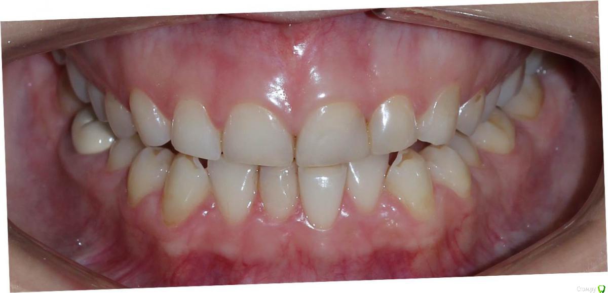
Сева северный Опубликовано 9 декабря, 2015 Поделиться Опубликовано 9 декабря, 2015 Ко мне обратилась молодая девушка, не довольная своей улыбкой. Был проведен этап планирования.... анализ улыбки ..(DSD), (wax up) и примерка (mock up)Проведенный этап...с мотивировал пациентку . 15 Ссылка на комментарий
Mailze Опубликовано 10 декабря, 2015 Поделиться Опубликовано 10 декабря, 2015 Отлично! C мокапом улыбка перестала быть десневой, пластмасса лежит на десне? как на картинке с цифровым планированием? Или просто пациентка улыбнулась не так открыто? Ссылка на комментарий
alekszander Опубликовано 10 декабря, 2015 Поделиться Опубликовано 10 декабря, 2015 Достойно.А можно рентген зубов,посмотреть соотношение корень коронка. Ссылка на комментарий
Сева северный Опубликовано 10 декабря, 2015 Автор Поделиться Опубликовано 10 декабря, 2015 Отлично! C мокапом улыбка перестала быть десневой, пластмасса лежит на десне? как на картинке с цифровым планированием? Или просто пациентка улыбнулась не так открыто?Да... на десне. В этом и был смысл планирования, посмотреть как будет выглядеть зубы. при удлинении в корневую сторону. Ссылка на комментарий
Сева северный Опубликовано 10 декабря, 2015 Автор Поделиться Опубликовано 10 декабря, 2015 Достойно.А можно рентген зубов,посмотреть соотношение корень коронка.Пациентка, реферативно, от ортодонта. Резцы короткие около 19 мм. Ссылка на комментарий
Mailze Опубликовано 10 декабря, 2015 Поделиться Опубликовано 10 декабря, 2015 Да... на десне. В этом и был смысл планирования, посмотреть как будет выглядеть зубы. при удлинении в корневую сторону. Тогда вообще замечательно, у меня такой аккуратный край на mock up, лежащем на десне, не получается. Может есть секрет? Ссылка на комментарий
Сева северный Опубликовано 10 декабря, 2015 Автор Поделиться Опубликовано 10 декабря, 2015 Тогда вообще замечательно, у меня такой аккуратный край на mock up, лежащем на десне, не получается. Может есть секрет? это скорее не совет, а небольшие нюансы:Слепок с модели, должен быть аккуратно подрезан по контуру шеек будущих зубов.Внесённый в слепок композит ( это касается именно композита на десну)убирается сразу после фиксации на зубы , не дожидаясь застывания материала, по подрезанному контуру. Если все таки mock up не совсем удачен (Поры, рваный край.и др.) его можно подкорректировать обычным жидкотекучим. Все ради пары десятков, красивых фотографий. Да... и пациенту лучше зеркала не давать.... а полученный результат показывать через фото на экране.. 3 Ссылка на комментарий
Evikrol Опубликовано 10 декабря, 2015 Поделиться Опубликовано 10 декабря, 2015 Почему не через зеркало? Ссылка на комментарий
Доктор Андрей Опубликовано 11 декабря, 2015 Поделиться Опубликовано 11 декабря, 2015 это скорее не совет, а небольшие нюансы:Слепок с модели, должен быть аккуратно подрезан по контуру шеек будущих зубов.Внесённый в слепок композит ( это касается именно композита на десну)убирается сразу после фиксации на зубы , не дожидаясь застывания материала, по подрезанному контуру. Если все таки mock up не совсем удачен (Поры, рваный край.и др.) его можно подкорректировать обычным жидкотекучим. Все ради пары десятков, красивых фотографий. Да... и пациенту лучше зеркала не давать.... а полученный результат показывать через фото на экране.. Почему без зеркала? Это же первое, что они хватают в руку! Ссылка на комментарий
kozloff Опубликовано 11 декабря, 2015 Поделиться Опубликовано 11 декабря, 2015 Почему без зеркала? Потому что пациент начинает сразу выискивать недостатки и придираться к мелочам, не видя целой картины.Зеркало можно дать, но позже. 4 Ссылка на комментарий
an_ver Опубликовано 11 декабря, 2015 Поделиться Опубликовано 11 декабря, 2015 Как вы определяете когда надо делать хир.удлинение коронки, а когда просто удлинить без хирургии. По стертым режущим краям,похоже что не было нарушения прорезывания...зондировали до ЦЭС? Или по десневой улыбке скромной решили пойти апикально? Ссылка на комментарий
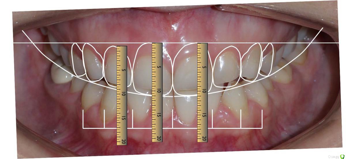
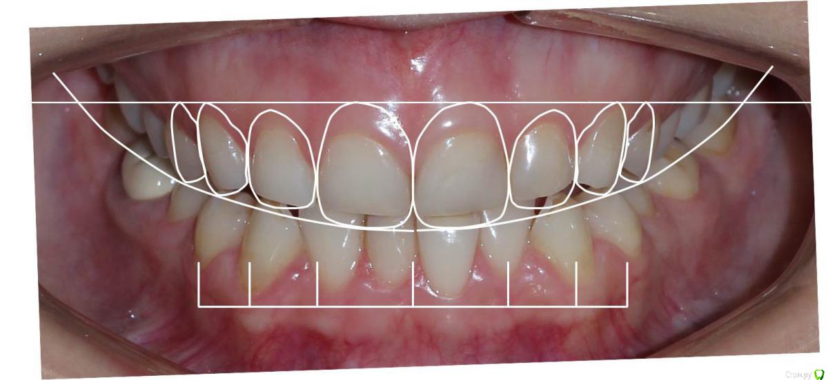
Сева северный Опубликовано 11 декабря, 2015 Автор Поделиться Опубликовано 11 декабря, 2015 Почему не через зеркало?В принципе на вопрос уже ответили.... могу лишь добавить, что при (wax up) мы как правило воск добавляем, причем его слои, не всегда одинаковой толщины, поэтому темные зубы через (mock up) будет просвечиваться.Бывают варианты когда я наоборот не могу наносить воск+ мелкие косячки... в виде пор, фестончатых краев, небольшой ассимитрии. все это будет видеть пациент через зеркало. С расстояния.. 2-3 метра они с нивелируются. Я должен показать общую картину, именно улыбку. Сравните на прикрепленном примере... пришеечные косячки (mock up) которые я не стал исправлять, и как они не заметны на фото, с растояния 2 Ссылка на комментарий
Mailze Опубликовано 11 декабря, 2015 Поделиться Опубликовано 11 декабря, 2015 В принципе на вопрос уже ответили.... могу лишь добавить, что при (wax up) мы как правило воск добавляем, причем его слои, не всегда одинаковой толщины, поэтому темные зубы через (mock up) будет просвечиваться.Бывают варианты когда я наоборот не могу наносить воск+ мелкие косячки... в виде пор, фестончатых краев, небольшой ассимитрии. все это будет видеть пациент через зеркало. С расстояния.. 2-3 метра они с нивелируются. Я должен показать общую картину, именно улыбку. Сравните на прикрепленном примере... пришеечные косячки (mock up) которые я не стал исправлять, и как они не заметны на фото, с растояния Спасибо за разъяснения, все очень аккуратно. Ссылка на комментарий
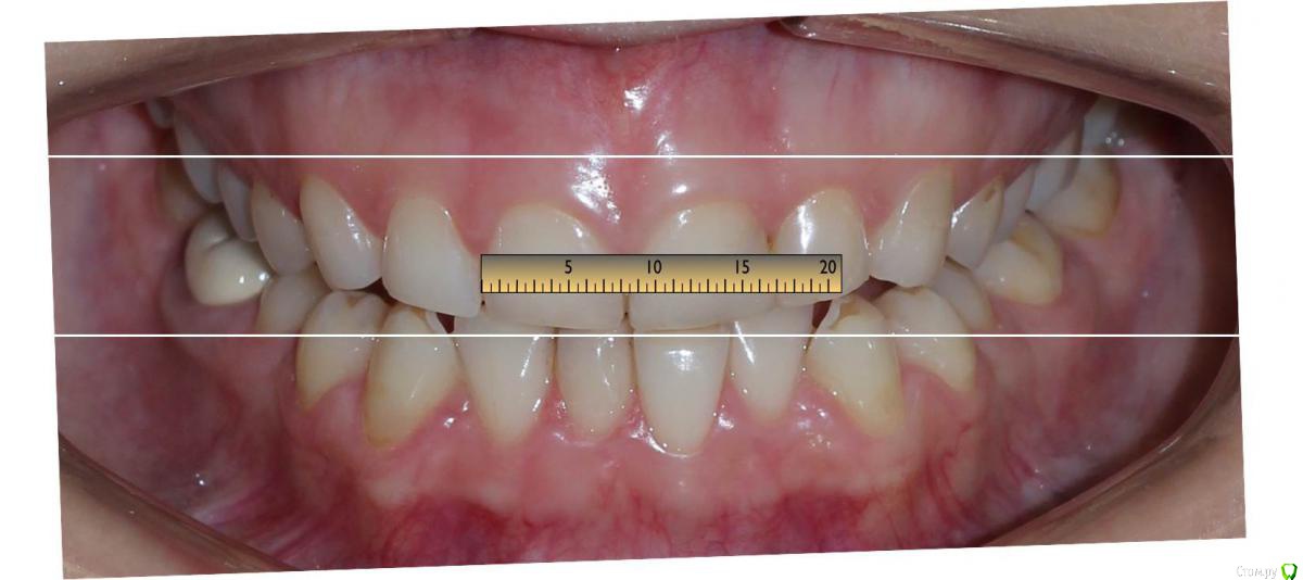
Сева северный Опубликовано 11 декабря, 2015 Автор Поделиться Опубликовано 11 декабря, 2015 (изменено) Как вы определяете когда надо делать хир.удлинение коронки, а когда просто удлинить без хирургии. По стертым режущим краям,похоже что не было нарушения прорезывания...зондировали до ЦЭС? Или по десневой улыбке скромной решили пойти апикально?Я сделал только планирование.... Ход мысли был следующий: Длина центральных резцов 19-20 мм. Длина коронковой части зуба центрального резца 7-8 мм. Оптимальная длина 10.5. По результату пациентка с мотивирована на ортодонтию , с коррекцией gammy smile. Решение по хирургии, примем по результатам ортодонтии. Изменено 11 декабря, 2015 пользователем Сева северный 1 Ссылка на комментарий
B.Art Опубликовано 15 декабря, 2015 Поделиться Опубликовано 15 декабря, 2015 Вопрос к Севе! Как взаимодействовал с лабораторией? Просто предоставил фото после анализа? или есть алгоритм действий? Ссылка на комментарий
Сева северный Опубликовано 15 декабря, 2015 Автор Поделиться Опубликовано 15 декабря, 2015 Вопрос к Севе! Как взаимодействовал с лабораторией? Просто предоставил фото после анализа? или есть алгоритм действий?Классический протокол состоит из врачебных этапов.... Фотография, анализ, слепки ,DSD планирование (те файлы которые отправляются в лабораторию......) и сама примерка (mock up)И лабораторных: изготовление рабочих моделей, калибровка и разметка моделей, изготовление(wax up) .С данным пациентом, все врачебные и лабораторные этапы я выполнил сам. Ссылка на комментарий
B.Art Опубликовано 15 декабря, 2015 Поделиться Опубликовано 15 декабря, 2015 То есть по факту, Вы перенесли при помощи линейки и штангенциркуля все необходимые метки из кейнота на отлитую модель и затем отдали в лабораторию для Wax up. Я правильно понял? Ссылка на комментарий
Сева северный Опубликовано 15 декабря, 2015 Автор Поделиться Опубликовано 15 декабря, 2015 Wax up. ..сделал тоже я. Ссылка на комментарий
an_ver Опубликовано 16 декабря, 2015 Поделиться Опубликовано 16 декабря, 2015 Я сделал только планирование.... Ход мысли был следующий: Длина центральных резцов 19-20 мм. Длина коронковой части зуба центрального резца 7-8 мм. Оптимальная длина 10.5. По результату пациентка с мотивирована на ортодонтию , с коррекцией gammy smile. Решение по хирургии, примем по результатам ортодонтии. Рисунок16.jpgСпасибо Ссылка на комментарий
Сева северный Опубликовано 16 декабря, 2015 Автор Поделиться Опубликовано 16 декабря, 2015 хотелось бы ...чтобы коллеги поделились своими результатами в планировании..(DSD) или других. Особенно в использовании Сad /cam программ....... и лицевых сканеров Ссылка на комментарий
Dman Опубликовано 9 января, 2016 Поделиться Опубликовано 9 января, 2016 какой материал заливаете в ключ? Ссылка на комментарий
Сева северный Опубликовано 9 января, 2016 Автор Поделиться Опубликовано 9 января, 2016 Протемп Ссылка на комментарий
zubovnet Опубликовано 9 января, 2016 Поделиться Опубликовано 9 января, 2016 Wax up. ..сделал тоже я.А фото моделей с wax up нет? Ссылка на комментарий
Сева северный Опубликовано 11 января, 2016 Автор Поделиться Опубликовано 11 января, 2016 А фото моделей с wax up нет?Есть 2 Ссылка на комментарий
Sampson Опубликовано 17 января, 2016 Поделиться Опубликовано 17 января, 2016 хотелось бы ...чтобы коллеги поделились своими результатами в планировании..(DSD) или других. Особенно в использовании Сad /cam программ....... и лицевых сканеров где можно скачать шаблон для планирования в powerpoint Ссылка на комментарий
Рекомендуемые сообщения
Для публикации сообщений создайте учётную запись или авторизуйтесь
Вы должны быть пользователем, чтобы оставить комментарий
Создать аккаунт
Зарегистрируйте новый аккаунт в нашем сообществе. Это очень просто!
Регистрация нового пользователяВойти
Уже есть аккаунт? Войти в систему.
Войти