Bizzzin Опубликовано 7 декабря, 2015 Поделиться Опубликовано 7 декабря, 2015 (изменено) Добрый день! У меня частично оголились шейки клыков и одного близлежащего к каждому из них зуба. По виду напоминает клиновидный дефект. Стоматолог-ортопед поставил мне диагноз пародонтит. При этом сказал, что оголение шеек указанных зубов произошло из-за неправильного прикуса (хотя когда сжимаю зубы - нагрузки на клыки не чувствую). Его план лечения включает в себя изменение прикуса, а именно, увеличение нагрузки на жевательные зубы путем установления на них коронок (по одной) и замены пломб.По его словам, указанное лечение сможет замедлить этот патологический процесс. Пока что завершаем первую коронку. Из предварительных обследований помимо снимка (приложение), делал слепок челюсти (т.е. когда вставляют в ротовую полость штуковину с синим подобием пластилина, который постепенно застывает). Пока не слишком поздно, хочется узнать мнение других специалистов в этой области - адекватно ли подобран способ лечения?Могли ли оголиться шейки клыков в результате неправильного прикуса, в то время как непосредственно на них давления вроде как не оказывается?Если необходимость в изменении прикуса действительно существует, насколько позволительно это делать "на глаз"? Делались только предварительные обследования, указанные выше. Спасибо! p.s. Аналогичную тему создал в разделе "Протезирование", но к сожалению, какой-либо информации получить не удалось, из-за чего решил разместить ее также здесь. Прошу уважаемых администраторов проявить понимание. Изменено 7 декабря, 2015 пользователем Bizzzin Ссылка на комментарий
red_butler Опубликовано 7 декабря, 2015 Поделиться Опубликовано 7 декабря, 2015 Покажите еще фото 1 Ссылка на комментарий
Bizzzin Опубликовано 7 декабря, 2015 Автор Поделиться Опубликовано 7 декабря, 2015 Добрый день!С последней "фотосессии" все 10 фотографий почти идентичны изначально размещенной, разве что где-то по-сильнее размыто..Удалось найти фото 4-х летней давности (сейчас мне 25). Такое вряд ли подойдет? Если надо, поеду сделаю еще снимок.Большое спасибо. Ссылка на комментарий
red_butler Опубликовано 7 декабря, 2015 Поделиться Опубликовано 7 декабря, 2015 Я имел в виду сделать фото зубов и десны во рту. 1 Ссылка на комментарий
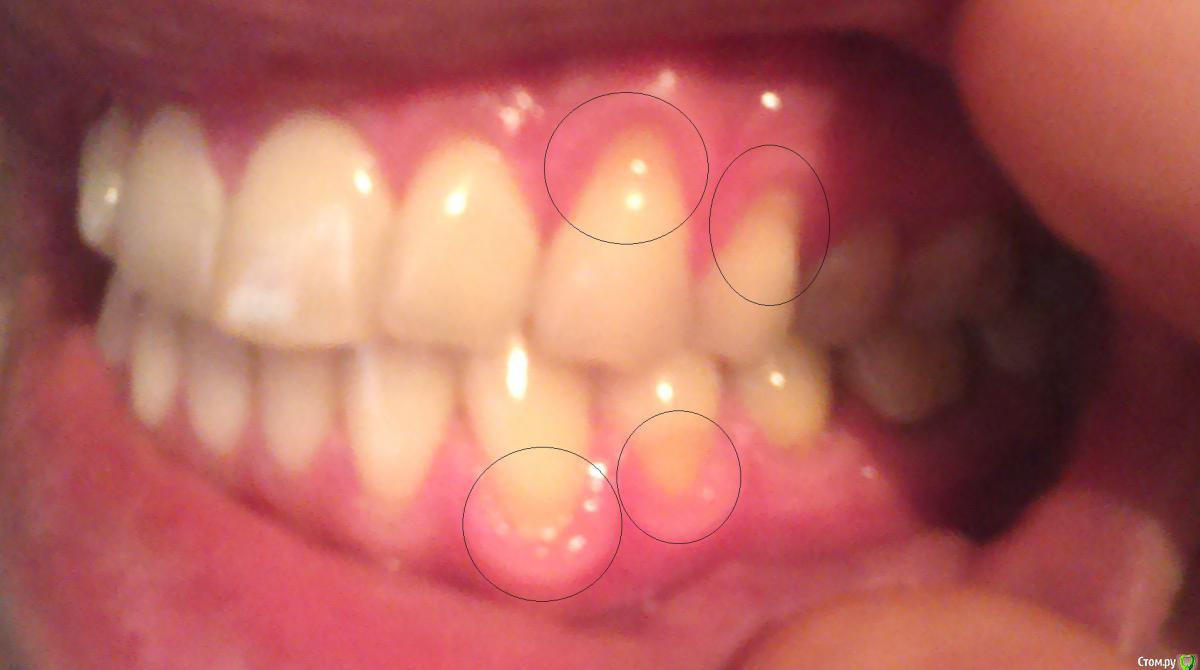
Bizzzin Опубликовано 7 декабря, 2015 Автор Поделиться Опубликовано 7 декабря, 2015 Конечно! В приложении направляю фотографии. Ссылка на комментарий
red_butler Опубликовано 8 декабря, 2015 Поделиться Опубликовано 8 декабря, 2015 Это рецессии десны, причина скорее всего в механической травме зубной щеткой. Закрываются они хирургическим путем. 3 Ссылка на комментарий
Bizzzin Опубликовано 8 декабря, 2015 Автор Поделиться Опубликовано 8 декабря, 2015 Огромное спасибо! Ссылка на комментарий
Рекомендуемые сообщения
Для публикации сообщений создайте учётную запись или авторизуйтесь
Вы должны быть пользователем, чтобы оставить комментарий
Создать аккаунт
Зарегистрируйте новый аккаунт в нашем сообществе. Это очень просто!
Регистрация нового пользователяВойти
Уже есть аккаунт? Войти в систему.
Войти