WHITE_ANTONIO Опубликовано 6 декабря, 2015 Поделиться Опубликовано 6 декабря, 2015 Добрый день, заранее спасибо за внимание к моему вопросу.Ссылка на КТ: https://yadi.sk/d/tn4c3JPtm2xKoСитуация следующая:1. По 26 - выпала пломба, зуб не беспокоит, но на основании КТ диагноз моего стоматолога-ортопеда: на 90% следует удалять.2. По 36 - имеется небольшой флюз, по КТ заключение стоматолога-ортопеда 100% удаление.Ранее зубы не удалял, хотелось бы, безусловно, вылечить. Прошу проконсультировать возможно ли лечение? Ссылка на комментарий
red_butler Опубликовано 6 декабря, 2015 Поделиться Опубликовано 6 декабря, 2015 Лучше выкладывайте срезы зон интереса Кт. Всю Кт мало кто качать станет. 1 Ссылка на комментарий
DmitrySH Опубликовано 6 декабря, 2015 Поделиться Опубликовано 6 декабря, 2015 22 секунды на скачивание это можно. Вопрос в том, что все файлы в непонятном формате. Ссылка на комментарий
WHITE_ANTONIO Опубликовано 7 декабря, 2015 Автор Поделиться Опубликовано 7 декабря, 2015 Добрый вечер, прикладываю скриншоты КТ Ссылка на комментарий
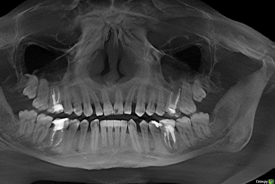
DmitrySH Опубликовано 7 декабря, 2015 Поделиться Опубликовано 7 декабря, 2015 Прицельный снимки еще будут нужны, в хорошем качестве.26 - ничего особого не видно, просто периодонтит36 - перерасширены каналы, возможно наличие трещины или перфорации.16,46 - тоже требуют лечения Ссылка на комментарий
WHITE_ANTONIO Опубликовано 7 декабря, 2015 Автор Поделиться Опубликовано 7 декабря, 2015 Прицельный снимки еще будут нужны, в хорошем качестве.26 - ничего особого не видно, просто периодонтит36 - перерасширены каналы, возможно наличие трещины или перфорации.16,46 - тоже требуют лечения Дмитрий, таким образом 26 и 36 можно лечить, а не удалять? Ссылка на комментарий
DmitrySH Опубликовано 7 декабря, 2015 Поделиться Опубликовано 7 декабря, 2015 (изменено) на основании данного снимка судьба зуба 36 под вопросом,а 26 - непонятно, но пока не увидел ничего ужасного. Изменено 7 декабря, 2015 пользователем DmitrySH Ссылка на комментарий
DmitrySH Опубликовано 7 декабря, 2015 Поделиться Опубликовано 7 декабря, 2015 Но я не смотрю на очаги воспаления, меня интересует целостность твердых тканей зуба. Исходя из этого и строится прогноз. На КТ любой материал "фонит" и выглядит больше чем есть. Соответственно есть непонятные моменты. 1 Ссылка на комментарий
Рекомендуемые сообщения
Для публикации сообщений создайте учётную запись или авторизуйтесь
Вы должны быть пользователем, чтобы оставить комментарий
Создать аккаунт
Зарегистрируйте новый аккаунт в нашем сообществе. Это очень просто!
Регистрация нового пользователяВойти
Уже есть аккаунт? Войти в систему.
Войти