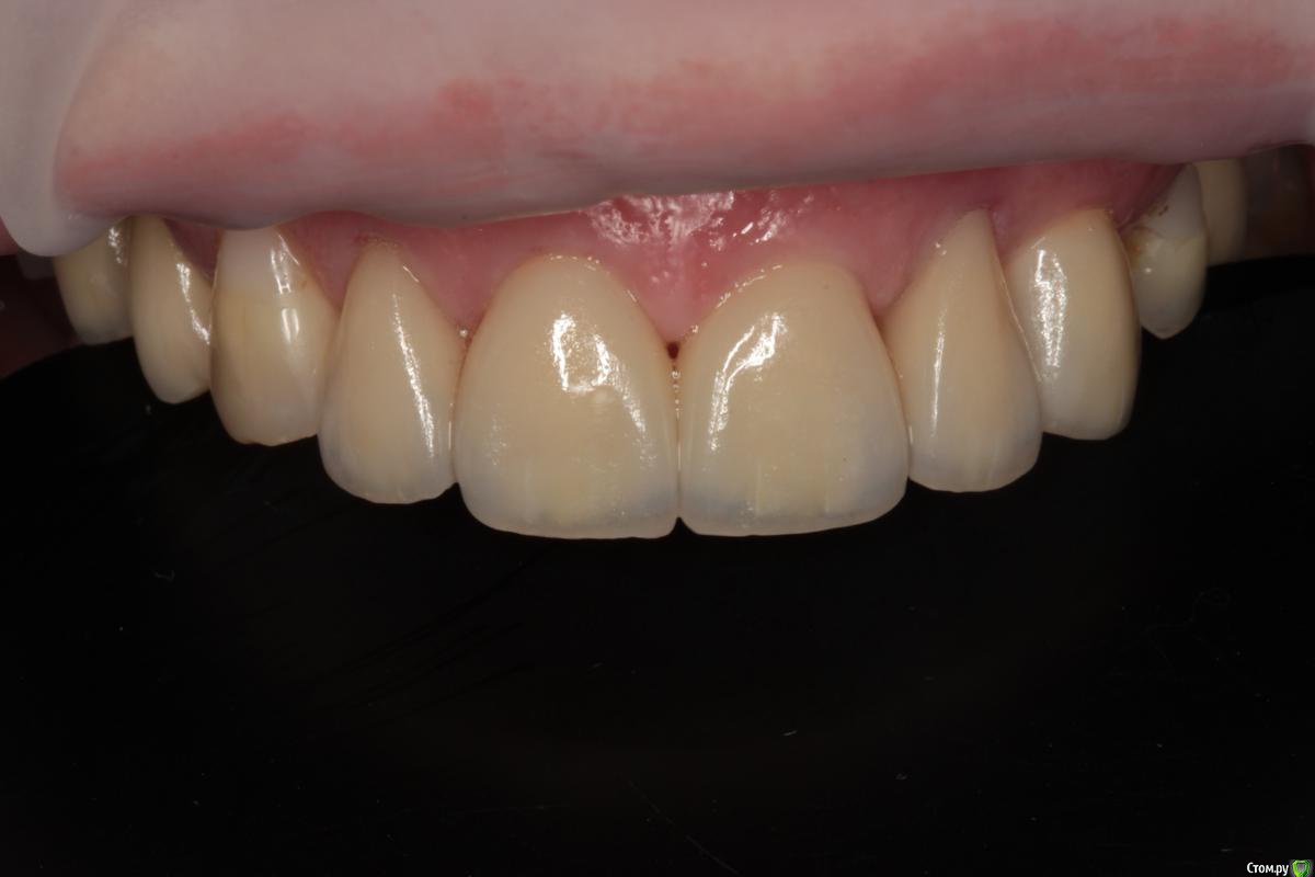
Abuk Опубликовано 6 декабря, 2015 Поделиться Опубликовано 6 декабря, 2015 12,11,21,22,23 8 Ссылка на комментарий
Dr.Sham Опубликовано 6 декабря, 2015 Поделиться Опубликовано 6 декабря, 2015 а что с остальными зубами? недавно был на курсе по прямым реставрациям, там говорили, что без экватора нельзя, десна будет страдать (это я про загадочную форму шейки 22) Ссылка на комментарий
Abuk Опубликовано 7 декабря, 2015 Автор Поделиться Опубликовано 7 декабря, 2015 А что с остальными)?Если присмотреться, шейка как раз таки защищена,и зубы с небольшим протрузионным наклоном.Думаю все будет хорошо. Ссылка на комментарий
Рекомендуемые сообщения
Для публикации сообщений создайте учётную запись или авторизуйтесь
Вы должны быть пользователем, чтобы оставить комментарий
Создать аккаунт
Зарегистрируйте новый аккаунт в нашем сообществе. Это очень просто!
Регистрация нового пользователяВойти
Уже есть аккаунт? Войти в систему.
Войти