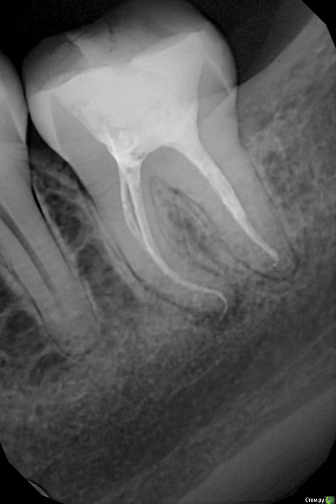
katrineigma Опубликовано 3 декабря, 2015 Поделиться Опубликовано 3 декабря, 2015 Добрый день!Полгода назад вылечила зуб. Уже 2 месяца он непрерывно ноет (есть на него не больно) Прикрепляю рентгены сразу после лечения и спустя 4 месяца (с воспалением). Врачи не берутся перелечивать - говорят зуб сложный и есть риск его вообще потерять. А в той клинике, где лечили зуб изначально, говорят, что все хорошо, в нем изначально было воспаление (разве было?) это так зуб реагирует на лекарство, это наоборот лечение идет, просто у вас такие индивидуальные особенности организма (прошло уже полгода с момента лечения! И как может зуб реагировать на лекарство воспалением?) Делали сегодня ЭОД этого зуба, показатель был 74 мкА, но ничего внятного по этому поводу не сказали. Подскажите, пожалуйста, для депульпированного зуба что значит этот показатель? Меня врачи очень сильно водят за нос, судя по всему.Заранее спасибо. Ссылка на комментарий
krokomot Опубликовано 3 декабря, 2015 Поделиться Опубликовано 3 декабря, 2015 показатели ЭОД на депульпированных зубах не информативны. Если болит снова, то необходимо перелечивать каналы 2 Ссылка на комментарий
red_butler Опубликовано 4 декабря, 2015 Поделиться Опубликовано 4 декабря, 2015 Смените врача Ссылка на комментарий
katrineigma Опубликовано 4 декабря, 2015 Автор Поделиться Опубликовано 4 декабря, 2015 Спасибо за комментарии!Врача, понятное дело, буду менять. Просто напортачили-то в этой клинике, теперь всякие тесты проводят и убеждают, что все нормально, а болит у меня из-за действия лекарства уже полгода. Я так понимаю, что ЭОД делали с целью понять, не осталось ли в зубе не найденных или непролеченных каналов. Но по результату как-то слишком замялись. Разве мертвый зуб должен вообще реагировать на ЭОД? Ссылка на комментарий
shishok Опубликовано 4 декабря, 2015 Поделиться Опубликовано 4 декабря, 2015 А какой у Вас характер боли?Может причина в другом зубе? Ссылка на комментарий
St. Опубликовано 5 декабря, 2015 Поделиться Опубликовано 5 декабря, 2015 Разве мертвый зуб должен вообще реагировать на ЭОД? Да, может, но как Вам уже написали выше, эти показатели не информативны. Ссылка на комментарий
katrineigma Опубликовано 5 декабря, 2015 Автор Поделиться Опубликовано 5 декабря, 2015 А какой у Вас характер боли?Может причина в другом зубе?Спасибо всем за комментарии!Характер боли - постоянная ноющая, когда-то сильнее, когда-то слабее, с самого утра не болит, через полчаса-час уже ноет, и так каждый день. Жевать на зуб не больно. Соседние зубы леченые тоже недавно и на них показатель ЭОД - 4. Здесь же очевидное воспаление на рентгене...думаете, причина боли может быть не в нем? Ссылка на комментарий
DmitrySH Опубликовано 5 декабря, 2015 Поделиться Опубликовано 5 декабря, 2015 Сложно дать ответ на основании только снимка. Но ревизию каналов лучше сделать. 2 Ссылка на комментарий
Гарриевич Опубликовано 6 декабря, 2015 Поделиться Опубликовано 6 декабря, 2015 плюсую к перелечиваниюлечиться в той клинике в любом случае смысла нетзубы не реагируют на "лекарства" по полгода Ссылка на комментарий
Рекомендуемые сообщения
Для публикации сообщений создайте учётную запись или авторизуйтесь
Вы должны быть пользователем, чтобы оставить комментарий
Создать аккаунт
Зарегистрируйте новый аккаунт в нашем сообществе. Это очень просто!
Регистрация нового пользователяВойти
Уже есть аккаунт? Войти в систему.
Войти