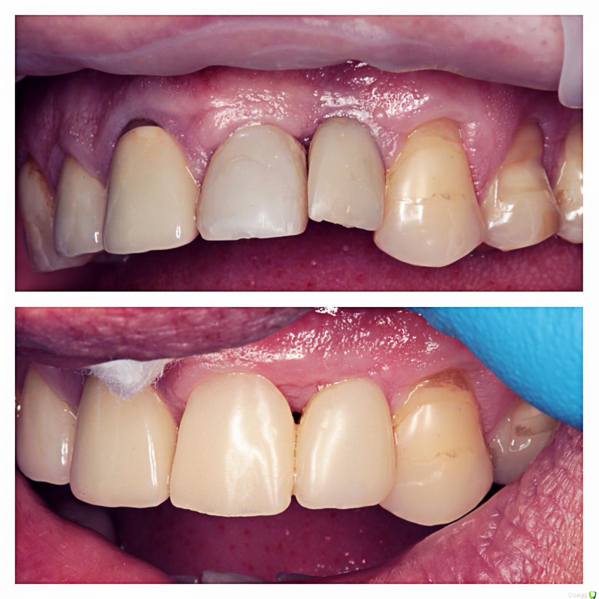
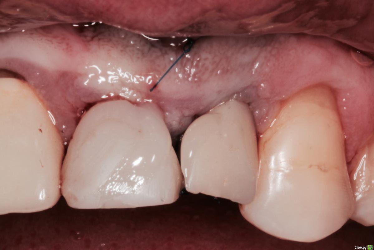
Abuk Опубликовано 2 декабря, 2015 Поделиться Опубликовано 2 декабря, 2015 (изменено) Ставил имплантаты мой коллега,пациент его знакомый. Пропал на 1 год . Появился.Смотрю, чего то не хватает ). Изменено 2 декабря, 2015 пользователем Abuk Ссылка на комментарий
Abuk Опубликовано 2 декабря, 2015 Автор Поделиться Опубликовано 2 декабря, 2015 Коллеги , как думаете, ещё вырастит ?Прошло только 1,5 мес. Ссылка на комментарий
Карен Аванесов Опубликовано 2 декабря, 2015 Поделиться Опубликовано 2 декабря, 2015 не вырастет. коронками дожать. Ссылка на комментарий
Abuk Опубликовано 2 декабря, 2015 Автор Поделиться Опубликовано 2 декабря, 2015 не вырастет. коронками дожать.Спс, то же думал об этом. Ссылка на комментарий
Рекомендуемые сообщения
Для публикации сообщений создайте учётную запись или авторизуйтесь
Вы должны быть пользователем, чтобы оставить комментарий
Создать аккаунт
Зарегистрируйте новый аккаунт в нашем сообществе. Это очень просто!
Регистрация нового пользователяВойти
Уже есть аккаунт? Войти в систему.
Войти