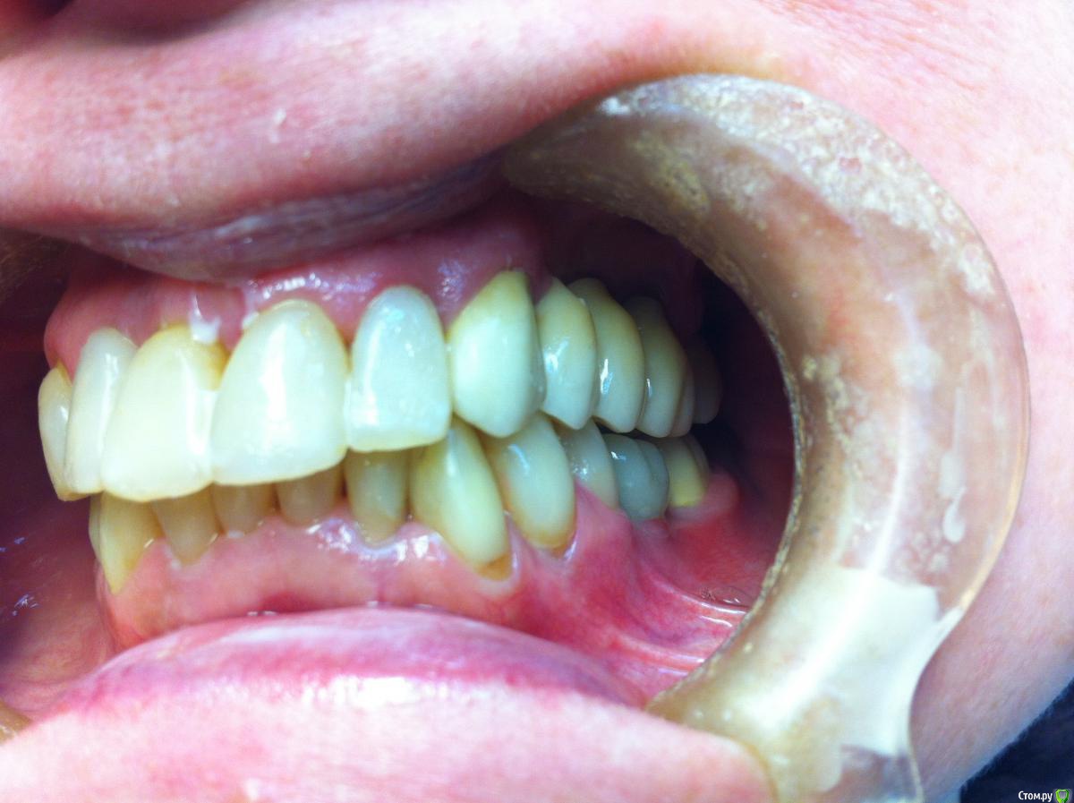
Айнур Фаязович Опубликовано 2 декабря, 2015 Поделиться Опубликовано 2 декабря, 2015 Пациентка обратилась с целью замены временной коронки на имплантате 36 на постоянную конструкцию. В ходе сбора анамнеза удалось выяснить, что 3 года назад у нее на 36 зубе произошла поломка винта внутри имплантата и, как следствие, появилась подвижность этой коронки. Ее доктору, у которого она протезировалась, удалось извлечь винт, но пришлось делать новую резьбу. Теперь она обратилась ко мне. Прилагаю фотографии полости рта, рентгеновские снимки до поломки винта, на момент обращения ( снимок с временной коронкой) и с трансфером для открытой ложки без винта (узкая платформа Астра). Дело в том, что у пациентки временная коронка на стандартном титановом абатменте ( платформа узкая 3,5-4,0) был зафиксирован с помощью винта от Dentium, при этом область шестигранника расширена изнутри ( чтобы проходил винт от Dentium) Но теперь возникают вопросы: 1)Как снять слепок с трансфером для узкой платформы, если родной винт не держится из-за изменения конфигурации резьбы, винт для широкой платформы и даже винт для Dentium слишком велики по размеру?2)Допустимо ли, по-вашему, менять конфигурацию постоянного абатмента в области шестигранника, расширяя его изнутри, чтобы проходил винт?3)Стоит ли проводить замену временной коронки на постоянную, если на рентгеновском снимке довольно серьезные повреждения в верхней части имплантата после изменения конфигурации резьбы. Уважаемые коллеги, если кто сталкивался с подобным, буду признателен за ваши варианты решений данной пробемы. За качество снимков прошу прощения, снимал на телефон. Ссылка на комментарий
alekszander Опубликовано 2 декабря, 2015 Поделиться Опубликовано 2 декабря, 2015 Помочь не знаю чем, но тема интересная. Самое "простое" извлекать имплантат. 3 Ссылка на комментарий
Айнур Фаязович Опубликовано 2 декабря, 2015 Автор Поделиться Опубликовано 2 декабря, 2015 Думал также над вариантом заглушить имплантат, чтобы не "ломать" кость, так как пациентка согласна на мостовидный протез, если не получится протезировать на этом имплантате. 1 Ссылка на комментарий
PaulG Опубликовано 2 декабря, 2015 Поделиться Опубликовано 2 декабря, 2015 Думал также над вариантом заглушить имплантат, чтобы не "ломать" кость, так как пациентка согласна на мостовидный протез, если не получится протезировать на этом имплантате....если обломок извлекли, слесарно нарЕзать новую резьбу(можно закидать не только помидорами)...и сделать "индивидуальный винт".Конструктивно - ни чего сложного....в титане резьба легко нарезается. Банальным метчиком......Ну, да... не стоматологическая работа. 1 Ссылка на комментарий
Сева северный Опубликовано 2 декабря, 2015 Поделиться Опубликовано 2 декабря, 2015 На крайний случай... ( Не очень феньшуйный, вариант) сделать вкладку...прямо в шахту имплантата.....потом как обычное протезирование. Ссылка на комментарий
Айнур Фаязович Опубликовано 3 декабря, 2015 Автор Поделиться Опубликовано 3 декабря, 2015 ...если обломок извлекли, слесарно нарЕзать новую резьбу(можно закидать не только помидорами)...и сделать "индивидуальный винт".Конструктивно - ни чего сложного....в титане резьба легко нарезается. Банальным метчиком......Ну, да... не стоматологическая работа.Резьба уже нарезана. А как сделать индивидуальный винт? Ссылка на комментарий
Айнур Фаязович Опубликовано 3 декабря, 2015 Автор Поделиться Опубликовано 3 декабря, 2015 На крайний случай... ( Не очень феньшуйный, вариант) сделать вкладку...прямо в шахту имплантата.....потом как обычное протезирование.Шахта имплантата короткая ведь. Гораздо меньше, чем высота коронки, соответственно по правилу рычага, это не очень надежно. Ссылка на комментарий
Сева северный Опубликовано 6 декабря, 2015 Поделиться Опубликовано 6 декабря, 2015 Шахта имплантата короткая ведь. Гораздо меньше, чем высота коронки, соответственно по правилу рычага, это не очень надежно.Это крайнее ... зачастую компромиссное (временное решение) и физику материалов, здесь ни кто не отменял..использовал такой прием, пару раз...когда пациент был не готов, к немедленной замене имплантанта .к моему удивлению получившаяся конструкция оказалось достаточно живучей. учитывайте. что сила сцепления метал- метал.. сильнее метал-зуб. Ссылка на комментарий
Rasim-AZ Опубликовано 7 декабря, 2015 Поделиться Опубликовано 7 декабря, 2015 Глупые мысли в слух: in vitro провести экспермен,шахту залить патеркой и попробывать снять. Только надо учесть усадку. Ссылка на комментарий
Айнур Фаязович Опубликовано 7 декабря, 2015 Автор Поделиться Опубликовано 7 декабря, 2015 Это крайнее ... зачастую компромиссное (временное решение) и физику материалов, здесь ни кто не отменял..использовал такой прием, пару раз...когда пациент был не готов, к немедленной замене имплантанта .к моему удивлению получившаяся конструкция оказалось достаточно живучей. учитывайте. что сила сцепления метал- метал.. сильнее метал-зуб. спасибо за совет! Вы вкладку в таких случаях из паттернрезина моделируете? Страшновато не извлечь)) Ссылка на комментарий
Айнур Фаязович Опубликовано 7 декабря, 2015 Автор Поделиться Опубликовано 7 декабря, 2015 Глупые мысли в слух: in vitro провести экспермен,шахту залить патеркой и попробывать снять. Только надо учесть усадку. благодарю, попробовать стоит! Ссылка на комментарий
DR.P Опубликовано 7 декабря, 2015 Поделиться Опубликовано 7 декабря, 2015 благодарю, попробовать стоит!То есть вы залили патерку в шахту и после выкрутили? Я правильно понял? Ссылка на комментарий
Сева северный Опубликовано 7 декабря, 2015 Поделиться Опубликовано 7 декабря, 2015 спасибо за совет! Вы вкладку в таких случаях из паттернрезина моделируете? Страшновато не извлечь))Да из патерна....внутренняя резьба снимается бором..Патерн вносится с пластиковым конусом, за него и вынимаете. Коррекцию затвердевшей вкладки, делаете на аналоге. На нем же и проверяете отлитую вкладку(резьба так же уничтожается) да ...и делал на имплантах с шестигранником... с коникал не побывал. Ссылка на комментарий
Айнур Фаязович Опубликовано 7 декабря, 2015 Автор Поделиться Опубликовано 7 декабря, 2015 То есть вы залили патерку в шахту и после выкрутили? Я правильно понял? еще не пробовал, только собираюсь) Ссылка на комментарий
PaulG Опубликовано 7 декабря, 2015 Поделиться Опубликовано 7 декабря, 2015 Резьба уже нарезана. А как сделать индивидуальный винт?...найти приятеля-токаря. Ссылка на комментарий
LuckyDoc Опубликовано 24 декабря, 2015 Поделиться Опубликовано 24 декабря, 2015 А зачем делать новый индивидуальный винт,если есть стандартный абатмент с подходящим винтом?Просто снять оттиск с уровня имеющегося абатмента,если не позволяет слизистая с помощью абатмент чека как вариант.Это при условии что абатмент стоит жестко,по форме размерам позволяет изготовить постоянную конструкцию. Ссылка на комментарий
Айнур Фаязович Опубликовано 28 декабря, 2015 Автор Поделиться Опубликовано 28 декабря, 2015 А зачем делать новый индивидуальный винт,если есть стандартный абатмент с подходящим винтом?Просто снять оттиск с уровня имеющегося абатмента,если не позволяет слизистая с помощью абатмент чека как вариант.Это при условии что абатмент стоит жестко,по форме размерам позволяет изготовить постоянную конструкцию. проблема не в том какой использовать абатмент ( работаю на индивидуальных), а в том, что платформа узкая (от астры), а винт для узкой платформы не держит, прокручивается в импланте. При этом, если взять винт для широкой платформы, он попросту не помещается в шахту имплантата. Сами попробуйте Ссылка на комментарий
voff Опубликовано 29 декабря, 2015 Поделиться Опубликовано 29 декабря, 2015 я бы не связывался, благими намерениями как говорится... Ссылка на комментарий
LuckyDoc Опубликовано 29 декабря, 2015 Поделиться Опубликовано 29 декабря, 2015 проблема не в том какой использовать абатмент ( работаю на индивидуальных), а в том, что платформа узкая (от астры), а винт для узкой платформы не держит, прокручивается в импланте. При этом, если взять винт для широкой платформы, он попросту не помещается в шахту имплантата. Сами попробуйтеЯ говорил о использовании того абатмента,на которой стояла временная конструкция,там винт уже есть,при условии что он удовлетворяет требования для установки постоянной реставрации. Ссылка на комментарий
Рекомендуемые сообщения
Для публикации сообщений создайте учётную запись или авторизуйтесь
Вы должны быть пользователем, чтобы оставить комментарий
Создать аккаунт
Зарегистрируйте новый аккаунт в нашем сообществе. Это очень просто!
Регистрация нового пользователяВойти
Уже есть аккаунт? Войти в систему.
Войти