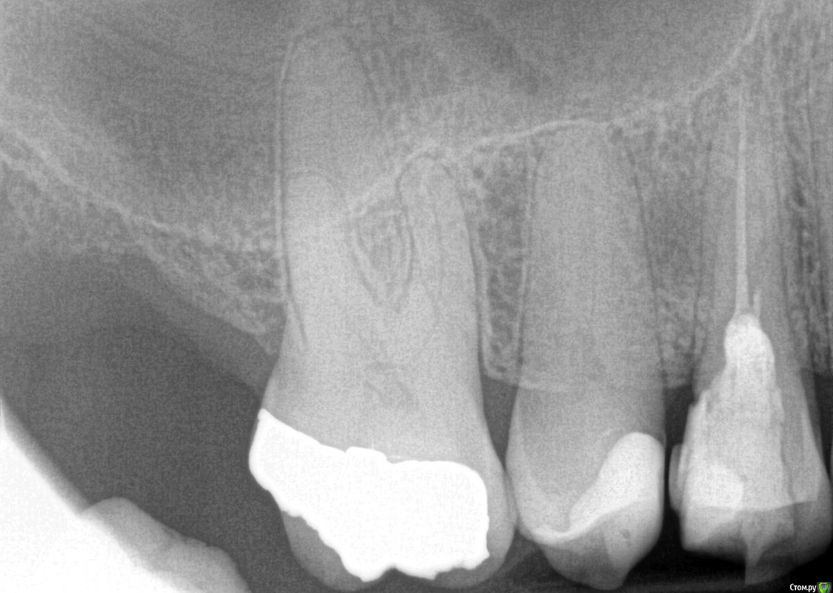
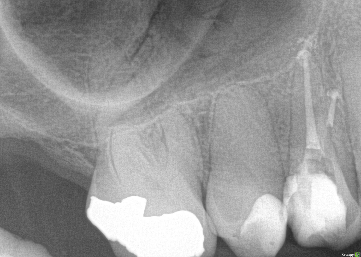
Rim3 Опубликовано 1 декабря, 2015 Поделиться Опубликовано 1 декабря, 2015 Уважаемые стоматологи, помогити пожалуйста! Во время пломбировки каналов верхнего бокового зуба с правой стороны у меня возникла резкая боль в районе синуса. Боль ушла через 3 -5 минут и врач настоял на продолжении лечения. Далее у меня опухла вся щека и появились синяки под глазами и щекой. Мне назначили стероиды и антибиотики. Как я позже поняла это было выведение гипохлорита натрия за пределы корня и травма. Теперь опухоль спала и синяки прошли. Я еще очущаю дискомфорт и некую болезненность в этой области.У меня теперь возник вопрос по поводу качества проведенного лечения каналов. Я собиралась закрыть зуб коронкой, но теперь сомневаюсь. Как вы считаете глядя на снимки, качественно ли запломбированы каналы? Что если не только гипохлотит натрия, но и гутаперча вышла за пределы корня. Возможны ли осложнения в будущем и операция по удалению лишнего материала? Ссылка на комментарий
anvladd Опубликовано 1 декабря, 2015 Поделиться Опубликовано 1 декабря, 2015 (изменено) Сделано хорошо,боли пройдут. Изменено 1 декабря, 2015 пользователем anvladd 3 Ссылка на комментарий
Rim3 Опубликовано 1 декабря, 2015 Автор Поделиться Опубликовано 1 декабря, 2015 Спасибо за быстрый ответ!Можно ли ставить коронку или лучше годик подождать? Ссылка на комментарий
kozloff Опубликовано 2 декабря, 2015 Поделиться Опубликовано 2 декабря, 2015 Можно ли ставить коронку или лучше годик подождать? Ждать не нужно. За год зуб может треснуть пополам. Нужна культевая вкладка и коронка. 1 Ссылка на комментарий
anvladd Опубликовано 2 декабря, 2015 Поделиться Опубликовано 2 декабря, 2015 Плюсую,не тяните. Ссылка на комментарий
Рекомендуемые сообщения
Для публикации сообщений создайте учётную запись или авторизуйтесь
Вы должны быть пользователем, чтобы оставить комментарий
Создать аккаунт
Зарегистрируйте новый аккаунт в нашем сообществе. Это очень просто!
Регистрация нового пользователяВойти
Уже есть аккаунт? Войти в систему.
Войти