Opp80 Опубликовано 1 декабря, 2015 Поделиться Опубликовано 1 декабря, 2015 (изменено) Здравствуйте подскажите альтернативное мнение, коронки на единичках циркон,, десневой сосочек между одно единичкой и двойкой капризничает, т.е. после установки недели через 2 стал реагировать на специфическую еду типа сладкого, т.е. начинает беспокоить, не болит, а иногда слабо пульсировал, был на приеме у врача спустя 3 месяца такого состояния т.к. десневой край стал краснеть, сделали рентген проверили карманы, врач сказал десна не может привыкнуть к коронке, он бором подрезал десны на обоих 1ках и отполировал коронки у десен вместе с цементом который был после установки на стыке зуба и коронки как то так, вот стало лучше, сосочек порозовел и десневой край, но сейчас есть также чувство при попадании туда гораздо слабже но есть, и чувство в сосочке проходящее, он сказал если будет снова такое, сделаем пластику десен (срежем 0,8 мм) скажите это правильный подход? или есть проблема в самой коронке, просто читал пластику иногда криво делают страшноватозубы депульпированы (1ки) Изменено 1 декабря, 2015 пользователем Opp80 Ссылка на комментарий
IvanK Опубликовано 1 декабря, 2015 Поделиться Опубликовано 1 декабря, 2015 Здравствуйте, Врачам нужны объективные данные, выложите фото и снимки http://forum.stom.ru/topic/20613-sovety-patcientam-obiazatelno-k-prochteniiu/ Ссылка на комментарий
Opp80 Опубликовано 1 декабря, 2015 Автор Поделиться Опубликовано 1 декабря, 2015 (изменено) Я просто прошу по опыту такое делают, бывает ли такое как говорит врач? просто нет снимков все у врача Изменено 1 декабря, 2015 пользователем Opp80 Ссылка на комментарий
IvanK Опубликовано 1 декабря, 2015 Поделиться Опубликовано 1 декабря, 2015 просто нет снимков все у врача попросите такое делают, что только не делают Ссылка на комментарий
Opp80 Опубликовано 1 декабря, 2015 Автор Поделиться Опубликовано 1 декабря, 2015 Ну т.е. это норма? Бывает такое в практике? Ссылка на комментарий
red_butler Опубликовано 1 декабря, 2015 Поделиться Опубликовано 1 декабря, 2015 Ну т.е. это норма? Бывает такое в практике?Уважаемый, Вы правила внимательно читали??? Делайте фото и забирайте Rg снимки. Ссылка на комментарий
Opp80 Опубликовано 28 декабря, 2015 Автор Поделиться Опубликовано 28 декабря, 2015 (изменено) В продолжение о грустном, зуб левая единичка, уже изрезали мне десну теперь сзади, т.к. нет полож. динамики, сегодня сделал КТ, (сейчас выложу) врач предположил трещину или перфорацию, но на КТ ничего не увидел, единственное что предположил, что там где стоял предидущий СВШ (не по каналу) при повторном его прохождении "уступа" от него, могли сделать микро перфорацию, потому как перкуссия как раз с этой стороны, но он говорит что апекс не запищал, и крови не было, но я помню что гдето в этом районе я почуствовал укольчик, и это было до того как он прошел за апекс, я тогда еще испугался вдруг оно,перкуссия при фронтальном постукивании между мало-средне по чувству боли, при постукивании снизу менее выражена, все длится полгода с момента постановки коронок, сохраняется чувствительность.Сейчас он говорит делать ничего не будет тк нет воспаления, и посоветовал пойти на физ процедуры.Я чувствую что мне испортили полгода назад здоровый зуб, да еще и передний Изменено 28 декабря, 2015 пользователем Opp80 Ссылка на комментарий
Opp80 Опубликовано 28 декабря, 2015 Автор Поделиться Опубликовано 28 декабря, 2015 Здравствуйте, Врачам нужны объективные данные, выложите фото и снимки http://forum.stom.ru/topic/20613-sovety-patcientam-obiazatelno-k-prochteniiu/ Шансов мало, я предложил ему идею полечить у эндо с микроскопом, он сказал что от зуба только корень, и не переживет третье лечение, печаль не думал что такое возможно, говорит ходи пока он держится, а потом удаляй как начнется воспалениеКТ https://yadi.sk/d/TAjzSbIumYiyo Ссылка на комментарий
Opp80 Опубликовано 30 декабря, 2015 Автор Поделиться Опубликовано 30 декабря, 2015 Вообщем собираю мнения врачей в том числе и Ваших какие шансы на третье эндо с микроскопом? Ссылка на комментарий
IvanK Опубликовано 30 декабря, 2015 Поделиться Опубликовано 30 декабря, 2015 выложите скриншоты Ссылка на комментарий
Opp80 Опубликовано 30 декабря, 2015 Автор Поделиться Опубликовано 30 декабря, 2015 (изменено) Я просто КТ не умею пользоваться, там я скопировал вместе с программой как то пробовал ничего не понимаюhttps://yadi.sk/d/TAjzSbIumYiyo Изменено 30 декабря, 2015 пользователем Opp80 Ссылка на комментарий
Opp80 Опубликовано 10 января, 2016 Автор Поделиться Опубликовано 10 января, 2016 (изменено) Чувствительность уменьшилась, но не прошла, далеко не прошла, пульсация периодическая и с отдачей в этот сосочек в периоды активного движения, т.е например поход в магазин, но не каждый раз (отметил на фото), у зуба есть небольшая подвижность так сказала другой врач на консультации, она сказала что возможно от того что врач постоянно лазил под десну, связки нарушаются, чтото типа того, но по симптоматике похоже на трещину, мой же врач на последней консультации, сказал может перфорация, и сказал делать ничего не будет больше, я же все мучаюсь, коронка поменяла свое положение появилась небольшая диастема за все время вмешательств.Прилагаю также понорамный снимок, и если кто глубоко заинтересуется КТ https://yadi.sk/d/TAjzSbIumYiyoP.S. когда попросил врача рентгены то он резко негативно высказался о том что я хочу спросить все на форуме, мол там не мастера, чему удивился чего бояться то, но снимки сказал даст, но они не понадобились я сделал КТ.Напомню, коронки стоят с 29 июля примерно, так и мучаюсь Изменено 10 января, 2016 пользователем Opp80 Ссылка на комментарий
Opp80 Опубликовано 10 января, 2016 Автор Поделиться Опубликовано 10 января, 2016 (изменено) Это снимок от 3 декабря (месяц назад) перед тем как врач будет до костной ткани все пробовать прочищать зондом, как понял так было, тут я немного боком сфотографировал диастема была уже но субъективно меньше Изменено 10 января, 2016 пользователем Opp80 Ссылка на комментарий
Opp80 Опубликовано 12 января, 2016 Автор Поделиться Опубликовано 12 января, 2016 Уважаемые врачи как будет время напишите свои видения, сейчас чувствительность еще спала, но этот сосок постоянно в состоянии тревоги, как раньше как будто коронка не дружит с ним, желание снять прям, врач как я говорил больше ничего не предлагает, а с этим соском дискофт постоянно практически Ссылка на комментарий
IvanK Опубликовано 13 января, 2016 Поделиться Опубликовано 13 января, 2016 состоянии тревоги этого быть не должнов Вашем случает нужна очная консультация у ортопеда для оценки коронки по ее уступу и наличие цемента Ссылка на комментарий
Opp80 Опубликовано 13 января, 2016 Автор Поделиться Опубликовано 13 января, 2016 Был пока что на одной консультации как писал выше, надо еще сходить к другим, но мой врач заверял что все по уступу и он цемент везде где мог искал лишний, и сказал делать не будет ничего больше, а у меня гарантия, даже если вдруг подтвердится что что-то не так, то как быть? Ссылка на комментарий
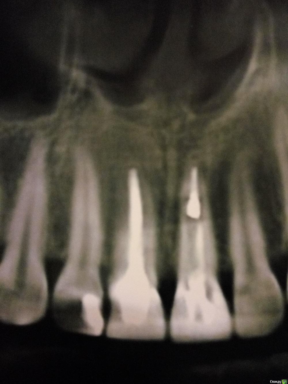
Opp80 Опубликовано 14 января, 2016 Автор Поделиться Опубликовано 14 января, 2016 (изменено) Сделал видео из КТ там видно уступ от старого штифта, хотя врач говорит апекс не пищал крови не былоhttps://yadi.sk/i/w9mc23axmyYuC только нажмите скачать , онлайн видео не проигрывает почему то, и снимок единиц отсканировал качество максимальное такой снимок Изменено 14 января, 2016 пользователем Opp80 Ссылка на комментарий
DmitrySH Опубликовано 14 января, 2016 Поделиться Опубликовано 14 января, 2016 Да, там очень тонко все, но признаков воспаления вокруг той зоны на кт не увидел 1 Ссылка на комментарий
Opp80 Опубликовано 15 января, 2016 Автор Поделиться Опубликовано 15 января, 2016 (изменено) Что ж такое коронка стоит криво раз он тревожит, к врачам еще схожу конечно очно, и добавлю чувство усиливается после еды, хотя резцами не откусываю и не ем Изменено 15 января, 2016 пользователем Opp80 Ссылка на комментарий
Opp80 Опубликовано 16 января, 2016 Автор Поделиться Опубликовано 16 января, 2016 (изменено) Уважаемые врачи посмотрите пожалуйста такие десна были до установок постоянок (фото 1,2) и после 3,4Это с коронками чтото нето? Изменено 16 января, 2016 пользователем Opp80 Ссылка на комментарий
Opp80 Опубликовано 19 января, 2016 Автор Поделиться Опубликовано 19 января, 2016 Уважаемые врачи мнений больше нет? Ссылка на комментарий
IvanK Опубликовано 20 января, 2016 Поделиться Опубликовано 20 января, 2016 Уважаемые врачи мнений больше нет?Ищите Врача, сходите на пару консультаций По интернету Вам не помогут Ссылка на комментарий
Opp80 Опубликовано 20 января, 2016 Автор Поделиться Опубликовано 20 января, 2016 Понял благодарю Ссылка на комментарий
Opp80 Опубликовано 9 февраля, 2016 Автор Поделиться Опубликовано 9 февраля, 2016 (изменено) Дорогие врачи как оказалось уступ сделан выше чем надо и коронка раздражает пережимает десну, отчего острый гингивит и искусственный пародонтальный карман, врач предлагает ортодонтически потянуть зуб вниз, тем самым как бы сделать уступ правильным подскажите так можно ждать результат у кого нибудь был опыт? Есть ли в таком случае хоть какая-то надежда? Изменено 9 февраля, 2016 пользователем Opp80 Ссылка на комментарий
Рекомендуемые сообщения
Для публикации сообщений создайте учётную запись или авторизуйтесь
Вы должны быть пользователем, чтобы оставить комментарий
Создать аккаунт
Зарегистрируйте новый аккаунт в нашем сообществе. Это очень просто!
Регистрация нового пользователяВойти
Уже есть аккаунт? Войти в систему.
Войти